Suppr超能文献

新型苯并异喹啉铜衍生物的合成及其作为拓扑异构酶 I 抑制剂的生物活性。

Synthesis and Biological Activity of a New Indenoisoquinoline Copper Derivative as a Topoisomerase I Inhibitor.

机构信息

Univ. Lille, CNRS, UMR 8576-UGSF-Unité de Glycobiologie Structurale et Fonctionnelle, F-59000 Lille, France.

Univ. Lille, CNRS, Centrale Lille, Univ. Artois, UMR 8181-UCCS-Unité de Catalyse et Chimie du Solide, F-59000 Lille, France.

出版信息

Int J Mol Sci. 2023 Sep 26;24(19):14590. doi: 10.3390/ijms241914590.

Abstract

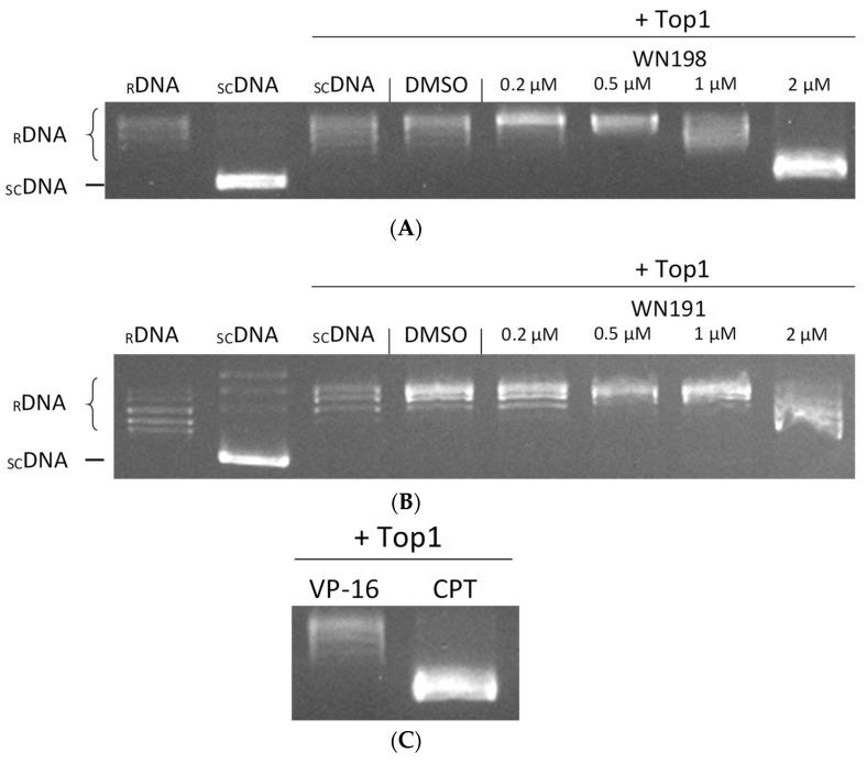
Topoisomerases are interesting targets in cancer chemotherapy. Here, we describe the design and synthesis of a novel copper(II) indenoisoquinoline complex, . The new organometallic compound exhibits a cytotoxic effect on five adenocarcinoma cell lines (MCF-7, MDA-MB-231, HeLa, HT-29, and DU-145) with the lowest IC (0.37 ± 0.04 μM) for the triple-negative MDA-MB-231 breast cancer cell line. Below 5 µM, was ineffective on non-tumorigenic epithelial breast MCF-10A cells and oocyte G2/M transition or embryonic development. Moreover, cancer cell lines showed autophagy markers including Beclin-1 accumulation and LC3-II formation. The DNA interaction of this new compound was evaluated and the dose-dependent topoisomerase I activity starting at 1 μM was confirmed using in vitro tests and has intercalation properties into DNA shown by melting curves and fluorescence measurements. Molecular modeling showed that the main interaction occurs with the aromatic ring but copper stabilizes the molecule before binding and so can putatively increase the potency as well. In this way, copper-derived indenoisoquinoline topoisomerase I inhibitor is a promising antitumorigenic agent for the development of future DNA-damaging treatments.

摘要

拓扑异构酶是癌症化疗中的一个有趣靶点。在这里,我们描述了一种新型铜(II)茚并异喹啉配合物的设计和合成。该新的有机金属化合物对五种腺癌细胞系(MCF-7、MDA-MB-231、HeLa、HT-29 和 DU-145)表现出细胞毒性作用,对三阴性 MDA-MB-231 乳腺癌细胞系的最低 IC(0.37 ± 0.04 μM)。低于 5 μM 时,对非致瘤上皮性乳腺 MCF-10A 细胞和卵母细胞 G2/M 转换或胚胎发育没有作用。此外,癌细胞系显示自噬标志物,包括 Beclin-1 积累和 LC3-II 形成。评估了该新化合物的 DNA 相互作用,并用体外试验证实了剂量依赖性拓扑异构酶 I 活性从 1 μM 开始,并具有通过融解曲线和荧光测量显示的 DNA 插入特性。分子建模表明,主要相互作用发生在芳环上,但铜在结合前稳定分子,因此可以潜在地增加其效力。通过这种方式,铜衍生的茚并异喹啉拓扑异构酶 I 抑制剂 是开发未来 DNA 损伤治疗的有前途的抗肿瘤剂。

https://cdn.ncbi.nlm.nih.gov/pmc/blobs/5ab4/10572568/edc5beda39cd/ijms-24-14590-g001.jpg

文献AI研究员

20分钟写一篇综述,助力文献阅读效率提升50倍。

立即体验

用中文搜PubMed

大模型驱动的PubMed中文搜索引擎

马上搜索

文档翻译

学术文献翻译模型,支持多种主流文档格式。

立即体验