Suppr超能文献

F-FDG PET/CT与扩散加权成像在浸润性导管癌检测中的比较。

Comparison between F-FDG PET/CT and diffusion-weighted imaging in detection of invasive ductal breast carcinoma.

作者信息

Ozen Aynur, Sayin Tarik, Kandemir Ozan, Ekmekcioglu Ozgul, Altınay Serdar, Bastug Eylem, Muhammedoglu Ali, Celik Atilla, Albayrak Ramazan

机构信息

Department of Nuclear Medicine, Istanbul Bagcılar Training and Research Hospital, University of Health Sciences, Istanbul, Turkey.

Department of Radiology, Istanbul Bagcılar Training and Research Hospital, University of Health Sciences, Istanbul, Turkey.

出版信息

Asia Ocean J Nucl Med Biol. 2024;12(1):11-20. doi: 10.22038/AOJNMB.2023.70534.1493.

Abstract

OBJECTIVES

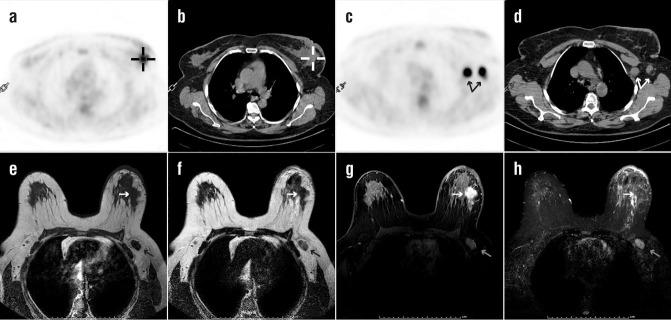
Breast carcinoma is the most common type of cancer in females. This study aims to compare fluorine-18-fluorodeoxyglucose (F-FDG) uptake pattern and apparent diffusion coefficient (ADC) value for the detection of the primary tumour and axillary metastases of invasive ductal breast carcinoma.

METHODS

This study included 40 breast carcinoma lesions taken from 39 patients. After staging by positron emission tomography-computed tomography (PET/CT) and diffusion-weighted magnetic resonance imaging (MRI), breast surgery with axillary lymph node dissection or sentinel lymph node biopsy was performed.

RESULTS

Primary lesion detection rate for PET/CT and diffusion-weighted MRI was high with 39 of 40 lesions (97.5%). The sensitivity and specificity for the detection of metastatic lymph nodes in axilla were 40.9%, 88.9%, with F-FDG PET/CT scans and 40.9%, 83.3%, for dw-MRI, respectively. No significant correlation was detected between ADC and SUV or SUV ratios. Estrogen receptor (p=0.007) and progesterone receptor (p=0.036) positive patients had lower ADC values. Tumour SUV was lower in T1 than T2 tumour size (p=0.027) and progesterone receptor-positive patients (p=0.029). Tumour/background SUV was lower in progesterone receptor-positive patients (p=0.004). Tumour/liver SUV was higher in grade III patients (p=0.035) and progesterone receptor negative status (p=0.043).

CONCLUSIONS

This study confirmed the high detection rate of breast carcinoma in both modalities. They have same sensitivity for the detection of axillary lymph node metastases, whereas the PET/CT scan had higher specificity. Furthermore, ADC, SUV and SUV ratios showed some statistical significance among the patient groups according to different pathological parameters.

摘要

目的

乳腺癌是女性最常见的癌症类型。本研究旨在比较氟-18-氟脱氧葡萄糖(F-FDG)摄取模式和表观扩散系数(ADC)值在检测浸润性导管癌原发肿瘤及腋窝转移方面的情况。

方法

本研究纳入了39例患者的40个乳腺癌病灶。在通过正电子发射断层扫描-计算机断层扫描(PET/CT)和扩散加权磁共振成像(MRI)进行分期后,进行了腋窝淋巴结清扫或前哨淋巴结活检的乳腺手术。

结果

PET/CT和扩散加权MRI对原发病灶的检出率很高,40个病灶中有39个(97.5%)。F-FDG PET/CT扫描和扩散加权MRI检测腋窝转移性淋巴结的敏感性和特异性分别为40.9%、88.9%和40.9%、83.3%。未检测到ADC与SUV或SUV比值之间存在显著相关性。雌激素受体(p=0.007)和孕激素受体(p=0.036)阳性的患者ADC值较低。T1期肿瘤的SUV低于T2期肿瘤大小(p=0.027)和孕激素受体阳性患者(p=0.029)。孕激素受体阳性患者的肿瘤/背景SUV较低(p=0.004)。III级患者(p=0.035)和孕激素受体阴性状态(p=0.043)的肿瘤/肝脏SUV较高。

结论

本研究证实了两种检查方式对乳腺癌的高检出率。它们对腋窝淋巴结转移的检测具有相同的敏感性,而PET/CT扫描具有更高的特异性。此外,根据不同的病理参数,ADC、SUV和SUV比值在患者组之间显示出一些统计学意义。

https://cdn.ncbi.nlm.nih.gov/pmc/blobs/44a0/10757063/9058068810fd/AOJNMB-12-11-g001.jpg

文献AI研究员

20分钟写一篇综述,助力文献阅读效率提升50倍。

立即体验

用中文搜PubMed

大模型驱动的PubMed中文搜索引擎

马上搜索

文档翻译

学术文献翻译模型,支持多种主流文档格式。

立即体验