Suppr超能文献

低频脉冲电场致 BBB 开放,通过延迟对比 MRI 显示,可提高阿霉素向小鼠脑内的递送效率。

BBB opening by low pulsed electric fields, depicted by delayed-contrast MRI, enables efficient delivery of therapeutic doxorubicin doses into mice brains.

机构信息

The Joseph Sagol Neuroscience Center, Sheba Medical Center, Ramat-Gan, 52621, Israel.

School of Medicine, Tel-Aviv University, Tel-Aviv, Israel.

出版信息

Fluids Barriers CNS. 2023 Sep 22;20(1):67. doi: 10.1186/s12987-023-00468-7.

Abstract

BACKGROUND

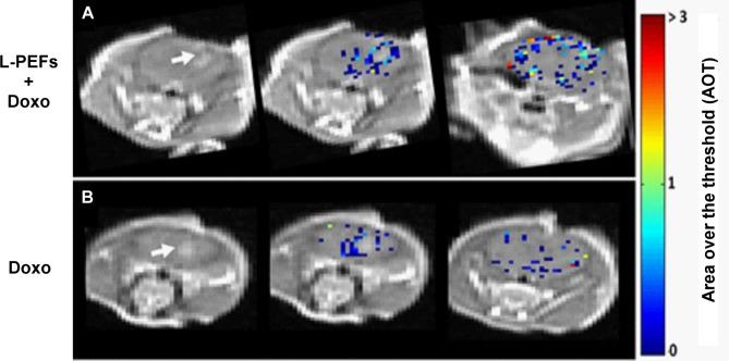
Pharmacological treatment of CNS diseases is limited due to the presence of the blood-brain barrier (BBB). Recent years showed significant advancement in the field of CNS drug delivery enablers, with technologies such as MR-guided focused ultrasound reaching clinical trials. This have inspired researchers in the field to invent novel brain barriers opening (BBo) technologies that are required to be simple, fast, safe and efficient. One such technology, recently developed by us, is BDF (Barrier Disrupting Fields), based on low pulsed electric fields (L-PEFs) for opening the BBB in a controlled, safe, reversible and non-invasive manner. Here, we conducted an in vivo study to show that BDF is a feasible technology for delivering Doxorubicin (Doxo) into mice brain. Means for depicting BBBo levels were developed and applied for monitoring the treatment and predicting response. Overall, the goals of the presented study were to demonstrate the feasibility for delivering therapeutic Doxo doses into naïve and tumor-bearing mice brains and applying delayed-contrast MRI (DCM) for monitoring the levels of BBBo.

METHODS

L-PEFs were applied using plate electrodes placed on the intact skull of naïve mice. L-PEFs/Sham mice were scanned immediately after the procedure by DCM ("MRI experiment"), or injected with Doxo and Trypan blue followed by delayed (4 h) perfusion and brain extraction ("Doxo experiment"). Doxo concentrations were measured in brain samples using confocal microscopy and compared to IC of Doxo in glioma cell lines in vitro. In order to map BBBo extent throughout the brain, pixel by pixel MR image analysis was performed using the DCM data. Finally, the efficacy of L-PEFs in combination with Doxo was tested in nude mice bearing intracranial human glioma tumors.

RESULTS

Significant amount of Doxo was found in cortical regions of all L-PEFs-treated mice brains (0.50 ± 0.06 µg Doxo/gr brain) while in Sham brains, Doxo concentrations were below or on the verge of detection limit (0.03 ± 0.02 µg Doxo/gr brain). This concentration was x97 higher than IC of Doxo calculated in gl261 mouse glioma cells and x8 higher than IC of Doxo calculated in U87 human glioma cells. DCM analysis revealed significant BBBo levels in the cortical regions of L-PEFs-treated mice; the average volume of BBBo in the L-PEFs-treated mice was x29 higher than in the Sham group. The calculated BBBo levels dropped exponentially as a function of BBBo threshold, similarly to the electric fields distribution in the brain. Finally, combining non-invasive L-PEFs with Doxo significantly decreased brain tumors growth rates in nude mice.

CONCLUSIONS

Our results demonstrate significant BBBo levels induced by extra-cranial L-PEFs, enabling efficient delivery of therapeutic Doxo doses into the brain and reducing tumor growth. As BBBo was undetectable by standard contrast-enhanced MRI, DCM was applied to generate maps depicting the BBBo levels throughout the brain. These findings suggest that BDF is a promising technology for efficient drug delivery into the brain with important implications for future treatment of brain cancer and additional CNS diseases.

摘要

背景

由于血脑屏障(BBB)的存在,中枢神经系统(CNS)疾病的药物治疗受到限制。近年来,CNS 药物输送增强剂领域取得了显著进展,例如磁共振引导聚焦超声技术已进入临床试验阶段。这激发了该领域的研究人员发明了新型的脑屏障开放(BBo)技术,这些技术需要简单、快速、安全和高效。我们最近开发的一种技术是 BDF(屏障破坏场),它基于低强度脉冲电场(L-PEF),以可控、安全、可逆和非侵入性的方式打开 BBB。在这里,我们进行了一项体内研究,以证明 BDF 是一种将阿霉素(Doxo)递送到小鼠大脑的可行技术。开发了用于描绘 BBBo 水平的手段,并用于监测治疗和预测反应。总的来说,本研究的目的是证明将治疗剂量的 Doxo 递送到未处理和荷瘤小鼠大脑的可行性,并应用延迟对比 MRI(DCM)监测 BBBo 水平。

方法

使用放置在未处理小鼠完整颅骨上的平板电极施加 L-PEF。L-PEF/Sham 小鼠在程序后立即通过 DCM(“MRI 实验”)进行扫描,或注射 Doxo 和台盼蓝,然后进行延迟(4 小时)灌注和大脑提取(“Doxo 实验”)。使用共聚焦显微镜测量脑样本中的 Doxo 浓度,并与体外Glioma 细胞系中的 Doxo 的 IC 进行比较。为了在整个大脑中绘制 BBBo 的范围,使用 DCM 数据对像素进行了 MR 图像分析。最后,在携带颅内人胶质母细胞瘤的裸鼠中测试了 L-PEF 联合 Doxo 的疗效。

结果

在所有接受 L-PEF 治疗的小鼠大脑的皮质区域都发现了大量的 Doxo(0.50 ± 0.06μg Doxo/gr 脑),而在 Sham 大脑中,Doxo 浓度低于或接近检测限(0.03 ± 0.02μg Doxo/gr 脑)。这一浓度是在 Gl261 小鼠神经胶质瘤细胞中计算出的 Doxo 的 IC 的 x97 倍,是在 U87 人神经胶质瘤细胞中计算出的 Doxo 的 IC 的 x8 倍。DCM 分析显示,在接受 L-PEF 治疗的小鼠皮质区域存在显著的 BBBo 水平;接受 L-PEF 治疗的小鼠的平均 BBBo 体积比 Sham 组高 x29。计算出的 BBBo 水平随着 BBBo 阈值的指数下降,类似于大脑中电场的分布。最后,将非侵入性的 L-PEF 与 Doxo 联合使用,显著降低了裸鼠脑肿瘤的生长速度。

结论

我们的结果表明,颅外 L-PEF 诱导了显著的 BBBo 水平,使治疗剂量的 Doxo 能够有效地递送到大脑,并减少肿瘤的生长。由于标准的对比增强 MRI 无法检测到 BBBo,因此应用了 DCM 来生成描绘大脑中 BBBo 水平的图谱。这些发现表明,BDF 是一种有前途的高效药物输送技术,对未来治疗脑癌和其他 CNS 疾病具有重要意义。

https://cdn.ncbi.nlm.nih.gov/pmc/blobs/4ecf/10515428/d1b4e9ee05d1/12987_2023_468_Figa_HTML.jpg

文献AI研究员

20分钟写一篇综述,助力文献阅读效率提升50倍。

立即体验

用中文搜PubMed

大模型驱动的PubMed中文搜索引擎

马上搜索

文档翻译

学术文献翻译模型,支持多种主流文档格式。

立即体验