Suppr超能文献

m6A 修饰的 BACE1-AS 通过 TUFT1 依赖性激活 Wnt 信号促进结直肠癌肝转移和干性样特性。

m6A modified BACE1-AS contributes to liver metastasis and stemness-like properties in colorectal cancer through TUFT1 dependent activation of Wnt signaling.

机构信息

Central Laboratory of the Medical Research Center, The First Affiliated Hospital of Ningbo University, 247 Renmin Road, Jiangbei District, Ningbo, 315020, P. R. China.

Health Science Center, Ningbo University, 818 Fenghua Road, Jiangbei District, Ningbo, 315211, P. R. China.

出版信息

J Exp Clin Cancer Res. 2023 Nov 21;42(1):306. doi: 10.1186/s13046-023-02881-0.

Abstract

BACKGROUND

Liver metastasis is one of the most important reasons for high mortality of colorectal cancer (CRC). Growing evidence illustrates that lncRNAs play a critical role in CRC liver metastasis. Here we described a novel function and mechanisms of BACE1-AS promoting CRC liver metastasis.

METHODS

qRT-PCR and in situ hybridization were performed to examine the BACE1-AS level in CRC. IGF2BP2 binding to m6A motifs in BACE1-AS was determined by RIP assay and S1m-tagged immunoprecipitation. Transwell assay and liver metastasis mice model experiments were performed to examine the metastasis capabilities of BACE1-AS knockout cells. Stemness-like properties was examined by tumor sphere assay and the expression of stemness biomarkers. Microarray data were acquired to analyze the signaling pathways involved in BACE1-AS promoting CRC metastasis.

RESULTS

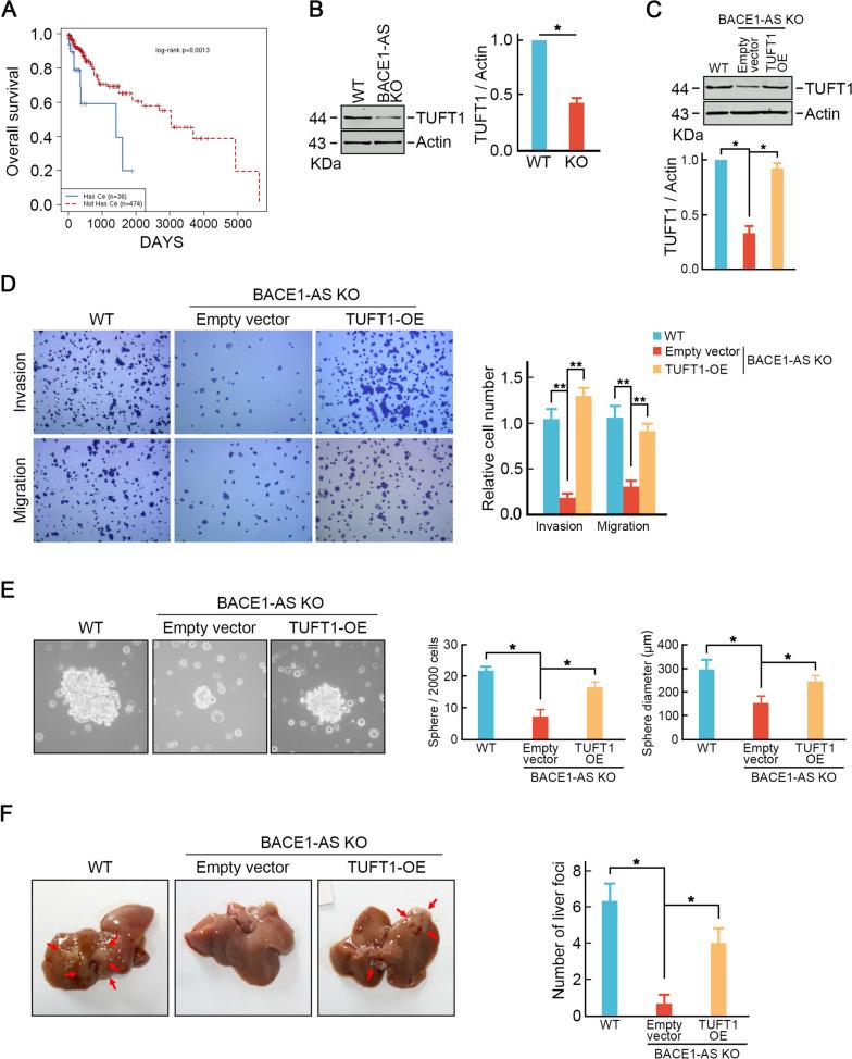
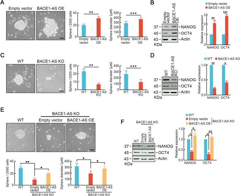
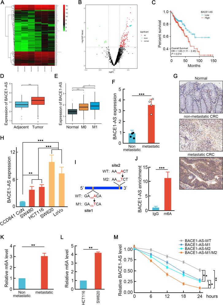
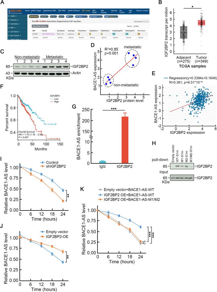
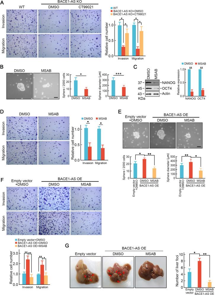
BACE1-AS is the most up-regulated in metastatic CRC associated with unfavorable prognosis. Sequence blast revealed two m6A motifs in BACE1-AS. IGF2BP2 binding to these two m6A motifs is required for BACE1-AS boost in metastatic CRC. m6A modified BACE1-AS drives CRC cells migration and invasion and liver metastasis both in vitro and in vivo. Moreover, BACE1-AS maintains the stemness-like properties of CRC cells. Mechanically, BACE1-AS promoted TUFT1 expression by ceRNA network through miR-214-3p. CRC patients with such ceRNA network suffer poorer prognosis than ceRNA-negative patients. Depletion of TUFT1 mimics BACE1-AS loss. BACE1-AS activated Wnt signaling pathway in a TUFT1 dependent manner. BACE1-AS/miR-214-3p/TUFT1/Wnt signaling regulatory axis is essential for CRC liver metastasis. Pharmacologic inhibition of Wnt signaling pathway repressed liver metastasis and stemness-like features in BACE1-AS over-expressed CRC cells.

CONCLUSION

Our study demonstrated BACE1-AS as a novel target of IGF2BP2 through m6A modification. m6A modified BACE1-AS promotes CRC liver metastasis through TUFT1 dependent activation of Wnt signaling pathway. Thus, targeting BACE1-AS and its downstream Wnt signaling pathways may provide a new opportunity for metastatic CRC intervention and treatment.

摘要

背景

肝转移是结直肠癌(CRC)高死亡率的最重要原因之一。越来越多的证据表明,lncRNAs 在 CRC 肝转移中发挥着关键作用。在这里,我们描述了 BACE1-AS 促进 CRC 肝转移的新功能和机制。

方法

通过 qRT-PCR 和原位杂交检测 CRC 中 BACE1-AS 的水平。RIP 测定和 S1m 标记免疫沉淀测定 IGF2BP2 与 BACE1-AS 中 m6A 基序的结合。通过 Transwell 测定和肝转移小鼠模型实验检测 BACE1-AS 敲除细胞的转移能力。通过肿瘤球体测定和干细胞标志物的表达检测干性样特性。获取微阵列数据以分析涉及 BACE1-AS 促进 CRC 转移的信号通路。

结果

BACE1-AS 在转移性 CRC 中表达上调最明显,与不良预后相关。序列比对显示 BACE1-AS 中有两个 m6A 基序。IGF2BP2 与这两个 m6A 基序的结合对于 BACE1-AS 在转移性 CRC 中的促进作用是必需的。m6A 修饰的 BACE1-AS 驱动 CRC 细胞在体外和体内的迁移和侵袭以及肝转移。此外,BACE1-AS 维持 CRC 细胞的干性样特性。在机制上,BACE1-AS 通过 ceRNA 网络通过 miR-214-3p 促进 TUFT1 的表达。具有这种 ceRNA 网络的 CRC 患者比 ceRNA 阴性患者预后更差。TUFT1 的耗竭模拟了 BACE1-AS 的缺失。BACE1-AS 以 TUFT1 依赖的方式激活 Wnt 信号通路。BACE1-AS/miR-214-3p/TUFT1/Wnt 信号调节轴对于 CRC 肝转移至关重要。Wnt 信号通路的药理学抑制抑制了 BACE1-AS 过表达 CRC 细胞中的肝转移和干性样特征。

结论

我们的研究表明 BACE1-AS 是 IGF2BP2 通过 m6A 修饰的新型靶标。m6A 修饰的 BACE1-AS 通过 TUFT1 依赖性激活 Wnt 信号通路促进 CRC 肝转移。因此,靶向 BACE1-AS 及其下游 Wnt 信号通路可能为转移性 CRC 的干预和治疗提供新的机会。

https://cdn.ncbi.nlm.nih.gov/pmc/blobs/c1af/10661562/edca49be7bb2/13046_2023_2881_Fig1_HTML.jpg

文献AI研究员

20分钟写一篇综述,助力文献阅读效率提升50倍。

立即体验

用中文搜PubMed

大模型驱动的PubMed中文搜索引擎

马上搜索

文档翻译

学术文献翻译模型,支持多种主流文档格式。

立即体验