Suppr超能文献

乳腺小叶癌:一项具有转化性见解的综合综述

Lobular Carcinoma of the Breast: A Comprehensive Review with Translational Insights.

作者信息

Batra Harsh, Mouabbi Jason Aboudi, Ding Qingqing, Sahin Aysegul A, Raso Maria Gabriela

机构信息

Department of Translational Molecular Pathology, The University of Texas MD Anderson Cancer Center, Houston, TX 77030, USA.

Department of Breast Medical Oncology, The University of Texas MD Anderson Cancer Center, Houston, TX 77030, USA.

出版信息

Cancers (Basel). 2023 Nov 20;15(22):5491. doi: 10.3390/cancers15225491.

Abstract

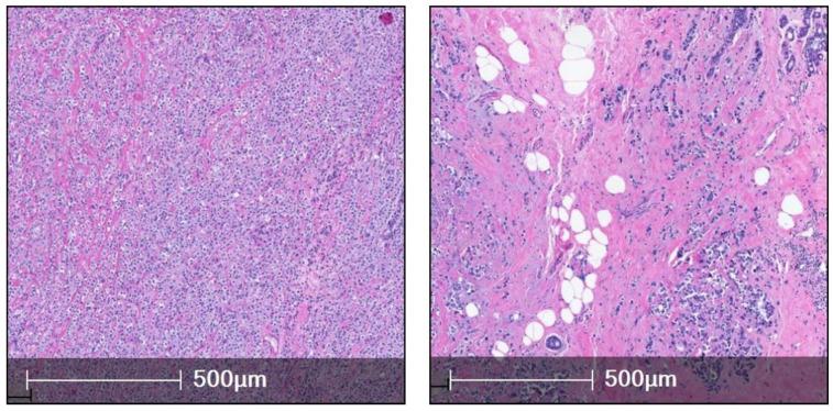
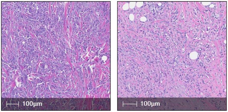
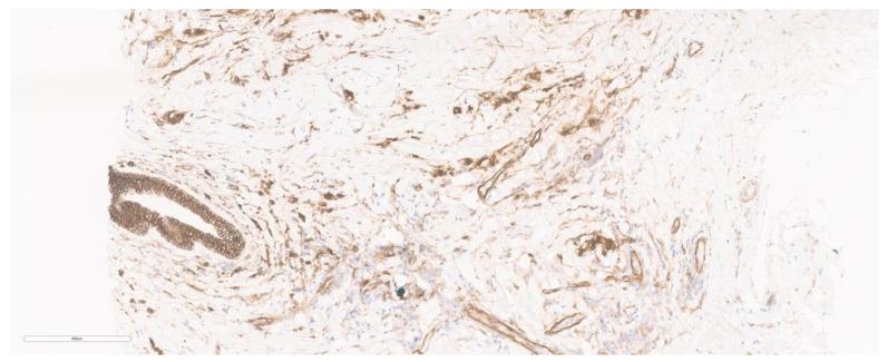
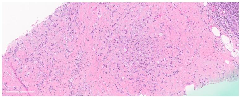
The second most common breast carcinoma, invasive lobular carcinoma, accounts for approximately 15% of tumors of breast origin. Its incidence has increased in recent times due in part to hormone replacement therapy and improvement in diagnostic modalities. Although believed to arise from the same cell type as their ductal counterpart, invasive lobular carcinomas (ILCs) are a distinct entity with different regulating genetic pathways, characteristic histologies, and different biology. The features most unique to lobular carcinomas include loss of E-Cadherin leading to discohesion and formation of a characteristic single file pattern on histology. Because most of these tumors exhibit estrogen receptor positivity and Her2 neu negativity, endocrine therapy has predominated to treat these tumors. However novel treatments like CDK4/6 inhibitors have shown importance and antibody drug conjugates may be instrumental considering newer categories of Her 2 Low breast tumors. In this narrative review, we explore multiple pathological aspects and translational features of this unique entity. In addition, due to advancement in technologies like spatial transcriptomics and other hi-plex technologies, we have tried to enlist upon the characteristics of the tumor microenvironment and the latest associated findings to better understand the new prospective therapeutic options in the current era of personalized treatment.

摘要

第二常见的乳腺癌——浸润性小叶癌,约占乳腺原发肿瘤的15%。近年来其发病率有所上升,部分原因是激素替代疗法和诊断方式的改进。尽管浸润性小叶癌(ILC)被认为与导管癌起源于相同的细胞类型,但它是一个独特的实体,具有不同的调控基因途径、特征性组织学表现和不同的生物学特性。小叶癌最独特的特征包括E-钙黏蛋白的缺失,导致细胞间黏附丧失,并在组织学上形成特征性的单列模式。由于这些肿瘤大多表现为雌激素受体阳性和人表皮生长因子受体2(Her2)阴性,内分泌治疗一直是治疗这些肿瘤的主要方法。然而,像细胞周期蛋白依赖性激酶4/6(CDK4/6)抑制剂这样的新型治疗方法已显示出重要性,考虑到新型Her2低表达乳腺肿瘤类别,抗体药物偶联物可能也会发挥作用。在这篇叙述性综述中,我们探讨了这个独特实体的多个病理学方面和转化特征。此外,由于空间转录组学等技术和其他高多重技术的进步,我们试图列举肿瘤微环境的特征和最新相关发现,以便在当前个性化治疗时代更好地理解新的潜在治疗选择。

https://cdn.ncbi.nlm.nih.gov/pmc/blobs/a12b/10670219/7ba0dd8be2ed/cancers-15-05491-g001.jpg

文献AI研究员

20分钟写一篇综述,助力文献阅读效率提升50倍。

立即体验

用中文搜PubMed

大模型驱动的PubMed中文搜索引擎

马上搜索

文档翻译

学术文献翻译模型,支持多种主流文档格式。

立即体验