Suppr超能文献

采用 F 心血管磁共振成像定量评估经皮腔内血管成形术引起的血管炎症。

Quantitative assessment of angioplasty-induced vascular inflammation with F cardiovascular magnetic resonance imaging.

机构信息

Division of Cardiology, Pulmonology and Vascular Medicine, University Hospital and Medical Faculty, Heinrich-Heine-University, Moorenstr. 5, 40225, Düsseldorf, Germany.

Institute for Clinical Diabetology, German Diabetes Center, Leibniz Center for Diabetes Research at Heinrich Heine University, Düsseldorf, Germany.

出版信息

J Cardiovasc Magn Reson. 2023 Oct 3;25(1):54. doi: 10.1186/s12968-023-00964-7.

Abstract

BACKGROUND

Macrophages play a pivotal role in vascular inflammation and predict cardiovascular complications. Fluorine-19 magnetic resonance imaging (F MRI) with intravenously applied perfluorocarbon allows a background-free direct quantification of macrophage abundance in experimental vascular disease models in mice. Recently, perfluorooctyl bromide-nanoemulsion (PFOB-NE) was applied to effectively image macrophage infiltration in a pig model of myocardial infarction using clinical MRI scanners. In the present proof-of-concept approach, we aimed to non-invasively image monocyte/macrophage infiltration in response to carotid artery angioplasty in pigs using F MRI to assess early inflammatory response to mechanical injury.

METHODS

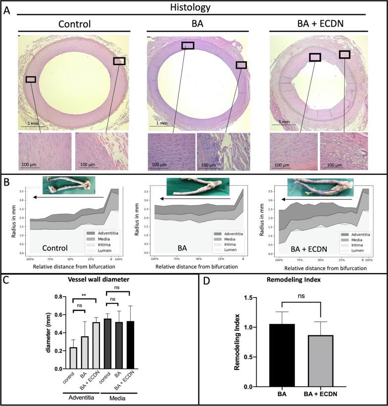
In eight minipigs, two different types of vascular injury were conducted: a mild injury employing balloon oversize angioplasty only (BA, n = 4) and a severe injury provoked by BA in combination with endothelial denudation (BA + ECDN, n = 4). PFOB-NE was administered intravenously three days after injury followed by H and F MRI to assess vascular inflammatory burden at day six. Vascular response to mechanical injury was validated using X-ray angiography, intravascular ultrasound and immunohistology in at least 10 segments per carotid artery.

RESULTS

Angioplasty was successfully induced in all eight pigs. Response to injury was characterized by positive remodeling with predominantly adventitial wall thickening and concomitant infiltration of monocytes/macrophages. No severe adverse reactions were observed following PFOB-NE administration. In vivo F signals were only detected in the four pigs following BA + ECDN with a robust signal-to-noise ratio (SNR) of 14.7 ± 4.8. Ex vivo analysis revealed a linear correlation of F SNR to local monocyte/macrophage cell density. Minimum detection limit of infiltrated monocytes/macrophages was estimated at approximately 410 cells/mm.

CONCLUSIONS

In this proof-of-concept study, F MRI enabled quantification of monocyte/macrophage infiltration after vascular injury with sufficient sensitivity. This may provide the opportunity to non-invasively monitor vascular inflammation with MRI in patients after angioplasty or even in atherosclerotic plaques.

摘要

背景

巨噬细胞在血管炎症中起着关键作用,并可预测心血管并发症。静脉内应用全氟碳的氟-19 磁共振成像(F MRI)可在实验性血管疾病小鼠模型中无背景地直接定量巨噬细胞丰度。最近,全氟辛基溴化物纳米乳液(PFOB-NE)已应用于使用临床 MRI 扫描仪在猪心肌梗死模型中有效成像巨噬细胞浸润。在本概念验证方法中,我们旨在使用 F MRI 非侵入性地成像颈动脉血管成形术后猪单核细胞/巨噬细胞浸润,以评估机械损伤后的早期炎症反应。

方法

在 8 头小型猪中,进行了两种不同类型的血管损伤:仅使用球囊过度扩张血管成形术(BA)的轻度损伤(n=4)和 BA 联合内皮剥脱(BA+ECDN)的严重损伤(n=4)。损伤后 3 天静脉内给予 PFOB-NE,然后进行 H 和 F MRI,以评估第 6 天的血管炎症负担。使用 X 射线血管造影、血管内超声和免疫组织化学在至少每根颈动脉 10 个节段验证机械损伤的血管反应。

结果

在所有 8 头猪中均成功诱导血管成形术。损伤后的反应特征为正性重塑,主要表现为外膜壁增厚,同时伴有单核细胞/巨噬细胞浸润。PFOB-NE 给药后未观察到严重不良反应。仅在 4 头 BA+ECDN 后猪中检测到体内 F 信号,其信噪比(SNR)为 14.7±4.8。离体分析显示 F SNR 与局部单核细胞/巨噬细胞细胞密度呈线性相关。浸润单核细胞/巨噬细胞的最小检测下限估计约为 410 个细胞/mm。

结论

在这项概念验证研究中,F MRI 能够定量检测血管损伤后的单核细胞/巨噬细胞浸润,具有足够的灵敏度。这可能为血管成形术后患者或甚至在动脉粥样硬化斑块中使用 MRI 进行血管炎症的非侵入性监测提供机会。

https://cdn.ncbi.nlm.nih.gov/pmc/blobs/b98f/10546783/87a3ce130625/12968_2023_964_Fig1_HTML.jpg

文献AI研究员

20分钟写一篇综述,助力文献阅读效率提升50倍。

立即体验

用中文搜PubMed

大模型驱动的PubMed中文搜索引擎

马上搜索

文档翻译

学术文献翻译模型,支持多种主流文档格式。

立即体验