Suppr超能文献

不同剂量脂多糖处理鸡密质骨间充质干细胞成骨分化的改变。

Altered Osteogenic Differentiation in Mesenchymal Stem Cells Isolated from Compact Bone of Chicken Treated with Varying Doses of Lipopolysaccharides.

机构信息

Department of Poultry Science, University of Georgia, Athens, GA 30605, USA.

出版信息

Biomolecules. 2023 Nov 7;13(11):1626. doi: 10.3390/biom13111626.

Abstract

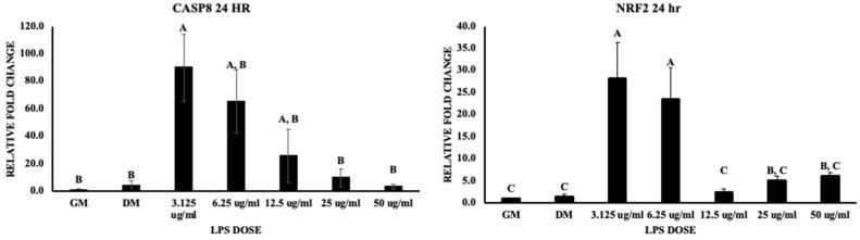
Persistent inflammation biologically alters signaling molecules and ultimately affects osteogenic differentiation, including in modern-day broilers with unique physiology. Lipopolysaccharides (LPS) are Gram-negative bacterial components that activate cells via transmembrane receptor activation and other molecules. Previous studies have shown several pathways associated with osteogenic inductive ability, but the pathway has yet to be deciphered, and data related to its dose-dependent effect are limited. Primary mesenchymal stem cells (MSCs) were isolated from the bones of day-old broiler chickens, and the current study focused on the dose-dependent variation (3.125 micrograms/mL to 50 micrograms/mL) in osteogenic differentiation and the associated biomarkers in primary MSCs. The doses in this study were determined using a cell viability (MTT) assay. The study revealed that osteogenic differentiation varied with dose, and the cells exposed to higher doses of LPS were viable but lacked differentiating ability. However, this effect became transient with lower doses, and this phenotypic character was observed with differential staining methods like Alizarin Red, Von Kossa, and alkaline phosphatase. The data from this study revealed that LPS at varying doses had a varying effect on osteogenic differentiation via several pathways acting simultaneously during bone development.

摘要

持续的炎症会在生物学上改变信号分子,最终影响成骨分化,包括现代肉鸡这种具有独特生理学特性的动物。脂多糖(LPS)是革兰氏阴性细菌的组成部分,通过跨膜受体激活和其他分子激活细胞。先前的研究表明了与成骨诱导能力相关的几种途径,但该途径尚未被破解,并且关于其剂量依赖性效应的数据有限。原代间充质干细胞(MSCs)是从一日龄肉鸡的骨骼中分离出来的,本研究主要关注成骨分化的剂量依赖性变化(3.125 微克/毫升至 50 微克/毫升)以及原代 MSCs 中的相关生物标志物。本研究中的剂量是通过细胞活力(MTT)测定确定的。研究表明,成骨分化随剂量而变化,暴露于较高 LPS 剂量的细胞虽然存活但缺乏分化能力。然而,这种效应在较低剂量下是短暂的,并且这种表型特征可以通过茜素红、Von Kossa 和碱性磷酸酶等差异染色方法观察到。这项研究的数据表明,LPS 在不同剂量下通过在骨骼发育过程中同时作用的几种途径对成骨分化产生不同的影响。

https://cdn.ncbi.nlm.nih.gov/pmc/blobs/9bee/10669906/83c748a4e454/biomolecules-13-01626-g001.jpg

文献AI研究员

20分钟写一篇综述,助力文献阅读效率提升50倍。

立即体验

用中文搜PubMed

大模型驱动的PubMed中文搜索引擎

马上搜索

文档翻译

学术文献翻译模型,支持多种主流文档格式。

立即体验