Suppr超能文献

神经轴突和小动脉平滑肌细胞之间的突触样传递驱动脑神经血管耦合。

Synaptic-like transmission between neural axons and arteriolar smooth muscle cells drives cerebral neurovascular coupling.

机构信息

School of Life Sciences, Fudan University, Shanghai, China.

Key Laboratory of Growth Regulation and Translation Research of Zhejiang Province, School of Life Sciences, Westlake University, Hangzhou, China.

出版信息

Nat Neurosci. 2024 Feb;27(2):232-248. doi: 10.1038/s41593-023-01515-0. Epub 2024 Jan 2.

Abstract

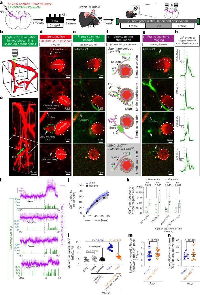
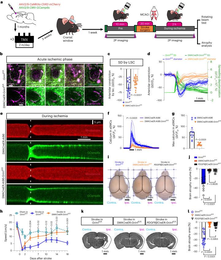
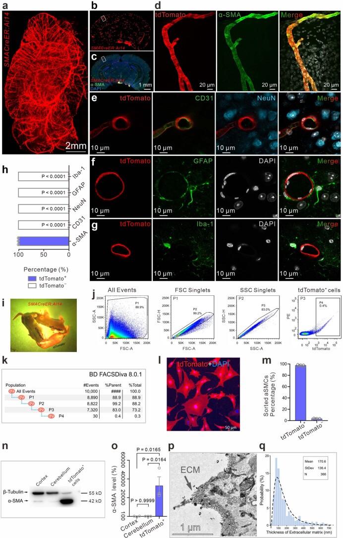
Neurovascular coupling (NVC) is important for brain function and its dysfunction underlies many neuropathologies. Although cell-type specificity has been implicated in NVC, how active neural information is conveyed to the targeted arterioles in the brain remains poorly understood. Here, using two-photon focal optogenetics in the mouse cerebral cortex, we demonstrate that single glutamatergic axons dilate their innervating arterioles via synaptic-like transmission between neural-arteriolar smooth muscle cell junctions (NsMJs). The presynaptic parental-daughter bouton makes dual innervations on postsynaptic dendrites and on arteriolar smooth muscle cells (aSMCs), which express many types of neuromediator receptors, including a low level of glutamate NMDA receptor subunit 1 (Grin1). Disruption of NsMJ transmission by aSMC-specific knockout of GluN1 diminished optogenetic and whisker stimulation-caused functional hyperemia. Notably, the absence of GluN1 subunit in aSMCs reduced brain atrophy following cerebral ischemia by preventing Ca overload in aSMCs during arteriolar constriction caused by the ischemia-induced spreading depolarization. Our findings reveal that NsMJ transmission drives NVC and open up a new avenue for studying stroke.

摘要

神经血管耦合 (NVC) 对大脑功能很重要,其功能障碍是许多神经病理学的基础。尽管已经暗示了细胞类型特异性在 NVC 中的作用,但活跃的神经信息如何传递到大脑中的靶向动脉仍然知之甚少。在这里,我们使用小鼠大脑皮层中的双光子焦点光遗传学,证明单个谷氨酸能轴突通过神经血管平滑肌细胞连接处(NsMJs)之间的突触样传递来扩张其支配的小动脉。亲代-子代末梢在突触后树突和小动脉平滑肌细胞 (aSMCs) 上进行双重支配,aSMCs 表达许多类型的神经递质受体,包括低水平的谷氨酸 NMDA 受体亚单位 1 (Grin1)。通过特异性敲除 aSMC 中的 GluN1 破坏 NsMJ 传递,减弱了光遗传学和胡须刺激引起的功能充血。值得注意的是,aSMCs 中 GluN1 亚基的缺失通过防止缺血引起的小动脉收缩期间 Ca 超载来预防脑缺血引起的脑萎缩,从而导致小动脉收缩。我们的发现表明 NsMJ 传递驱动 NVC,并为研究中风开辟了一条新途径。

https://cdn.ncbi.nlm.nih.gov/pmc/blobs/a9d6/10849963/11e2b2669616/41593_2023_1515_Fig1_HTML.jpg

文献AI研究员

20分钟写一篇综述,助力文献阅读效率提升50倍。

立即体验

用中文搜PubMed

大模型驱动的PubMed中文搜索引擎

马上搜索

文档翻译

学术文献翻译模型,支持多种主流文档格式。

立即体验