Suppr超能文献

通过利塞膦酸盐靶向纳米颗粒递送增强骨质疏松症治疗:体内评估与生物利用度提高

Enhancing Osteoporosis Treatment through Targeted Nanoparticle Delivery of Risedronate: In Vivo Evaluation and Bioavailability Enhancement.

作者信息

Saifi Zoya, Shafi Sadat, Ralli Tanya, Jain Shreshta, Vohora Divya, Mir Showkat Rasool, Alhalmi Abdulsalam, Noman Omar M, Alahdab Ahmad, Amin Saima

机构信息

Department of Pharmaceutics, School of Pharmaceutical Education and Research, Jamia Hamdard, New Delhi 110062, India.

Department of Pharmacology, School of Pharmaceutical Education and Research, Jamia Hamdard, New Delhi 110062, India.

出版信息

Pharmaceutics. 2023 Sep 18;15(9):2339. doi: 10.3390/pharmaceutics15092339.

Abstract

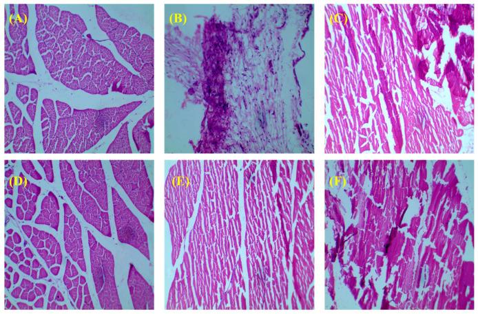
Risedronate-loaded mPEG-coated hydroxyapatite, thiolated chitosan-based (coated) and non-coated nanoparticles were tested for their potential effects in the treatment of osteoporosis. The prepared nanoparticles were evaluated for their bone-targeting potential by inducing osteoporosis in female Wistar rats via oral administration of Dexona (dexamethasone sodium phosphate). In vivo pharmacokinetic and pharmacodynamic studies were performed on osteoporotic rat models treated with different formulations. The osteoporotic model treated with the prepared nanoparticles indicated a significant effect on bone. The relative bioavailability was enhanced for RIS-HA-TCS-mPEG nanoparticles given orally compared to RIS-HA-TCS, marketed, and API suspension. Biochemical investigations also showed a significant change in biomarker levels, ultimately leading to bone formation/resorption. Micro-CT analysis of bone samples also demonstrated that the RIS-HA-TCS-mPEG-treated group showed the best results compared to other treatment groups. Moreover, the histology of bone treated with RIS-HA-TCS-mPEG showed a marked restoration of the architecture of trabecular bone along with a well-connected bone matrix and narrow inter-trabecular spaces compared to the toxic group. A stability analysis was also carried out according to ICH guidelines (Q1AR2), and it was found that RIS-HA-TCS-mPEG was more stable than RIS-HA-TCS at 25 °C. Thus, the results of present study indicated that mPEG-RIS-HA-TCS has excellent potential for sustained delivery of RIS for the treatment and prevention of osteoporosis, and for minimizing the adverse effects of RIS typically induced via oral administration.

摘要

负载利塞膦酸盐的甲氧基聚乙二醇包被的羟基磷灰石、基于硫醇化壳聚糖的(包被的和未包被的)纳米颗粒被测试了它们在骨质疏松症治疗中的潜在效果。通过给雌性Wistar大鼠口服地塞米松磷酸钠诱导骨质疏松症,对制备的纳米颗粒的骨靶向潜力进行了评估。对用不同制剂治疗的骨质疏松大鼠模型进行了体内药代动力学和药效学研究。用制备的纳米颗粒治疗的骨质疏松模型显示出对骨骼有显著影响。与市售的利塞膦酸盐-羟基磷灰石-硫醇化壳聚糖(RIS-HA-TCS)和原料药混悬液相比,口服给予RIS-HA-TCS-mPEG纳米颗粒的相对生物利用度有所提高。生化研究还显示生物标志物水平有显著变化,最终导致骨形成/吸收。骨样本的显微CT分析也表明,与其他治疗组相比,RIS-HA-TCS-mPEG治疗组显示出最佳结果。此外,与中毒组相比,用RIS-HA-TCS-mPEG治疗的骨组织学显示小梁骨结构有明显恢复,骨基质连接良好,小梁间隙狭窄。还根据国际协调理事会指南(Q1AR2)进行了稳定性分析,发现在25℃下,RIS-HA-TCS-mPEG比RIS-HA-TCS更稳定。因此,本研究结果表明,mPEG-RIS-HA-TCS在持续递送利塞膦酸盐以治疗和预防骨质疏松症以及最小化通常通过口服给药诱导的利塞膦酸盐的不良反应方面具有优异的潜力。

https://cdn.ncbi.nlm.nih.gov/pmc/blobs/e03f/10534762/79a3245a5438/pharmaceutics-15-02339-g001.jpg

文献AI研究员

20分钟写一篇综述,助力文献阅读效率提升50倍。

立即体验

用中文搜PubMed

大模型驱动的PubMed中文搜索引擎

马上搜索

文档翻译

学术文献翻译模型,支持多种主流文档格式。

立即体验