Suppr超能文献

新辅助信迪利单抗联合化疗治疗可切除局部晚期非小细胞肺癌:病例系列及文献复习。

Neoadjuvant sintilimab combined with chemotherapy in resectable locally advanced non-small cell lung cancer: case series and literature review.

机构信息

School of Medicine, University of Electronic Science and Technology of China, Chengdu, 610000, China.

Department Thoracic Surgery, Sichuan Cancer Hospital & Institute, Sichuan Cancer Center, Affiliated Cancer Hospital of University of Electronic Science and Technology of China, Chengdu, 610000, China.

出版信息

World J Surg Oncol. 2023 Sep 26;21(1):304. doi: 10.1186/s12957-023-03194-4.

Abstract

BACKGROUND

In recent years, neoadjuvant immunotherapy with chemotherapy has shown increasing promise for locally advanced non-small cell lung cancer (NSCLC). However, to establish its clinical efficacy and safety, it is imperative to amass more real-world clinical data. This retrospective study aims to assess the safety and effectiveness of combing sintilimab, a PD-1 inhibitor, with chemotherapy as a neoadjuvant treatment modality in patients diagnosed with potentially resectable NSCLC.

METHODS

We retrospectively reviewed patients with stage II-III NSCLC receiving neoadjuvant chemoimmunotherapy in Sichuan Cancer Hospital between February 2021 and February 2023. Sintilimab injection (intravenously,200 mg, iv, d1, q3w) and platinum-based chemotherapy were administered intravenously every 3 weeks, with radical lung cancer resection planned approximately 4-11 weeks after the last dose. The primary endpoint of the study was pathologic complete response (pCR). The secondary endpoints were objective response rate (ORR), and safety.

RESULT

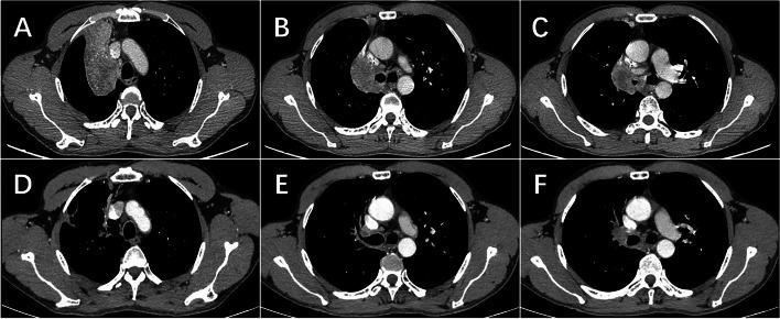
Thirteen patients were enrolled, they were mostly diagnosed with stage III NSCLC (IIB 15.4% IIIA 38.5%; IIIB 46.2%). Most of them had pathologically confirmed squamous cell carcinoma (69.2%). All patients received sintilimab combined with platinum-based chemotherapy for 2 to 4 cycles. Notably, none of the patients necessitated a reduction in initial dosages or treatment postponement due to intolerable adverse events. Then, all of them underwent surgical operation. Impressively, nine patients (69.2%) achieved a pathologic complete response. The objective response rate (ORR) stood at 46.15%. Nine patients experienced neoadjuvant treatment-related adverse events (TRAEs), with only one patient (7.6%) encountering a grade 4 neoadjuvant TRAE.

CONCLUSION

Therefore, the current study suggested that neoadjuvant sintilimab plus platinum-based chemotherapy can be a safe approach in increasing the efficiency of treatment and hopefully improving the prognosis of patients with potentially resectable locally advanced NSCLC.

摘要

背景

近年来,新辅助免疫化疗治疗局部晚期非小细胞肺癌(NSCLC)的前景越来越广阔。然而,为了确立其临床疗效和安全性,必须积累更多的真实世界临床数据。本回顾性研究旨在评估 PD-1 抑制剂信迪利单抗联合化疗作为新辅助治疗方案在可切除局部晚期 NSCLC 患者中的安全性和有效性。

方法

我们回顾性分析了 2021 年 2 月至 2023 年 2 月在四川省肿瘤医院接受新辅助化疗免疫治疗的 II-III 期 NSCLC 患者。信迪利单抗注射液(静脉注射,200mg,iv,d1,q3w)和铂类化疗药物静脉滴注,每 3 周 1 次,末次剂量后约 4-11 周行根治性肺癌切除术。该研究的主要终点为病理完全缓解(pCR)。次要终点包括客观缓解率(ORR)和安全性。

结果

共纳入 13 例患者,多为 III 期 NSCLC(IIB 15.4%,IIIA 38.5%;IIIB 46.2%)。大多数患者经病理证实为鳞状细胞癌(69.2%)。所有患者均接受信迪利单抗联合铂类化疗 2-4 个周期。值得注意的是,由于不耐受的不良事件,没有患者需要减少初始剂量或推迟治疗。然后,所有患者均进行了手术。令人印象深刻的是,9 例患者(69.2%)达到了病理完全缓解。客观缓解率(ORR)为 46.15%。9 例患者发生新辅助治疗相关不良事件(TRAEs),仅 1 例(7.6%)发生 4 级新辅助 TRAE。

结论

因此,本研究表明,新辅助信迪利单抗联合铂类化疗可能是一种安全有效的方法,可提高治疗效率,有望改善潜在可切除局部晚期 NSCLC 患者的预后。

https://cdn.ncbi.nlm.nih.gov/pmc/blobs/7f45/10521519/ff3bea821d44/12957_2023_3194_Fig1_HTML.jpg

文献AI研究员

20分钟写一篇综述,助力文献阅读效率提升50倍。

立即体验

用中文搜PubMed

大模型驱动的PubMed中文搜索引擎

马上搜索

文档翻译

学术文献翻译模型,支持多种主流文档格式。

立即体验