Suppr超能文献

通过源自人诱导多能干细胞的直接染色体转移和 CRISPR/Cas9 介导的易位,快速将人类基因组 DNA 克隆到小鼠人工染色体中。

Rapid human genomic DNA cloning into mouse artificial chromosome via direct chromosome transfer from human iPSC and CRISPR/Cas9-mediated translocation.

机构信息

Department of Chromosome Biomedical Engineering, Integrated Medical Sciences, Graduate School of Medical Sciences, Tottori University, 86 Nishi-cho, Yonago, Tottori 683-8503, Japan.

Department of Chromosome Biomedical Engineering, School of Life Science, Faculty of Medicine, Tottori University, 86 Nishi-cho, Yonago, Tottori 683-8503, Japan.

出版信息

Nucleic Acids Res. 2024 Feb 9;52(3):1498-1511. doi: 10.1093/nar/gkad1218.

Abstract

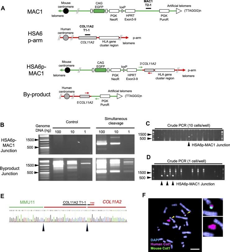
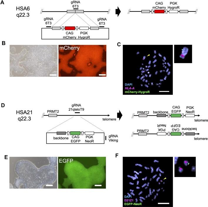
A 'genomically' humanized animal stably maintains and functionally expresses the genes on human chromosome fragment (hCF; <24 Mb) loaded onto mouse artificial chromosome (MAC); however, cloning of hCF onto the MAC (hCF-MAC) requires a complex process that involves multiple steps of chromosome engineering through various cells via chromosome transfer and Cre-loxP chromosome translocation. Here, we aimed to develop a strategy to rapidly construct the hCF-MAC by employing three alternative techniques: (i) application of human induced pluripotent stem cells (hiPSCs) as chromosome donors for microcell-mediated chromosome transfer (MMCT), (ii) combination of paclitaxel (PTX) and reversine (Rev) as micronucleation inducers and (iii) CRISPR/Cas9 genome editing for site-specific translocations. We achieved a direct transfer of human chromosome 6 or 21 as a model from hiPSCs as alternative human chromosome donors into CHO cells containing MAC. MMCT was performed with less toxicity through induction of micronucleation by PTX and Rev. Furthermore, chromosome translocation was induced by simultaneous cleavage between human chromosome and MAC by using CRISPR/Cas9, resulting in the generation of hCF-MAC containing CHO clones without Cre-loxP recombination and drug selection. Our strategy facilitates rapid chromosome cloning and also contributes to the functional genomic analyses of human chromosomes.

摘要

一种“基因组”人源化动物能够稳定地维持和功能性表达加载到小鼠人工染色体(MAC)上的人类染色体片段(hCF;<24 Mb)上的基因;然而,hCF 克隆到 MAC 上(hCF-MAC)需要一个复杂的过程,涉及通过染色体转移和 Cre-loxP 染色体易位,通过各种细胞进行多次染色体工程步骤。在这里,我们旨在通过采用三种替代技术来开发快速构建 hCF-MAC 的策略:(i)应用人类诱导多能干细胞(hiPSC)作为微细胞介导的染色体转移(MMCT)的染色体供体,(ii)紫杉醇(PTX)和雷夫司汀(Rev)的组合作为微核诱导剂,以及(iii)CRISPR/Cas9 基因组编辑用于特定位置的易位。我们实现了将人类染色体 6 或 21 作为模型,从 hiPSC 作为替代的人类染色体供体直接转移到含有 MAC 的 CHO 细胞中。通过使用 PTX 和 Rev 诱导微核化,MMCT 的毒性降低。此外,通过 CRISPR/Cas9 同时切割人类染色体和 MAC,诱导染色体易位,从而在没有 Cre-loxP 重组和药物选择的情况下生成含有 CHO 克隆的 hCF-MAC。我们的策略促进了快速的染色体克隆,也有助于人类染色体的功能基因组分析。

https://cdn.ncbi.nlm.nih.gov/pmc/blobs/0a46/10853801/1e0f145b176a/gkad1218figgra1.jpg

文献AI研究员

20分钟写一篇综述,助力文献阅读效率提升50倍。

立即体验

用中文搜PubMed

大模型驱动的PubMed中文搜索引擎

马上搜索

文档翻译

学术文献翻译模型,支持多种主流文档格式。

立即体验