Suppr超能文献

艾滋病病毒和新型冠状病毒肺炎感染患者中耐多药菌引起的呼吸机相关性肺炎和胸膜脓胸:一例报告

Ventilator-associated pneumonia (VAP) and pleural empyema caused by multidrug-resistant in HIV and COVID 19 infected patient: A case report.

作者信息

Passerotto Rosa Anna, Lamanna Francesco, Farinacci Damiano, Dusina Alex, Di Giambenedetto Simona, Ciccullo Arturo, Borghetti Alberto

机构信息

Dipartimento di Sicurezza e Bioetica - Sezione di Malattie Infettive, Università Cattolica del Sacro Cuore, 00168 Rome, Italy.

Dipartimento di Scienze di Laboratorio e Infettivologiche, Fondazione Policlinico Universitario Agostino Gemelli IRCCS, 00168 Rome, Italy.

出版信息

Infect Med (Beijing). 2023 Jun;2(2):143-147. doi: 10.1016/j.imj.2023.02.004. Epub 2023 Mar 4.

Abstract

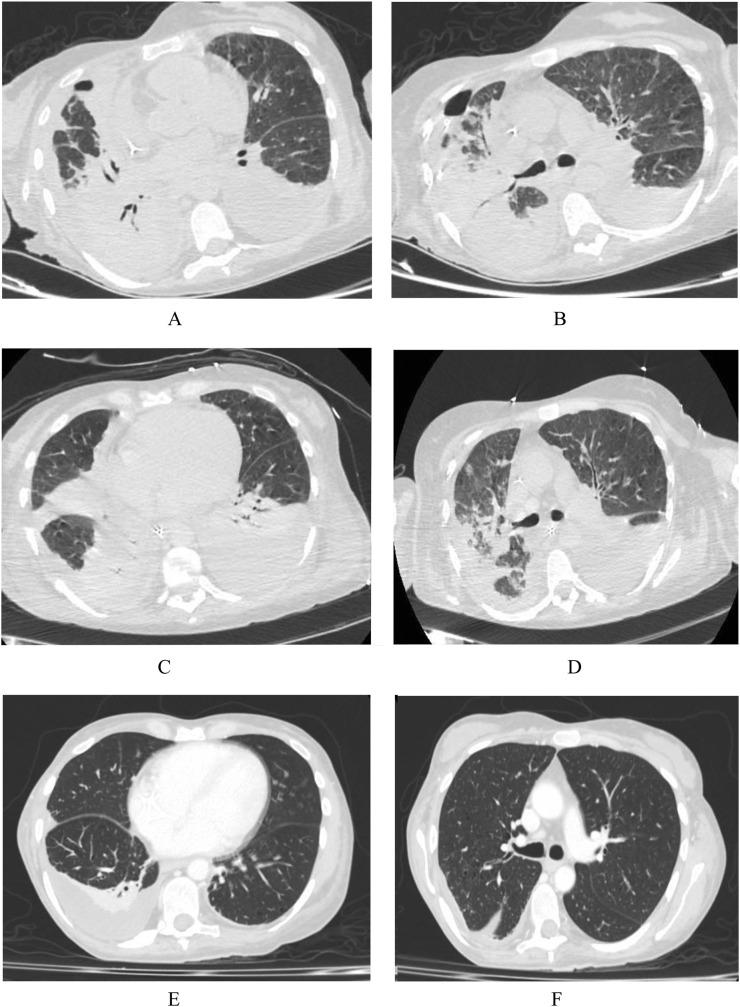
We analyzed the case of a 49-year-old woman with HIV infection off-therapy with poor viro-immunological compensation, not vaccinated for SARS-COV-2, hospitalized for lobar pneumonia and severe COVID19-related respiratory failure in intensive care unit (ICU). The hospitalization was complicated by bacteraemic ventilator-associated pneumonia (VAP) caused by multidrug-resistant (MDR-AB) isolated on pleural fluid culture, treated with colistin and cefiderocol for about 3 weeks. The molecular research of MDR-AB on transtracheal aspirate was negative following this therapy. The aim is to show the safety, efficacy and tolerability of colistin-based combination therapy with cefiderocol for infection in HIV-infected patient.

摘要

我们分析了一例49岁的HIV感染女性病例,该患者停止治疗后病毒免疫补偿不佳,未接种SARS-CoV-2疫苗,因大叶性肺炎和严重的COVID-19相关呼吸衰竭入住重症监护病房(ICU)。住院期间并发了由胸腔积液培养分离出的多重耐药鲍曼不动杆菌(MDR-AB)引起的菌血症性呼吸机相关性肺炎(VAP),用黏菌素和头孢地尔治疗约3周。治疗后经气管抽吸物对MDR-AB的分子研究结果为阴性。目的是展示黏菌素联合头孢地尔治疗HIV感染患者感染的安全性、有效性和耐受性。

https://cdn.ncbi.nlm.nih.gov/pmc/blobs/36bf/10699663/eb45cf54bc8c/ga1.jpg

相似文献

1
10
Colistin inhalation monotherapy for ventilator-associated pneumonia of Acinetobacter baumannii in prematurity.
Pediatr Pulmonol. 2014 Apr;49(4):381-8. doi: 10.1002/ppul.22750. Epub 2013 Jan 28.

本文引用的文献

2
Cefiderocol- Compared to Colistin-Based Regimens for the Treatment of Severe Infections Caused by Carbapenem-Resistant Acinetobacter baumannii.
Antimicrob Agents Chemother. 2022 May 17;66(5):e0214221. doi: 10.1128/aac.02142-21. Epub 2022 Mar 21.
3
Bacterial/fungal infection in hospitalized patients with COVID-19 in a tertiary hospital in the Community of Castilla y León, Spain.
Enferm Infecc Microbiol Clin (Engl Ed). 2022 Apr;40(4):158-165. doi: 10.1016/j.eimce.2022.02.002. Epub 2022 Feb 16.
10
Intrapulmonary pharmacokinetics of cefiderocol, a novel siderophore cephalosporin, in healthy adult subjects.
J Antimicrob Chemother. 2019 Jul 1;74(7):1971-1974. doi: 10.1093/jac/dkz123.

文献AI研究员

20分钟写一篇综述,助力文献阅读效率提升50倍。

立即体验

用中文搜PubMed

大模型驱动的PubMed中文搜索引擎

马上搜索

文档翻译

学术文献翻译模型,支持多种主流文档格式。

立即体验