Suppr超能文献

黄酮类化合物非瑟酮通过调节PC12细胞中ERK、p38和PI3K/Akt/FOXO3a依赖性途径对皮质酮诱导的细胞死亡的神经保护作用。

The Neuroprotective Effects of Flavonoid Fisetin against Corticosterone-Induced Cell Death through Modulation of ERK, p38, and PI3K/Akt/FOXO3a-Dependent Pathways in PC12 Cells.

作者信息

Chang Pei-Rong, Liou Je-Wen, Chen Pei-Yi, Gao Wan-Yun, Wu Chia-Ling, Wu Ming-Jiuan, Yen Jui-Hung

机构信息

Department of Molecular Biology and Human Genetics, Tzu Chi University, Hualien 970374, Taiwan.

Department of Biochemistry, School of Medicine, Tzu Chi University, Hualien 970374, Taiwan.

出版信息

Pharmaceutics. 2023 Sep 23;15(10):2376. doi: 10.3390/pharmaceutics15102376.

Abstract

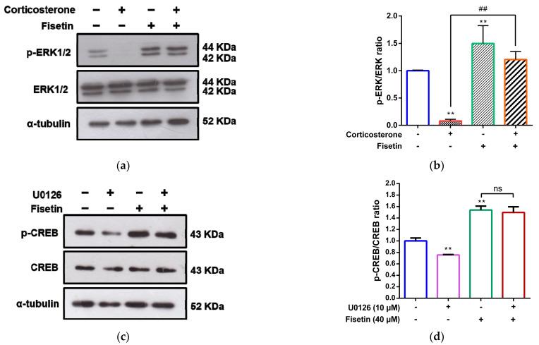
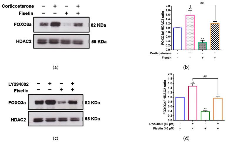
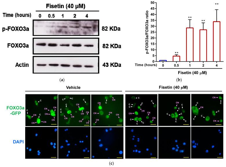
The overactive hypothalamic-pituitary-adrenal (HPA) axis is believed to trigger the overproduction of corticosterone, leading to neurotoxicity in the brain. Fisetin is a flavonoid commonly found in fruits and vegetables. It has been suggested to possess various biological activities, including antioxidant, anti-inflammatory, and neuroprotective effects. This study aims to explore the potential neuroprotective properties of fisetin against corticosterone-induced cell death and its underlying molecular mechanism in PC12 cells. Our results indicate that fisetin, at concentrations ranging from 5 to 40 μM, significantly protected PC12 cells against corticosterone-induced cell death. Fisetin effectively reduced the corticosterone-mediated generation of reactive oxygen species (ROS) in PC12 cells. Fisetin treatments also showed potential in inhibiting the corticosterone-induced apoptosis of PC12 cells. Moreover, inhibitors targeting MAPK/ERK kinase 1/2 (MEK1/2), p38 MAPK, and phosphatidylinositol 3-kinase (PI3K) were found to significantly block the increase in cell viability induced by fisetin in corticosterone-treated cells. Consistently, fisetin enhanced the phosphorylation levels of ERK, p38, Akt, and c-AMP response element-binding protein (CREB) in PC12 cells. Additionally, it was found that the diminished levels of p-CREB and p-ERK by corticosterone can be restored by fisetin treatment. Furthermore, the investigation of crosstalk between ERK and CREB revealed that p-CREB activation by fisetin occurred through the ERK-independent pathway. Moreover, we demonstrated that fisetin effectively counteracted the corticosterone-induced nuclear accumulation of FOXO3a, an apoptosis-triggering transcription factor, and concurrently promoted FOXO3a phosphorylation and its subsequent cytoplasmic localization through the PI3K/Akt pathway. In conclusion, our findings indicate that fisetin exerts its neuroprotective effect against corticosterone-induced cell death by modulating ERK, p38, and the PI3K/Akt/FOXO3a-dependent pathways in PC12 cells. Fisetin emerges as a promising phytochemical for neuroprotection.

摘要

下丘脑 - 垂体 - 肾上腺(HPA)轴功能亢进被认为会引发皮质酮的过量产生,从而导致大脑中的神经毒性。漆黄素是一种常见于水果和蔬菜中的类黄酮。有人提出它具有多种生物学活性,包括抗氧化、抗炎和神经保护作用。本研究旨在探讨漆黄素对皮质酮诱导的PC12细胞死亡的潜在神经保护特性及其潜在的分子机制。我们的结果表明,浓度范围为5至40μM的漆黄素能显著保护PC12细胞免受皮质酮诱导的细胞死亡。漆黄素有效降低了皮质酮介导的PC12细胞中活性氧(ROS)的生成。漆黄素处理还显示出抑制皮质酮诱导的PC12细胞凋亡的潜力。此外,发现靶向丝裂原活化蛋白激酶/细胞外信号调节激酶1/2(MEK1/2)、p38丝裂原活化蛋白激酶和磷脂酰肌醇3 - 激酶(PI3K)的抑制剂可显著阻断漆黄素在皮质酮处理细胞中诱导的细胞活力增加。一致地,漆黄素增强了PC12细胞中ERK、p38、Akt和c - 环磷酸腺苷反应元件结合蛋白(CREB)的磷酸化水平。此外,发现漆黄素处理可恢复皮质酮降低的p - CREB和p - ERK水平。此外,对ERK和CREB之间相互作用的研究表明,漆黄素对p - CREB的激活通过不依赖ERK的途径发生。此外,我们证明漆黄素有效地抵消了皮质酮诱导的凋亡触发转录因子FOXO3a的核积累,并同时通过PI3K/Akt途径促进FOXO3a磷酸化及其随后的细胞质定位。总之,我们的研究结果表明,漆黄素通过调节PC12细胞中的ERK、p38和PI3K/Akt/FOXO3a依赖性途径,对皮质酮诱导的细胞死亡发挥神经保护作用。漆黄素成为一种有前途的用于神经保护的植物化学物质。

https://cdn.ncbi.nlm.nih.gov/pmc/blobs/bc2a/10610442/bed6a24dc9d4/pharmaceutics-15-02376-g001.jpg

文献AI研究员

20分钟写一篇综述,助力文献阅读效率提升50倍。

立即体验

用中文搜PubMed

大模型驱动的PubMed中文搜索引擎

马上搜索

文档翻译

学术文献翻译模型,支持多种主流文档格式。

立即体验