Suppr超能文献

埃及果蝠(Rousettus aegyptiacus)肺部转移的肝细胞癌伴有血色素沉着症。

Hepatocellular carcinoma with lung metastasis showing hemochromatosis in an Egyptian fruit bat (Rousettus aegyptiacus).

机构信息

Department of Veterinary Pathology, Faculty of Agriculture, University of Miyazaki, Miyazaki, Japan.

Graduate School of Medicine and Veterinary Medicine, University of Miyazaki, Miyazaki, Japan.

出版信息

J Vet Med Sci. 2024 Jan 10;86(1):49-53. doi: 10.1292/jvms.23-0152. Epub 2023 Nov 8.

Abstract

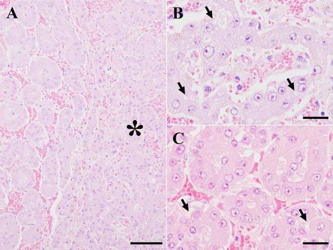
After an Egyptian fruit bat (Rousettus aegyptiacus) in a zoo became emaciated and died, a necropsy revealed multiple nodules on the liver and lung surfaces. Microscopy revealed that the liver nodules consisted of neoplastic hepatocytes and showed metastasis in the lung lobes. Most of the neoplastic cells in the liver and lung showed positive labeling for HepPar-1, cytokeratin 19, glypican-3, and Ki-67. Hepatocellular degeneration and necrosis were diffuse in the liver parenchyma. Berlin blue staining revealed large amounts of iron in normal and neoplastic cells. Based on these pieces of evidence, this case was diagnosed as hepatocellular carcinoma with hemochromatosis. This is believed to be the first report of hepatocellular carcinoma in an Egyptian fruit bat that has been immunophenotypically examined in detail by pathological examination.

摘要

在一家动物园里,一只埃及果蝠(Rousettus aegyptiacus)变得消瘦并死亡,尸检显示肝脏和肺表面有多个结节。显微镜检查显示,肝结节由肿瘤性肝细胞组成,并在肺叶中显示转移。肝脏和肺中的大多数肿瘤细胞对 HepPar-1、细胞角蛋白 19、高尔基糖蛋白 3 和 Ki-67 呈阳性标记。肝实质中弥漫性肝细胞变性和坏死。柏林蓝染色显示正常和肿瘤细胞中含有大量铁。基于这些证据,该病例被诊断为肝细胞癌合并血色素沉着症。据信,这是首例经过详细病理检查免疫表型检查的埃及果蝠肝细胞癌病例报告。

https://cdn.ncbi.nlm.nih.gov/pmc/blobs/d33a/10849857/bb77428c0663/jvms-86-049-g001.jpg

文献AI研究员

20分钟写一篇综述,助力文献阅读效率提升50倍。

立即体验

用中文搜PubMed

大模型驱动的PubMed中文搜索引擎

马上搜索

文档翻译

学术文献翻译模型,支持多种主流文档格式。

立即体验