Suppr超能文献

胶质母细胞瘤中 p53 和 Ki67 与临床病理特征的相关性。

General Clinico-Pathological Characteristics in Glioblastomas in Correlation with p53 and Ki67.

机构信息

Department of Anatomy and Embryology, George Emil Palade University of Medicine, Pharmacy, Sciences and Technology of Târgu Mures, Street Gheorghe Marinescu 38, 540142 Târgu Mures, Romania.

Department of Pathology, George Emil Palade University of Medicine, Pharmacy, Sciences and Technology of Târgu Mures, Street Gheorghe Marinescu 38, 540142 Târgu Mures, Romania.

出版信息

Medicina (Kaunas). 2023 Oct 30;59(11):1918. doi: 10.3390/medicina59111918.

Abstract

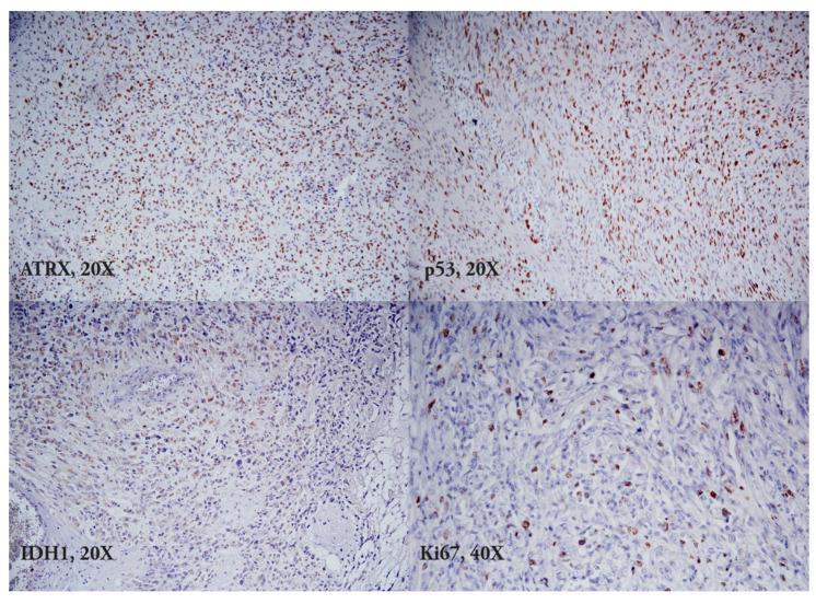
A glioblastoma is an intra-axial brain tumour of glial origin that belongs to the category of diffuse gliomas and is the most common malignant neoplasia of the central nervous system. The rate of survival at 5 years, from the moment of diagnosis, is not higher than 10%. In this retrospective study, fifty-four patients diagnosed with glioblastoma, from the Pathology Department of the County Emergency Clinical Hospital of Târgu Mureș, between 2014 and 2017 were included. We studied the clinico-pathological data (age, gender, location, and laterality) and, respectively, the immunoexpression of p53, Ki67, ATRX, and IDH-1 proteins. We observed a statistically significant association between the laterality of the tumour according to the age groups, with the localization on the right side being more frequent in the age group below 65 years of age, while the involvement of the left hemisphere was more prevalent in those over 65 years. Out of the total 54 cases, 87.04% were found to be primary glioblastomas; more than 70% of the cases were ATRX immunopositive; almost 80% of the glioblastomas studied had wild-type p53 profile; and 35% of the cases were found to have a Ki67 index greater than 20%. A statistically significant association between gender and ATRX mutation was found; female cases were ATRX immunopositive in 92% of the cases. Almost 70% of the cases were both IDH-1 and p53 wild-type, and we observed the presence of both mutations in only 3.7% of the cases. Approximately 83% of primary glioblastomas were ATRX positive, respectively, and all IDH-1 mutant cases were ATRX negative. Glioblastomas still represent a multidisciplinary challenge considering their reserved prognosis. In this study, we described the most common clinico-pathological characteristics and IHC marker expression profiles, highlighting a variety of percentage ranges in primary and secondary glioblastomas. Given the small number of studied cases, further prospective studies on larger cohorts are needed in the future to evaluate the role of these immunohistochemical markers as prognostic factors for survival or recurrence.

摘要

胶质母细胞瘤是一种源自神经胶质的脑内肿瘤,属于弥漫性神经胶质瘤,是中枢神经系统最常见的恶性肿瘤。从诊断时起,5 年生存率不超过 10%。在这项回顾性研究中,我们纳入了 2014 年至 2017 年在特兰西瓦尼亚穆雷什县急诊临床医院病理科诊断为胶质母细胞瘤的 54 例患者。我们研究了临床病理数据(年龄、性别、位置和侧别),以及 p53、Ki67、ATRX 和 IDH-1 蛋白的免疫表达。我们观察到肿瘤侧别与年龄组之间存在统计学显著关联,65 岁以下年龄组右侧肿瘤更为常见,而 65 岁以上患者左半球受累更为常见。在 54 例病例中,87.04%为原发性胶质母细胞瘤;超过 70%的病例 ATRX 免疫阳性;研究中的胶质母细胞瘤近 80%具有野生型 p53 特征;35%的病例 Ki67 指数大于 20%。我们发现性别与 ATRX 突变之间存在统计学显著关联;女性病例 ATRX 免疫阳性率为 92%。近 70%的病例 IDH-1 和 p53 均为野生型,我们仅在 3.7%的病例中观察到两种突变同时存在。大约 83%的原发性胶质母细胞瘤 ATRX 阳性,而所有 IDH-1 突变型病例均为 ATRX 阴性。胶质母细胞瘤的预后仍不容乐观,仍需要多学科治疗。在本研究中,我们描述了最常见的临床病理特征和 IHC 标志物表达谱,突出了原发性和继发性胶质母细胞瘤中各种百分比范围。鉴于研究病例数量较少,未来需要对更大的队列进行进一步的前瞻性研究,以评估这些免疫组织化学标志物作为生存或复发的预后因素的作用。

https://cdn.ncbi.nlm.nih.gov/pmc/blobs/60b2/10672788/9f1c6df46e8b/medicina-59-01918-g001.jpg

文献AI研究员

20分钟写一篇综述,助力文献阅读效率提升50倍。

立即体验

用中文搜PubMed

大模型驱动的PubMed中文搜索引擎

马上搜索

文档翻译

学术文献翻译模型,支持多种主流文档格式。

立即体验