Suppr超能文献

香叶醇合酶通过茶树中的可变剪接调节植物防御。

A geraniol synthase regulates plant defense via alternative splicing in tea plants.

作者信息

Jiang Hao, Zhang Mengting, Yu Feng, Li Xuehui, Jin Jieyang, Zhou Youjia, Wang Qiang, Jing Tingting, Wan Xiaochun, Schwab Wilfried, Song Chuankui

机构信息

State Key Laboratory of Tea Plant Biolog and Utilization, Anhui Agricultural University, 130 West Changjiang Road, Hefei 230036, China.

Biotechnology of Natural Products, Technische Universität München, Liesel-Beckmann-Str. 1, 85354 Freising, Germany.

出版信息

Hortic Res. 2023 Sep 12;10(10):uhad184. doi: 10.1093/hr/uhad184. eCollection 2023 Oct.

Abstract

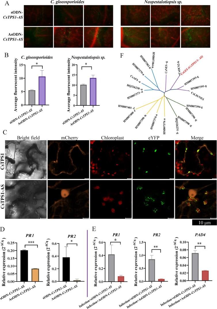
Geraniol is an important contributor to the pleasant floral scent of tea products and one of the most abundant aroma compounds in tea plants; however, its biosynthesis and physiological function in response to stress in tea plants remain unclear. The proteins encoded by the full-length terpene synthase () and its alternative splicing isoform (-) could catalyze the formation of geraniol when GPP was used as a substrate , whereas the expression of - was only significantly induced by and sp. infection. Silencing of and - resulted in a significant decrease of geraniol content in tea plants. The geraniol content and disease resistance of tea plants were compared when and - were silenced. Down-regulation of the expression of - reduced the accumulation of geraniol, and the silenced tea plants exhibited greater susceptibility to pathogen infection than control plants. However, there was no significant difference observed in the geraniol content and pathogen resistance between -silenced plants and control plants in the tea plants infected with two pathogens. Further analysis showed that silencing of - led to a decrease in the expression of the defense-related genes and and SA pathway-related genes in tea plants, which increased the susceptibility of tea plants to pathogens infections Both and results indicated that is involved in the regulation of geraniol formation and plant defense via alternative splicing in tea plants. The results of this study provide new insights into geraniol biosynthesis and highlight the role of monoterpene synthases in modulating plant disease resistance via alternative splicing.

摘要

香叶醇是茶叶产品宜人花香的重要成分,也是茶树中含量最丰富的香气化合物之一;然而,其在茶树中的生物合成及对胁迫的生理功能仍不清楚。当以香叶基焦磷酸(GPP)为底物时,全长萜烯合酶()及其可变剪接异构体(-)编码的蛋白质可催化香叶醇的形成,而-的表达仅在感染和炭疽病菌时显著诱导。沉默和-导致茶树中香叶醇含量显著降低。对沉默和-后的茶树香叶醇含量和抗病性进行了比较。-表达下调降低了香叶醇的积累,沉默的茶树比对照植株对病原菌感染表现出更高的敏感性。然而,在感染两种病原菌的茶树中,-沉默植株与对照植株的香叶醇含量和病原菌抗性没有显著差异。进一步分析表明,沉默-导致茶树中防御相关基因和水杨酸(SA)途径相关基因的表达降低,从而增加了茶树对病原菌感染的敏感性。和结果均表明,在茶树中通过可变剪接参与香叶醇形成的调控和植物防御。本研究结果为香叶醇生物合成提供了新的见解,并突出了单萜合酶通过可变剪接在调节植物抗病性中的作用。

https://cdn.ncbi.nlm.nih.gov/pmc/blobs/794e/10599320/0047e5f93284/uhad184f1.jpg

文献AI研究员

20分钟写一篇综述,助力文献阅读效率提升50倍。

立即体验

用中文搜PubMed

大模型驱动的PubMed中文搜索引擎

马上搜索

文档翻译

学术文献翻译模型,支持多种主流文档格式。

立即体验