Suppr超能文献

外泌体来源的miR-23a-5p通过调节PRDX2表达抑制肝癌细胞增殖和血管生成:肝癌进展中的miR-23a-5p/PRDX2轴

Exosome-derived miR-23a-5p inhibits HCC proliferation and angiogenesis by regulating PRDX2 expression: MiR-23a-5p/PRDX2 axis in HCC progression.

作者信息

Zhao Yang, Liu Jun, Xiong Zhengping, Gu Shanzhi, Xia Xibin

机构信息

Department of Interventional Therapy, Hunan Cancer Hospital, The Affiliated Cancer Hospital of Xiangya School of Medicine, Central South University, 283 Tongzipo Road, Yuelu District, Changsha, 410006, Hunan, China.

Department of Radiology, Hunan Cancer Hospital, The Affiliated Cancer Hospital of Xiangya School of Medicine, Central South University, Changsha, 410006, Hunan, China.

出版信息

Heliyon. 2023 Dec 2;10(1):e23168. doi: 10.1016/j.heliyon.2023.e23168. eCollection 2024 Jan 15.

Abstract

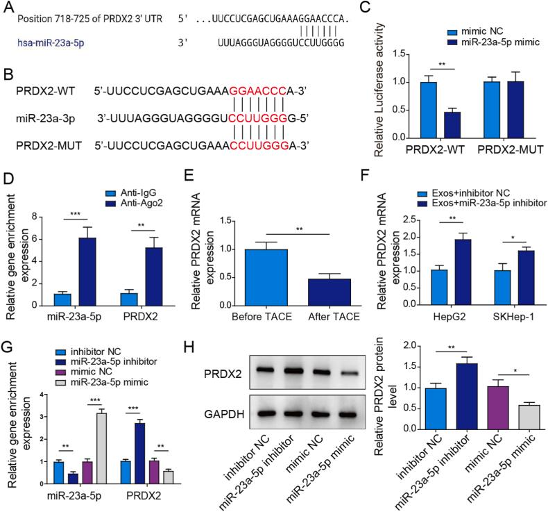
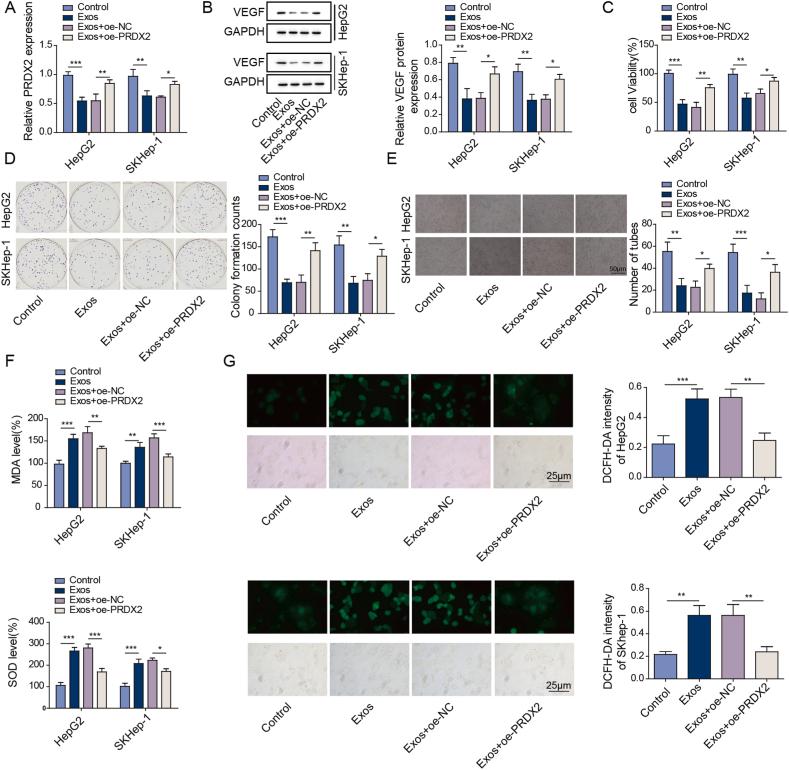
microRNAs (miRNAs) are closely related to the progression of hepatocellular carcinoma (HCC). Cancer-derived exosomes play an essential role in the establishment of the HCC microenvironment. However, the possible effects and underlying mechanisms of exosome (exo) microRNA-23a-5p (miR-23a-5p) in the progression of HCC remain unknown. In this study, we aimed to determine the role and specific molecular mechanism of exo miR-23a-5p in regulating HCC progression and to investigate whether exo miR-23a-5p levels can serve as an indicator of the prognosis of transarterial chemoembolization in patients with HCC. Our findings illustrated that miR-23a-5p was downregulated in exosomes separated from the serum of HCC patients and that miR-23a-5p carried by exosomes inhibited HCC cell proliferation and angiogenesis. Mechanistically, miR-23a-5p negatively targeted peroxiredoxin-2 (PRDX2). Functionally, PRDX2 overexpression relieved exosome-induced inhibition of HCC cell proliferation and angiogenesis by promoting vascular endothelial growth factor (VEGF) expression. In conclusion, Exo miR-23a-5p inhibited HCC proliferation and angiogenesis by regulating PRDX2 expression. Our results revealed the role and specific molecular mechanism of exo miR-23a-5p in regulating HCC progression.

摘要

微小RNA(miRNA)与肝细胞癌(HCC)的进展密切相关。癌症来源的外泌体在HCC微环境的建立中起重要作用。然而,外泌体(exo)微小RNA-23a-5p(miR-23a-5p)在HCC进展中的可能作用及潜在机制仍不清楚。在本研究中,我们旨在确定外泌体miR-23a-5p在调节HCC进展中的作用和具体分子机制,并研究外泌体miR-23a-5p水平是否可作为HCC患者经动脉化疗栓塞预后的指标。我们的研究结果表明,在从HCC患者血清中分离的外泌体中miR-23a-5p表达下调,并且外泌体携带的miR-23a-5p抑制HCC细胞增殖和血管生成。机制上,miR-23a-5p负向靶向过氧化物酶2(PRDX2)。功能上,PRDX2过表达通过促进血管内皮生长因子(VEGF)表达减轻外泌体诱导的对HCC细胞增殖和血管生成的抑制。总之,外泌体miR-23a-5p通过调节PRDX2表达抑制HCC增殖和血管生成。我们的结果揭示了外泌体miR-23a-5p在调节HCC进展中的作用和具体分子机制。

https://cdn.ncbi.nlm.nih.gov/pmc/blobs/24b2/10770527/86cc647ae312/gr1.jpg

文献AI研究员

20分钟写一篇综述,助力文献阅读效率提升50倍。

立即体验

用中文搜PubMed

大模型驱动的PubMed中文搜索引擎

马上搜索

文档翻译

学术文献翻译模型,支持多种主流文档格式。

立即体验