Suppr超能文献

过氧化氢作为一种应对特定物种水华的缓解措施。

Hydrogen peroxide as a mitigation against sp. bloom.

作者信息

Ng Pok Him, Cheng Tzu Hsuan, Man Ka Yan, Huang Liqing, Cheng Ka Po, Lim Kwok Zu, Chan Chi Ho, Kam Maximilian Ho Yat, Zhang Ju, Marques Ana Rita Pinheiro, St-Hilaire Sophie

机构信息

Department of Infectious Diseases and Public Health, Jockey Club College of Veterinary Medicine and Life Sciences, City University of Hong Kong, Hong Kong, China.

出版信息

Aquaculture. 2023 Dec 15;577:739932. doi: 10.1016/j.aquaculture.2023.739932.

Abstract

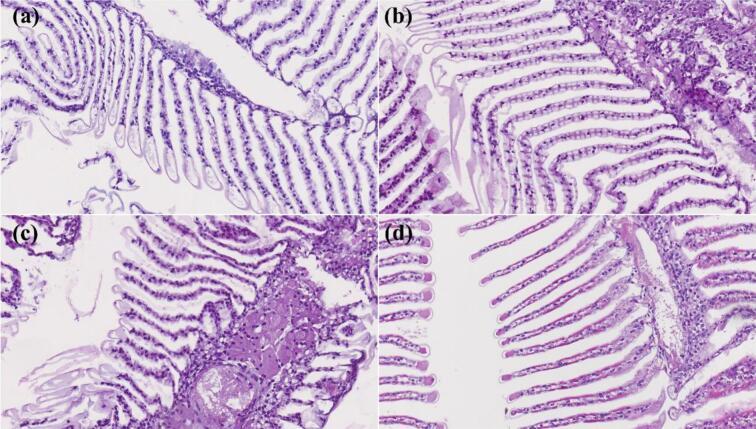
sp. is a harmful cyanobacterial species commonly seen in earthen ponds. The overgrowth of these algae can lead to fluctuations in water parameters, including DO and pH. Also, the microcystins produced by these algae are toxic to aquatic animals. This study applied hydrogen peroxide (7 mg/L) to treat sp. in a laboratory setting and in three earthen pond trials. In the lab we observed a 64.7% decline in sp. And in our earthen pond field experiments we measured, on average, 43% reductions in sp. cell counts within one hour. The treatment was found to eliminate specifically sp. and did not reduce the cell count of the other algae species in the pond. A shift of the algae community towards the beneficial algae was also found post-treatment. Lastly, during the pond trials, the gill status of Tilapia and Giant tiger prawn were not affected by the HO treatment suggesting this may be a good mitigation strategy for reducing cyanobacteria in pond aquaculture.

摘要

某藻种是一种常见于土池中有害的蓝藻物种。这些藻类的过度生长会导致包括溶解氧(DO)和pH值在内的水质参数波动。此外,这些藻类产生的微囊藻毒素对水生动物有毒。本研究在实验室环境以及三个土池试验中应用过氧化氢(7毫克/升)来处理某藻种。在实验室中,我们观察到某藻种数量下降了64.7%。在我们的土池田间试验中,我们测得在一小时内某藻种细胞数量平均减少了43%。发现该处理方法能特异性地消除某藻种,且不会减少池塘中其他藻类物种的细胞数量。处理后还发现藻类群落向有益藻类转变。最后,在池塘试验期间,罗非鱼和斑节对虾的鳃部状况未受到过氧化氢处理的影响,这表明这可能是池塘养殖中减少蓝藻的一种良好缓解策略。

https://cdn.ncbi.nlm.nih.gov/pmc/blobs/f176/10518459/86c8b4a3babf/gr1.jpg

文献AI研究员

20分钟写一篇综述,助力文献阅读效率提升50倍。

立即体验

用中文搜PubMed

大模型驱动的PubMed中文搜索引擎

马上搜索

文档翻译

学术文献翻译模型,支持多种主流文档格式。

立即体验