Suppr超能文献

辅酶Q10负载白蛋白纳米粒对氯化汞诱导的大鼠肝肾毒性中的氧化还原失衡以及炎症、凋亡和组织病理学改变具有保护作用。

Coenzyme Q10-Loaded Albumin Nanoparticles Protect against Redox Imbalance and Inflammatory, Apoptotic, and Histopathological Alterations in Mercuric Chloride-Induced Hepatorenal Toxicity in Rats.

作者信息

Ramadan Shimaa S, El Zaiat Farah A, Habashy Engy A, Montaser Mostafa M, Hassan Habeba E, Tharwat Shahinaz S, El-Khadragy Manal, Abdel Moneim Ahmed E, Elshopakey Gehad E, Akabawy Ahmed M A

机构信息

Biochemistry Sector, Chemistry Department, Faculty of Science, Helwan University, Cairo 11795, Egypt.

Molecular Biotechnology Sector, Chemistry Department, Faculty of Science, Helwan University, Cairo 11795, Egypt.

出版信息

Biomedicines. 2023 Nov 14;11(11):3054. doi: 10.3390/biomedicines11113054.

Abstract

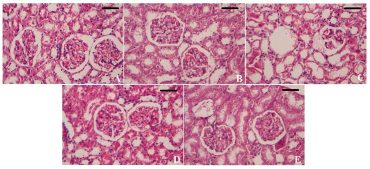
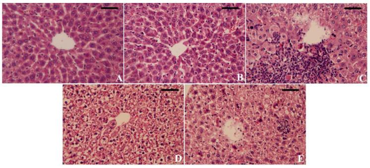
Exposure to mercuric chloride (HgCl), either accidental or occupational, induces substantial liver and kidney damage. Coenzyme Q10 (CoQ10) is a natural antioxidant that also has anti-inflammatory and anti-apoptotic activities. Herein, our study aimed to investigate the possible protective effects of CoQ10 alone or loaded with albumin nanoparticles (CoQ10NPs) against HgCl-induced hepatorenal toxicity in rats. Experimental animals received CoQ10 (10 mg/kg/oral) or CoQ10NPs (10 mg/kg/oral) and were injected intraperitoneally with HgCl (5 mg/kg; three times/week) for two weeks. The results indicated that CoQ10NP pretreatment caused a significant decrease in serum liver and kidney function markers. Moreover, lowered MDA and NO levels were associated with an increase in antioxidant enzyme activities (SOD, GPx, GR, and CAT), along with higher GSH contents, in both the liver and kidneys of intoxicated rats treated with CoQ10NPs. Moreover, HgCl-intoxicated rats that received CoQ10NPs revealed a significant reduction in the hepatorenal levels of TNF-α, IL-1β, NF-κB, and TGF-β, as well as an increase in the hepatic level of the fibrotic marker (α-SMA). Notably, CoQ10NPs counteracted hepatorenal apoptosis by diminishing the levels of Bax and caspase-3 and boosting the level of Bcl-2. The hepatic and renal histopathological findings supported the abovementioned changes. In conclusion, these data suggest that CoQ10, alone or loaded with albumin nanoparticles, has great power in reversing the hepatic and renal tissue impairment induced by HgCl via the modulation of hepatorenal oxidative damage, inflammation, and apoptosis. Therefore, this study provides a valuable therapeutic agent (CoQ10NPs) for preventing and treating several HgCl-induced hepatorenal disorders.

摘要

意外或职业接触氯化汞(HgCl)会导致严重的肝脏和肾脏损伤。辅酶Q10(CoQ10)是一种天然抗氧化剂,也具有抗炎和抗凋亡活性。在此,我们的研究旨在探讨单独使用CoQ10或负载白蛋白纳米颗粒的CoQ10(CoQ10NPs)对HgCl诱导的大鼠肝肾毒性的可能保护作用。实验动物接受CoQ10(10 mg/kg/口服)或CoQ10NPs(10 mg/kg/口服),并腹腔注射HgCl(5 mg/kg;每周三次),持续两周。结果表明,CoQ10NP预处理可显著降低血清肝功能和肾功能标志物水平。此外,在用CoQ10NPs处理的中毒大鼠的肝脏和肾脏中,MDA和NO水平降低与抗氧化酶活性(SOD、GPx、GR和CAT)增加以及GSH含量升高有关。此外,接受CoQ10NPs的HgCl中毒大鼠肝肾组织中TNF-α、IL-1β、NF-κB和TGF-β水平显著降低,同时肝脏纤维化标志物(α-SMA)水平升高。值得注意的是,CoQ10NPs通过降低Bax和caspase-3水平并提高Bcl-2水平来对抗肝肾细胞凋亡。肝脏和肾脏的组织病理学结果支持上述变化。总之,这些数据表明,单独使用CoQ10或负载白蛋白纳米颗粒的CoQ10通过调节肝肾氧化损伤、炎症和细胞凋亡,在逆转HgCl诱导的肝脏和肾脏组织损伤方面具有强大作用。因此,本研究为预防和治疗几种HgCl诱导的肝肾疾病提供了一种有价值的治疗剂(CoQ10NPs)。

https://cdn.ncbi.nlm.nih.gov/pmc/blobs/0c6e/10669886/d43390b2b1e9/biomedicines-11-03054-g001.jpg

文献AI研究员

20分钟写一篇综述,助力文献阅读效率提升50倍。

立即体验

用中文搜PubMed

大模型驱动的PubMed中文搜索引擎

马上搜索

文档翻译

学术文献翻译模型,支持多种主流文档格式。

立即体验