Suppr超能文献

环状 RNA circARPC1B 通过稳定微管相关蛋白 Vimentin 来防止高胆固醇诱导的关节软骨退变。

Circular RNA circARPC1B functions as a stabilisation enhancer of Vimentin to prevent high cholesterol-induced articular cartilage degeneration.

机构信息

Department of Orthopaedic Surgery, The First Affiliated Hospital, Zhejiang University School of Medicine, Hangzhou, China.

Department of Orthopaedic Surgery, Sir Run Run Shaw Hospital, Zhejiang University, School of Medicine, Hangzhou, China.

出版信息

Clin Transl Med. 2023 Sep;13(9):e1415. doi: 10.1002/ctm2.1415.

Abstract

BACKGROUND

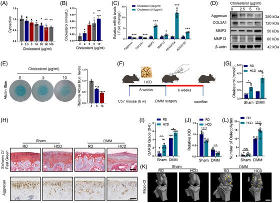
Osteoarthritis (OA) is a prevalent and debilitating condition, that is, directly associated with cholesterol metabolism. Nevertheless, the molecular mechanisms of OA remain largely unknown, and the role of cholesterol in this process has not been thoroughly investigated. This study aimed to investigate the role of a novel circular RNA, circARPC1B in the relationship between cholesterol and OA progression.

METHODS

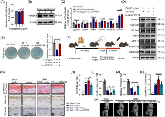
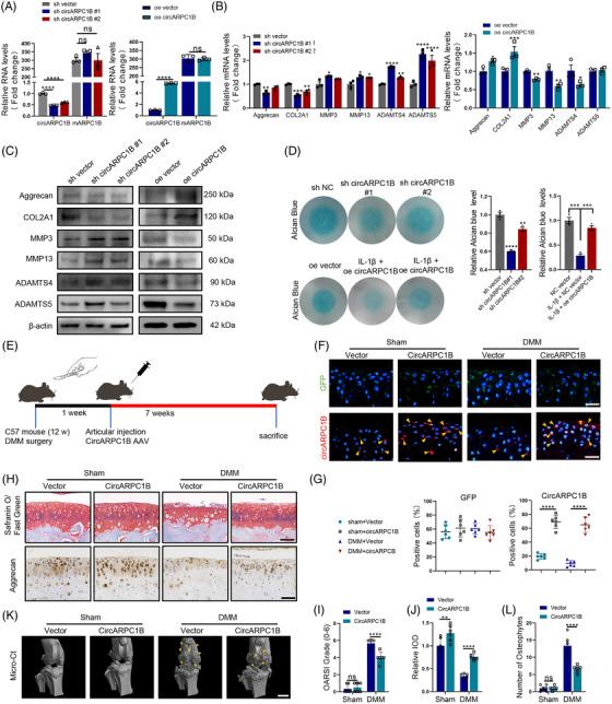
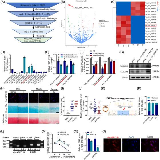
We measured total cholesterol (TC) levels in the synovial fluid of patients with or without OA to determine the diagnostic role of cholesterol in OA. The effects of cholesterol were explored in human and mouse chondrocytes in vitro. An in vivo OA model was also established in mice fed a high-cholesterol diet (HCD) to explore the role of cholesterol in OA. RNAseq analysis was used to study the influence of cholesterol on circRNAs in chondrocytes. The role of circARPC1B in the OA development was verified through circARPC1B overexpression and knockdown. Additionally, RNA pulldown assays and RNA binding protein immunoprecipitation were used to determine the interaction between circARPC1B and Vimentin. CircARPC1B adeno-associated virus (AAV) was used to determine the role of circARPC1B in cholesterol-induced OA.

RESULTS

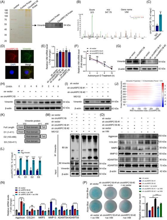
TC levels in synovial fluid of OA patients were found to be elevated and exhibited high sensitivity and specificity as predictors of OA diagnosis. Moreover, elevated cholesterol accelerated OA progression. CircARPC1B was downregulated in chondrocytes treated with cholesterol and played a crucial role in preserving the extracellular matrix (ECM). Mechanistically, circARPC1B is competitively bound to the E3 ligase synoviolin 1 (SYVN1) binding site on Vimentin, inhibiting the proteasomal degradation of Vimentin. Furthermore, circARPC1B AAV infection alleviates Vimentin degradation and OA progression caused by high cholesterol.

CONCLUSIONS

These findings indicate that the cholesterol-circARPC1B-Vimentin axis plays a crucial role in OA progression, and circARPC1B gene therapy has the opportunity to provide a potential therapeutic approach for OA.

摘要

背景

骨关节炎(OA)是一种普遍且使人虚弱的疾病,与胆固醇代谢直接相关。然而,OA 的分子机制在很大程度上仍然未知,胆固醇在这一过程中的作用也尚未得到彻底研究。本研究旨在探讨一种新型环状 RNA,circARPC1B 在胆固醇与 OA 进展之间关系中的作用。

方法

我们测量了有或没有 OA 的患者滑液中的总胆固醇(TC)水平,以确定胆固醇在 OA 中的诊断作用。我们在体外研究了胆固醇对人源和鼠源软骨细胞的影响。我们还在喂食高胆固醇饮食(HCD)的小鼠中建立了体内 OA 模型,以研究胆固醇在 OA 中的作用。RNAseq 分析用于研究胆固醇对软骨细胞中环状 RNA 的影响。通过 circARPC1B 的过表达和敲低验证了 circARPC1B 在 OA 发展中的作用。此外,使用 RNA 拉取实验和 RNA 结合蛋白免疫沉淀实验确定了 circARPC1B 与波形蛋白之间的相互作用。使用 circARPC1B 腺相关病毒(AAV)确定了 circARPC1B 在胆固醇诱导的 OA 中的作用。

结果

我们发现 OA 患者滑液中的 TC 水平升高,作为 OA 诊断预测因子具有较高的灵敏度和特异性。此外,胆固醇水平升高加速了 OA 的进展。在经胆固醇处理的软骨细胞中,circARPC1B 下调,并在维持细胞外基质(ECM)方面发挥关键作用。在机制上,circARPC1B 竞争性结合到波形蛋白上的 E3 连接酶 synoviolin 1(SYVN1)结合位点,抑制了波形蛋白的蛋白酶体降解。此外,circARPC1B AAV 感染减轻了由高胆固醇引起的 Vimentin 降解和 OA 进展。

结论

这些发现表明,胆固醇-circARPC1B-Vimentin 轴在 OA 进展中起关键作用,circARPC1B 基因治疗有机会为 OA 提供一种潜在的治疗方法。

https://cdn.ncbi.nlm.nih.gov/pmc/blobs/c221/10517209/af996947ff36/CTM2-13-e1415-g005.jpg

文献AI研究员

20分钟写一篇综述,助力文献阅读效率提升50倍。

立即体验

用中文搜PubMed

大模型驱动的PubMed中文搜索引擎

马上搜索

文档翻译

学术文献翻译模型,支持多种主流文档格式。

立即体验