Suppr超能文献

从猪粪便中分离的 GB97 裂解物的特性及其对小鼠炎症、肠道屏障功能和肠道微生物组成的影响。

Characteristics of GB97 lysate isolated from porcine feces and its and effects on inflammation, intestinal barrier function, and gut microbiota composition in mice.

机构信息

Advanced Radiation Technology Institute, Korea Atomic Energy Research Institute , Jeongeup-si, South Korea.

Department of Food Science and Technology, Graduate School of Chonnam National University , Gwangju, South Korea.

出版信息

Microbiol Spectr. 2024 Jan 11;12(1):e0133423. doi: 10.1128/spectrum.01334-23. Epub 2023 Nov 29.

Abstract

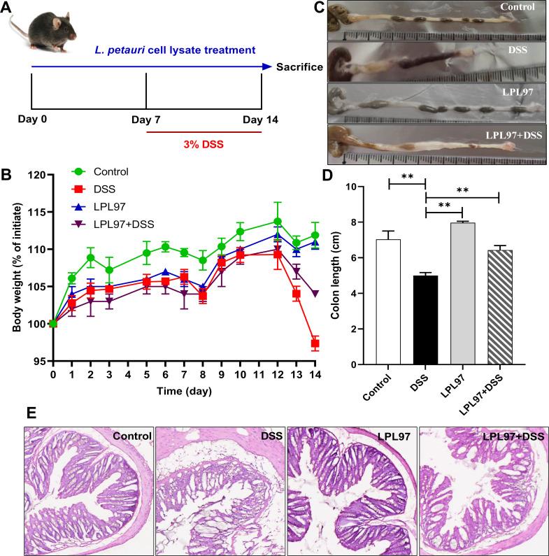
Weaning is a crucial step in piglet management to improve pork production. During the weaning phase, disruption of epithelial barrier function and intestinal inflammation can lead to decreased absorption of nutrients and diarrhea. Therefore, maintaining a healthy intestine, epithelial barrier function, and gut microbiota composition in this crucial phase is strategic for optimal weaning in pigs. We isolated a lysate of GB97 (LPL97) from healthy porcine feces and evaluated its anti-inflammatory activities, barrier integrity, and gut microbial changes in LPS-induced murine macrophages and DSS-induced colitis mice. We found that LPL97 regulated the immune response by downregulating the TLR4/NF-κB/MAPK signaling pathway both and . Furthermore, LPL97 alleviated the disruption of intestinal epithelial integrity and gut microbiota dysbiosis in colitis mice. This study indicates that LPL97 has the potential to be developed as an alternative feed additive to antibiotics for the swine industry.

摘要

断奶是提高猪肉产量的关键步骤仔猪管理。在断奶阶段,上皮屏障功能和肠道炎症的破坏会导致营养物质吸收减少和腹泻。因此,在这个关键阶段保持肠道健康、上皮屏障功能和肠道微生物组成对于猪的最佳断奶至关重要。我们从健康的猪粪便中分离出一种 GB97(LPL97)的裂解物,并评估其在 LPS 诱导的鼠巨噬细胞和 DSS 诱导的结肠炎小鼠中的抗炎活性、屏障完整性和肠道微生物变化。我们发现 LPL97 通过下调 TLR4/NF-κB/MAPK 信号通路来调节免疫反应,无论是在体外还是体内。此外,LPL97 减轻了结肠炎小鼠肠道上皮完整性的破坏和肠道微生物失调。这项研究表明,LPL97 有可能被开发为替代抗生素的饲料添加剂,用于养猪业。

https://cdn.ncbi.nlm.nih.gov/pmc/blobs/824b/10782967/b4ac1e886cdc/spectrum.01334-23.f001.jpg

文献AI研究员

20分钟写一篇综述,助力文献阅读效率提升50倍。

立即体验

用中文搜PubMed

大模型驱动的PubMed中文搜索引擎

马上搜索

文档翻译

学术文献翻译模型,支持多种主流文档格式。

立即体验