Suppr超能文献

一种从茯砖茶中获得的新型多糖的体外降脂作用。

Lipid-Lowering Effects of a Novel Polysaccharide Obtained from Fuzhuan Brick Tea In Vitro.

作者信息

Yang Wenjuan, Cheng Shirui, Liu Meng, Li Nan, Wang Jing, Yao Wenbo, Chen Fuxin, Xie Jianwu, Gong Pin

机构信息

School of Food Science and Engineering, Shaanxi University of Science and Technology, Xi'an 710021, China.

School of Biological and Pharmaceutical Sciences, Shaanxi University of Science and Technology, Xi'an 710021, China.

出版信息

Foods. 2023 Sep 14;12(18):3428. doi: 10.3390/foods12183428.

Abstract

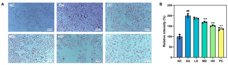
Lipid accumulation causes diseases such as obesity and abnormal lipid metabolism, thus impairing human health. Tea polysaccharide is one of the natural, active substances that can lower lipid levels. In this paper, an oleic-acid-induced HepG2 cell model was established. The lipid-lowering effects of a novel group of Fuzhuan brick tea polysaccharides (FTPs)-obtained from Fuzhuan brick tea-were examined in vitro. The monosaccharide composition of FTP3 was Glc, Gal, Ara, Man, Rha, GalAc, GlcAc, and Xyl with a molar ratio of 23.5:13.2:9.0:5.5:5.4:2.7:1.3:1.0, respectively. A molecular weight of 335.68 kDa was identified for FTP3. HepG2 cells treated with FTP3 achieved a prominent lipid-lowering effect compared with cells treated with oleic acid. Images of the Oil Red O staining treatment showed that FTP3-treated groups had significantly fewer red fat droplets. TC and TG levels were lower in FTP3-treated groups. FTP3 alleviated lipid accumulation in HepG2 cells, activated AMPK, and decreased the SREBP-1C and FAS protein expressions associated with fatty acid synthesis. FTP3 holds promising potential for its lipid-lowering effects.

摘要

脂质蓄积会引发肥胖和脂质代谢异常等疾病,从而损害人类健康。茶多糖是能够降低血脂水平的天然活性物质之一。本文建立了油酸诱导的HepG2细胞模型,对从茯砖茶中获得的一组新型茯砖茶多糖(FTPs)的体外降脂作用进行了研究。FTP3的单糖组成为葡萄糖(Glc)、半乳糖(Gal)、阿拉伯糖(Ara)、甘露糖(Man)、鼠李糖(Rha)、半乳糖醛酸(GalAc)、葡萄糖醛酸(GlcAc)和木糖(Xyl),摩尔比分别为23.5:13.2:9.0:5.5:5.4:2.7:1.3:1.0。确定FTP3的分子量为335.68 kDa。与用油酸处理的细胞相比,用FTP3处理的HepG2细胞具有显著的降脂效果。油红O染色处理的图像显示,用FTP3处理的组红色脂肪滴明显减少。用FTP3处理的组中总胆固醇(TC)和甘油三酯(TG)水平较低。FTP3减轻了HepG2细胞中的脂质蓄积,激活了腺苷酸活化蛋白激酶(AMPK),并降低了与脂肪酸合成相关的固醇调节元件结合蛋白-1C(SREBP-1C)和脂肪酸合酶(FAS)蛋白表达。FTP3因其降脂作用具有广阔的应用前景。

https://cdn.ncbi.nlm.nih.gov/pmc/blobs/beef/10527736/06b13f471d5c/foods-12-03428-g001.jpg

文献AI研究员

20分钟写一篇综述,助力文献阅读效率提升50倍。

立即体验

用中文搜PubMed

大模型驱动的PubMed中文搜索引擎

马上搜索

文档翻译

学术文献翻译模型,支持多种主流文档格式。

立即体验