Suppr超能文献

DNA 双加氧酶 TET2 缺乏通过诱导肺上皮细胞铁死亡促进香烟烟雾诱导的慢性阻塞性肺疾病。

DNA dioxygenases TET2 deficiency promotes cigarette smoke induced chronic obstructive pulmonary disease by inducing ferroptosis of lung epithelial cell.

机构信息

Department of Respiratory and Critical Care Medicine, The Second Xiangya Hospital of Central South University, Changsha, China; Research Unit of Respiratory Disease, Central South University, Changsha, China; Diagnosis and Treatment Center of Respiratory Disease, Central South University, Changsha, China.

Department of Respiratory and Critical Care Medicine, The Second Xiangya Hospital of Central South University, Changsha, China; Research Unit of Respiratory Disease, Central South University, Changsha, China; Diagnosis and Treatment Center of Respiratory Disease, Central South University, Changsha, China; Department of Respiratory Medicine, National Key Clinical Specialty, Branch of National Clinical Research Center for Respiratory Disease, Xiangya Hospital, Central South University, Changsha, Hunan, China.

出版信息

Redox Biol. 2023 Nov;67:102916. doi: 10.1016/j.redox.2023.102916. Epub 2023 Oct 4.

Abstract

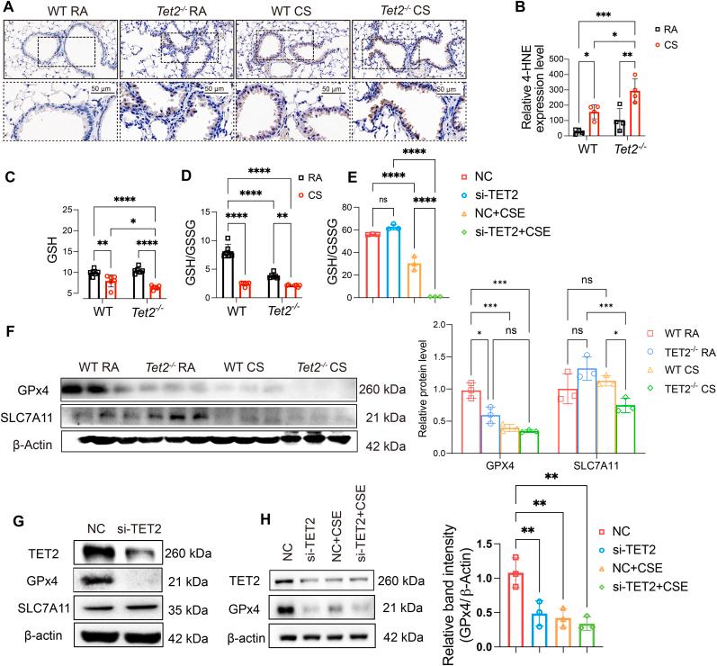
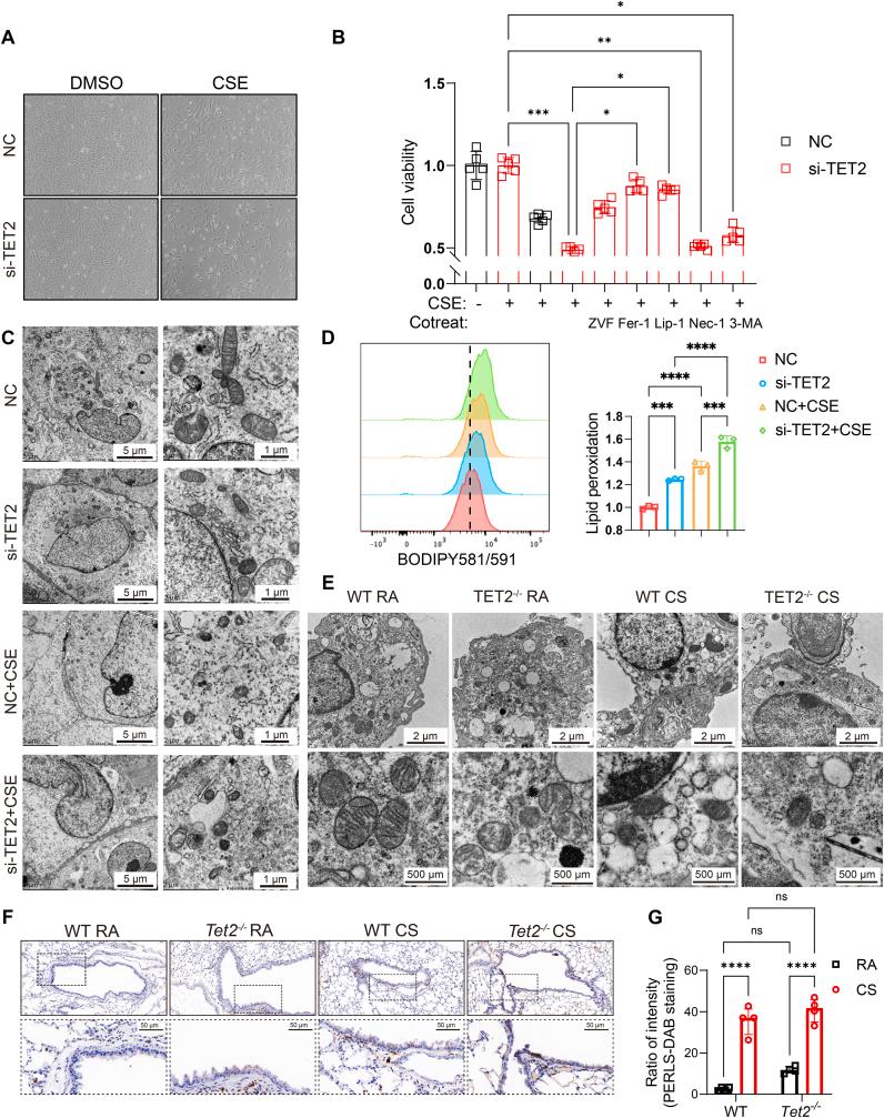
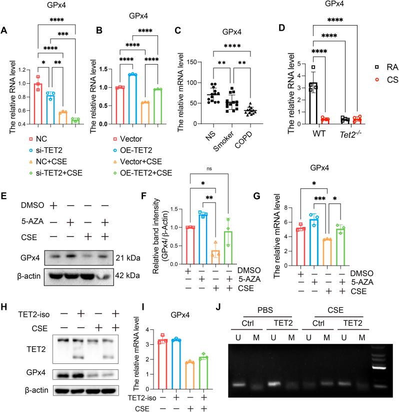
Chronic obstructive pulmonary disease (COPD) is a significant global cause of morbidity and mortality currently. Long-term exposure of cigarette smoke (CS) inducing persistent inflammation, small airway remodeling and emphysematous lung are the distinguishing features of COPD. Ferroptosis, occurred in lung epithelial cells has recently been reported to be associated with COPD pathogenesis. DNA dioxygenase ten-eleven translocation 2 (TET2) is an important demethylase and its genetic mutation is associated with low forced expiratory volume in 1 s (FEV) of lung function. However, its role in COPD remains elusive. Here, we found that TET2 regulates CS induced lipid peroxidation through demethylating glutathione peroxidase 4 (GPx4), thus alleviating airway epithelial cell ferroptosis in COPD. TET2 protein levels were mainly reduced in the airway epithelia of COPD patients, mouse models, and CS extract-treated bronchial epithelial cells. The deletion of TET2 triggered ferroptosis and further exaggerated CS-induced airway remodeling, inflammation, and emphysema in vivo. Moreover, we demonstrated that TET2 silencing intensified ferroptosis, while TET2 overexpression inhibited ferroptosis in airway epithelial cell treated with CSE. Mechanically, TET2 protected airway epithelial cells from CS-induced lipid peroxidation and ferroptosis through demethylating the promoter of glutathione peroxidase 4 (GPx4). Finally, co-administration of methylation inhibitor 5'-aza-2'-deoxycytidine (5-AZA) and the antioxidant N-acetyl-cysteine (NAC) have more protective effects on CS-induced COPD than either administration alone. Overall, our study reveals that TET2 is an essential modulator in the lipid peroxidation and ferroptosis of airway epithelial cell, and could act as a potential therapeutic target for CS-induced COPD.

摘要

慢性阻塞性肺疾病(COPD)是目前全球发病率和死亡率的重要原因。长期暴露于香烟烟雾(CS)导致持续的炎症、小气道重塑和肺气肿是 COPD 的特征。最近有报道称,肺上皮细胞中的铁死亡与 COPD 的发病机制有关。DNA 双加氧酶 ten-eleven 易位 2(TET2)是一种重要的去甲基酶,其基因突变与肺功能的用力呼气量 1 秒(FEV)降低有关。然而,其在 COPD 中的作用仍不清楚。在这里,我们发现 TET2 通过去甲基化谷胱甘肽过氧化物酶 4(GPx4)来调节 CS 诱导的脂质过氧化,从而减轻 COPD 中的气道上皮细胞铁死亡。TET2 蛋白水平主要在 COPD 患者、小鼠模型和 CS 提取物处理的支气管上皮细胞中的气道上皮细胞中降低。TET2 的缺失引发铁死亡,并进一步加剧了体内 CS 诱导的气道重塑、炎症和肺气肿。此外,我们证明 TET2 沉默增强了铁死亡,而 TET2 过表达抑制了 CSE 处理的气道上皮细胞中的铁死亡。机制上,TET2 通过去甲基化谷胱甘肽过氧化物酶 4(GPx4)的启动子来保护气道上皮细胞免受 CS 诱导的脂质过氧化和铁死亡。最后,与单独给药相比,给予甲基化抑制剂 5'-氮杂-2'-脱氧胞苷(5-AZA)和抗氧化剂 N-乙酰半胱氨酸(NAC)的联合给药对 CS 诱导的 COPD 具有更强的保护作用。总之,我们的研究表明 TET2 是气道上皮细胞脂质过氧化和铁死亡的重要调节剂,可作为 CS 诱导的 COPD 的潜在治疗靶点。

https://cdn.ncbi.nlm.nih.gov/pmc/blobs/59fe/10579541/a649b8d9535e/ga1.jpg

文献AI研究员

20分钟写一篇综述,助力文献阅读效率提升50倍。

立即体验

用中文搜PubMed

大模型驱动的PubMed中文搜索引擎

马上搜索

文档翻译

学术文献翻译模型,支持多种主流文档格式。

立即体验