Suppr超能文献

姜黄素克拉霉素纳米制剂有望成为治疗幽门螺杆菌感染的药物。

Curcumin clarithromycin nano-form a promising agent to fight Helicobacter pylori infections.

机构信息

Drug Radiation Research Department, Microbiology Lab, Biotechnology Division, National Center for Radiation Research and Technology (NCRRT), Egyptian Atomic Energy Authority, Cairo, Egypt.

Microbiology and Immunology Department, Faculty of pharmacy, Port-Said University, Port Fuad, Egypt.

出版信息

World J Microbiol Biotechnol. 2023 Sep 29;39(12):324. doi: 10.1007/s11274-023-03745-7.

Abstract

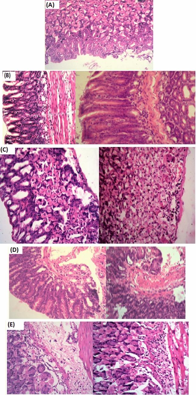
Helicobacter pylori (H. pylori) is the main cause of gastric diseases. However, the traditional antibiotic treatment of H. pylori is limited due to increased antibiotic resistance, low efficacy, and low drug concentration in the stomach. This study developed a Nano-emulsion system with ability to carry Curcumin and Clarithromycin to protect them against stomach acidity and increase their efficacy against H. pylori. We used oil in water emulsion system to prepare a novel Curcumin Clarithromycin Nano-Emulsion (Cur-CLR-NE). The nano-emulsion was validated by dynamic light scattering (DLS) technique, zeta potential; transmission electron microscopy (mean particle size 48 nm), UV-visible scanning and Fourier transform infrared spectroscopy (FT-IR). The in vitro assay of Cur-CLR-NE against H. pylori was evaluated by minimum inhibitory concentration (12.5 to 6.26 µg/mL), minimum bactericidal concentration (MBC) and anti-biofilm that showed a higher inhibitory effect of Cur-CLR-NE in compere with, free curcumin and clarithromycin against H. pylori. The in vivo results indicated that Cur-CLR-NE showed higher H. pylori clearance effect than free clarithromycin or curcumin under the same administration frequency and the same dose regimen. Histological analysis clearly showed that curcumin is highly effective in repairing damaged tissue. In addition, a potent synergistic effect was obvious between clarithromycin and curcumin in nano-emulsion system. The inflammation, superficial damage, the symptoms of gastritis including erosion in the mouse gastric mucosa, necrosis of the gastric epithelium gastric glands and interstitial oedema of tunica muscularis were observed in the positive control infected mice and absent from treated mice with Cur-CLR-NE.

摘要

幽门螺杆菌(H. pylori)是胃部疾病的主要病因。然而,由于抗生素耐药性增加、疗效低以及胃部药物浓度低,传统的 H. pylori 抗生素治疗受到限制。本研究开发了一种具有携带姜黄素和克拉霉素能力的纳米乳液系统,以保护它们免受胃酸的影响,并提高它们对 H. pylori 的疗效。我们使用油包水乳液系统制备了一种新型姜黄素克拉霉素纳米乳液(Cur-CLR-NE)。通过动态光散射(DLS)技术、zeta 电位、透射电子显微镜(平均粒径 48nm)、紫外可见扫描和傅里叶变换红外光谱(FT-IR)对纳米乳液进行了验证。通过最低抑菌浓度(12.5 至 6.26μg/mL)、最低杀菌浓度(MBC)和抗生物膜试验评估了 Cur-CLR-NE 对 H. pylori 的体外活性,结果表明 Cur-CLR-NE 对 H. pylori 的抑制作用明显高于游离姜黄素和克拉霉素。体内结果表明,在相同的给药频率和相同的剂量方案下,Cur-CLR-NE 对 H. pylori 的清除效果明显高于游离克拉霉素或姜黄素。组织学分析清楚地表明,姜黄素在修复受损组织方面非常有效。此外,克拉霉素和姜黄素在纳米乳液系统中具有明显的增效作用。在阳性对照感染的小鼠中观察到胃黏膜炎症、浅表损伤、胃炎的症状(包括侵蚀)、胃上皮细胞坏死和胃腺间质水肿,而用 Cur-CLR-NE 治疗的小鼠则没有这些症状。

https://cdn.ncbi.nlm.nih.gov/pmc/blobs/51a7/10541836/6cb5dcfd0548/11274_2023_3745_Fig1_HTML.jpg

文献AI研究员

20分钟写一篇综述,助力文献阅读效率提升50倍。

立即体验

用中文搜PubMed

大模型驱动的PubMed中文搜索引擎

马上搜索

文档翻译

学术文献翻译模型,支持多种主流文档格式。

立即体验