Suppr超能文献

血管免疫母细胞性T细胞淋巴瘤一例及诊断难点

A Case of Angioimmunoblastic T-Cell Lymphoma and the Difficulties of Diagnosis.

作者信息

Koifman Michelle, Tai Waqqas, Castro Daniel, Ahluwalia Amith, Liu Yingxian

机构信息

Internal Medicine, The Brooklyn Hospital Center, Brooklyn, USA.

Hemotolgy and Oncology, The Brooklyn Hospital Center, Brooklyn, USA.

出版信息

Cureus. 2023 Sep 2;15(9):e44566. doi: 10.7759/cureus.44566. eCollection 2023 Sep.

Abstract

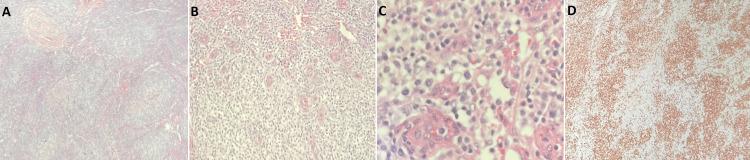
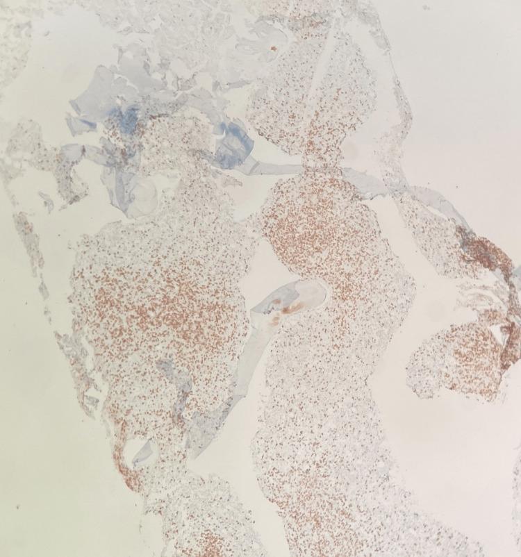
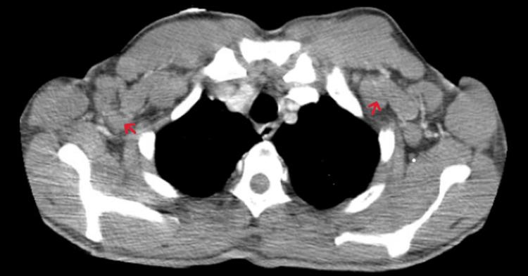
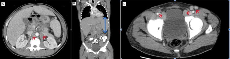
Angioimmunoblastic T-cell lymphoma (AITL) is a rare and aggressive form of peripheral T-cell lymphoma (PTCL). It can present with signs and symptoms that have broad differentials, including fevers, night sweats, and skin rashes. In this case report, we present an interesting case of a young male of Nigerian descent with recently treated malaria who presented with such symptoms and a picture that was complicated, due to an inconclusive excisional biopsy for lymphoma. He was later diagnosed with AITL. Given the patient's recent exposure to malaria, we will discuss the potential role malaria has in the development of AITL.

摘要

血管免疫母细胞性T细胞淋巴瘤(AITL)是外周T细胞淋巴瘤(PTCL)的一种罕见且侵袭性的类型。它可表现出具有广泛鉴别诊断的体征和症状,包括发热、盗汗和皮疹。在本病例报告中,我们呈现了一例有趣的病例,一名有尼日利亚血统的年轻男性,近期患疟疾并接受了治疗,他出现了上述症状,且由于淋巴瘤切除活检结果不明确,病情较为复杂。他后来被诊断为AITL。鉴于该患者近期感染过疟疾,我们将讨论疟疾在AITL发生发展中可能扮演的角色。

https://cdn.ncbi.nlm.nih.gov/pmc/blobs/93db/10544870/1c8f3f16dd00/cureus-0015-00000044566-i01.jpg

文献AI研究员

20分钟写一篇综述,助力文献阅读效率提升50倍。

立即体验

用中文搜PubMed

大模型驱动的PubMed中文搜索引擎

马上搜索

文档翻译

学术文献翻译模型,支持多种主流文档格式。

立即体验