Suppr超能文献

阿尔茨海默病的 3xTg-AD 小鼠从发病前到晚期的生存偏差、非线性行为和皮质边缘神经病理特征,并与正常衰老进行比较。

Survival Bias, Non-Lineal Behavioral and Cortico-Limbic Neuropathological Signatures in 3xTg-AD Mice for Alzheimer's Disease from Premorbid to Advanced Stages and Compared to Normal Aging.

机构信息

Department of Psychiatry and Forensic Medicine, School of Medicine, Universitat Autònoma de Barcelona, 08193 Barcelona, Spain.

Institut de Neurociències, Universitat Autònoma de Barcelona, 08193 Barcelona, Spain.

出版信息

Int J Mol Sci. 2023 Sep 7;24(18):13796. doi: 10.3390/ijms241813796.

Abstract

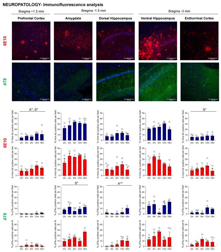
Pre-clinical research in aging is hampered by the scarcity of studies modeling its heterogeneity and complexity forged by pathophysiological conditions throughout the life cycle and under the sex perspective. In the case of Alzheimer's disease, the leading cause of dementia in older adults, we recently described in female wildtype and APP23 mice a survival bias and non-linear chronology of behavioral signatures from middle age to long life. Here, we present a comprehensive and multidimensional (physical, cognitive, and neuropsychiatric-like symptoms) screening and underlying neuropathological signatures in male and female 3xTg-AD mice at 2, 4, 6, 12, and 16 months of age and compared to their non-transgenic counterparts with gold-standard C57BL/6J background. Most variables studied detected age-related differences, whereas the genotype factor was specific to horizontal and vertical activities, thigmotaxis, coping with stress strategies, working memory, and frailty index. A sex effect was predominantly observed in classical emotional variables and physical status. Sixteen-month-old mice exhibited non-linear age- and genotype-dependent behavioral signatures, with higher heterogeneity in females, and worsened in naturalistically isolated males, suggesting distinct compensatory mechanisms and survival bias. The underlying temporal and spatial progression of Aβ and tau pathologies pointed to a relevant cortico-limbic substrate roadmap: premorbid intracellular Aβ immunoreactivity and pSer202/pThr205 tau phosphorylation in the amygdala and ventral hippocampus, and the entorhinal cortex and ventral hippocampus as the areas most affected by Aβ plaques. Therefore, depicting phenotypic signatures and neuropathological correlates can be critical to unveiling preventive/therapeutic research and intervention windows and studying adaptative behaviors and maladaptive responses relevant to psychopathology.

摘要

衰老的临床前研究受到阻碍,因为缺乏对整个生命周期和性别角度的生理病理条件所造成的异质性和复杂性进行建模的研究。在阿尔茨海默病(老年痴呆症的主要病因)的情况下,我们最近在雌性野生型和 APP23 小鼠中描述了从中年到长寿的行为特征的生存偏差和非线性时间顺序。在这里,我们在 2、4、6、12 和 16 个月大的雄性和雌性 3xTg-AD 小鼠中进行了全面的多维(身体、认知和神经精神样症状)筛查以及潜在的神经病理学特征,并与具有黄金标准 C57BL/6J 背景的非转基因对应物进行了比较。研究的大多数变量都检测到了与年龄相关的差异,而基因型因素则特定于水平和垂直活动、触壁癖、应对压力策略、工作记忆和脆弱指数。性别效应主要在经典情感变量和身体状况中观察到。16 个月大的小鼠表现出非线性的年龄和基因型依赖性行为特征,雌性的异质性更高,自然隔离的雄性则更差,这表明存在不同的补偿机制和生存偏差。Aβ 和 tau 病理学的时空进展表明存在相关的皮质-边缘基底路线图:杏仁核和腹侧海马体内的细胞内 Aβ 免疫反应性和 pSer202/pThr205 tau 磷酸化以及内嗅皮层和腹侧海马体作为受 Aβ 斑块影响最大的区域。因此,描绘表型特征和神经病理学相关性对于揭示预防性/治疗性研究和干预窗口以及研究与精神病理学相关的适应性行为和适应性反应至关重要。

https://cdn.ncbi.nlm.nih.gov/pmc/blobs/34bc/10531136/1a1d9db4dc0d/ijms-24-13796-g001.jpg

文献AI研究员

20分钟写一篇综述,助力文献阅读效率提升50倍。

立即体验

用中文搜PubMed

大模型驱动的PubMed中文搜索引擎

马上搜索

文档翻译

学术文献翻译模型,支持多种主流文档格式。

立即体验