Suppr超能文献

心肌血管紧张素转换酶 2 蛋白在缺血性心力衰竭中的表达。

Myocardial Angiotensin-Converting Enzyme 2 Protein Expression in Ischemic Heart Failure.

机构信息

Laboratory of Cardiac Pathology, Institute of Cardiology, Lithuanian University of Health Sciences, 50161 Kaunas, Lithuania.

出版信息

Int J Mol Sci. 2023 Dec 5;24(24):17145. doi: 10.3390/ijms242417145.

Abstract

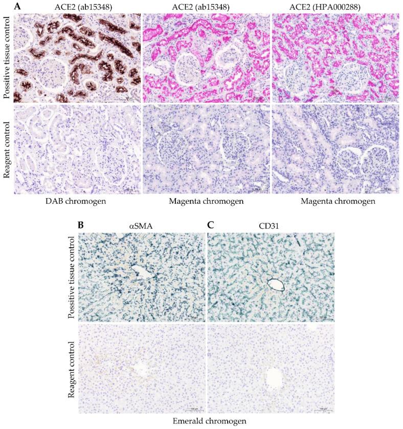
The angiotensin-converting enzyme 2 (ACE2)-angiotensin-(1-7)-Mas receptor axis plays a significant role in regulating myocardial remodeling and the development of heart failure (HF), with ACE2 being the primary focus. However, contemporary understanding of the membrane-bound form of the human ACE2 protein remains insufficient. The purpose of this study was to determine the expression of ACE2 protein in different cells of the left ventricular myocardium in non-diseased hearts and at various stages of ischemic HF. A total of 103 myocardial tissue samples from the left ventricle underwent quantitative and semi-quantitative immunohistochemical analysis. Upon assessing ACE2 immunostaining in all myocardial cells through unselective digital image analysis, there was no change in the stage A HF group. Nevertheless, the expression of ACE2 membrane protein in cardiomyocytes showed a tendency to increase, while non-cardiomyocyte ACE2 expression decreased significantly ( < 0.001). In the stage B HF group, the intensity of ACE2 immunostaining continued to increase with rising cardiomyocyte ACE2 expression ( < 0.001). Non-cardiomyocyte expression, in contrast, remained similar to that observed in the stage A HF group. In the stages C/D HF group, ACE2 expression reached its highest level in cardiomyocytes ( < 0.001), while ACE2 expression in non-cardiomyocytes was the lowest ( < 0.001). These changes in ACE2 protein levels are associated with left ventricular remodeling in ischemic HF.

摘要

血管紧张素转换酶 2(ACE2)-血管紧张素(1-7)-Mas 受体轴在调节心肌重构和心力衰竭(HF)的发展中起着重要作用,其中 ACE2 是主要关注点。然而,人们对人 ACE2 蛋白的膜结合形式的认识仍然不足。本研究旨在确定 ACE2 蛋白在非病变心脏和不同缺血性 HF 阶段的左心室心肌不同细胞中的表达。对左心室的 103 个心肌组织样本进行了定量和半定量免疫组织化学分析。通过非选择性数字图像分析评估所有心肌细胞中的 ACE2 免疫染色,在 HF 阶段 A 组中没有变化。然而,心肌细胞中 ACE2 膜蛋白的表达呈增加趋势,而非心肌细胞 ACE2 的表达显著降低(<0.001)。在 HF 阶段 B 组中,随着心肌细胞 ACE2 表达的增加,ACE2 免疫染色的强度继续增加(<0.001)。相比之下,非心肌细胞的表达与 HF 阶段 A 组相似。在 HF 阶段 C/D 组中,ACE2 在心肌细胞中的表达达到最高水平(<0.001),而 ACE2 在非心肌细胞中的表达最低(<0.001)。ACE2 蛋白水平的这些变化与缺血性 HF 中的左心室重构有关。

https://cdn.ncbi.nlm.nih.gov/pmc/blobs/37f6/10743033/e04723e57f5b/ijms-24-17145-g001.jpg

文献AI研究员

20分钟写一篇综述,助力文献阅读效率提升50倍。

立即体验

用中文搜PubMed

大模型驱动的PubMed中文搜索引擎

马上搜索

文档翻译

学术文献翻译模型,支持多种主流文档格式。

立即体验