Suppr超能文献

人结膜间充质基质细胞及其细胞外囊泡的分离与鉴定。

Isolation and Characterization of Human Conjunctival Mesenchymal Stromal Cells and Their Extracellular Vesicles.

机构信息

Ocular Surface Group, Instituto Universitario de Oftalmobiología Aplicada (IOBA), Universidad de Valladolid, Valladolid, Spain.

School of Biomolecular & Biomedical Science, Conway Institute of Biomolecular & Biomedical Research, University College Dublin (UCD), Belfield, Dublin 4, Ireland.

出版信息

Invest Ophthalmol Vis Sci. 2023 Sep 1;64(12):38. doi: 10.1167/iovs.64.12.38.

Abstract

PURPOSE

The purpose of this study was to isolate and culture human conjunctival mesenchymal stromal cells (Conj-MSCs) from cadaveric donor tissue, and to obtain and characterize their extracellular vesicles (EVs) and their effect on conjunctival epithelium.

METHODS

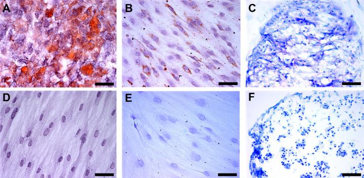
Stromal cells isolated from cadaveric donor conjunctival tissues were cultured and analyzed to determine whether they could be defined as MSCs. Expression of MSC markers was analyzed by flow cytometry. Cells were cultured in adipogenic, osteogenic, and chondrocyte differentiation media, and stained with Oil Red, Von Kossa, and Toluidine Blue, respectively, to determine multipotent capacity. EVs were isolated from cultured Conj-MSCs by differential ultracentrifugation. EV morphology was evaluated by atomic force microscopy, size distribution analyzed by dynamic light scattering, and EVs were individually characterized by nanoflow cytometry. The effect of EVs on oxidative stress and viability was analyzed in in vitro models using the conjunctival epithelial cell line IM-HConEpiC.

RESULTS

Cultured stromal cells fulfilled the criteria of MSCs: adherence to plastic; expression of CD90 (99.95 ± 0.03% positive cells), CD105 (99.04 ± 1.43%), CD73 (99.99 ± 0.19%), CD44 (99.93 ± 0.05%), and absence of CD34, CD11b, CD19, CD45 and HLA-DR (0.82 ± 0.91%); and in vitro differentiation into different lineages. Main Conj-MSC EV subpopulations were round, small EVs that expressed CD9, CD63, CD81, and CD147. Conj-MSC EVs significantly decreased the production of reactive oxygen species in IM-HConEpiCs exposed to H2O2 in similar levels than adipose tissue-MSC-derived EVs and ascorbic acid, used as controls.

CONCLUSIONS

It is possible to isolate human Conj-MSCs from cadaveric tissue, and to use these cells as a source of small EVs with antioxidant activity on conjunctival epithelial cells.

摘要

目的

本研究旨在从尸体供体组织中分离和培养人结膜间充质基质细胞(Conj-MSCs),并获得和表征其细胞外囊泡(EVs)及其对结膜上皮的作用。

方法

从尸体供体结膜组织中分离的基质细胞进行培养和分析,以确定它们是否可以被定义为间充质干细胞。通过流式细胞术分析 MSC 标志物的表达。将细胞培养在成脂、成骨和软骨细胞分化培养基中,并用油红、Von Kossa 和甲苯胺蓝分别染色,以确定多能性。通过差速超速离心从培养的 Conj-MSCs 中分离 EVs。原子力显微镜评估 EV 形态,动态光散射分析粒径分布,纳米流式细胞术单独表征 EVs。使用结膜上皮细胞系 IM-HConEpiC 在体外模型中分析 EVs 对氧化应激和活力的影响。

结果

培养的基质细胞符合 MSC 标准:贴壁于塑料;表达 CD90(99.95±0.03%阳性细胞)、CD105(99.04±1.43%)、CD73(99.99±0.19%)、CD44(99.93±0.05%),且缺乏 CD34、CD11b、CD19、CD45 和 HLA-DR(0.82±0.91%);体外分化为不同谱系。Conj-MSC 的主要 EV 亚群为表达 CD9、CD63、CD81 和 CD147 的圆形小 EVs。Conj-MSC EVs 可显著降低暴露于 H2O2 的 IM-HConEpiCs 中活性氧的产生,其效果与脂肪组织-MSC 衍生 EVs 和抗坏血酸相当,后者用作对照。

结论

从尸体组织中分离人 Conj-MSCs 并将这些细胞用作具有抗氧化活性的小 EVs 的来源是可行的,可用于结膜上皮细胞。

https://cdn.ncbi.nlm.nih.gov/pmc/blobs/9b48/10528583/8c76f260fdea/iovs-64-12-38-f001.jpg

文献AI研究员

20分钟写一篇综述,助力文献阅读效率提升50倍。

立即体验

用中文搜PubMed

大模型驱动的PubMed中文搜索引擎

马上搜索

文档翻译

学术文献翻译模型,支持多种主流文档格式。

立即体验