Suppr超能文献

藏红花抑制人前列腺癌细胞的作用机制。

Mechanism of Antitumor Effects of Saffron in Human Prostate Cancer Cells.

机构信息

Department of Biochemistry and Molecular Biology, Howard University, Washington, DC 20059, USA.

Department of Life Sciences, Xavier University of Louisiana, New Orleans, LA 70125, USA.

出版信息

Nutrients. 2023 Dec 28;16(1):114. doi: 10.3390/nu16010114.

Abstract

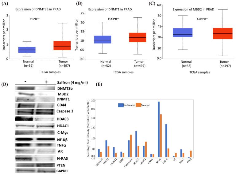
Prostate cancer is the most common cancer and the second leading cause of cancer deaths among men in the USA. Several studies have demonstrated the antitumor properties of saffron in different types of cancers, including prostate cancer. The oral administration of saffron extract has been reported to have antitumor effects on aggressive prostate-cancer-cell-line-derived xenografts in nude male mice. The objective of this study was to carry out in vitro studies of saffron-treated prostate cancer cells to ascertain the effects of saffron on key intermediates in prostate carcinogenesis. Our studies demonstrated the significant inhibition of cell proliferation for androgen-sensitive prostate cancer cell lines via apoptotic pathways. We also demonstrate the statistically significant down-regulation of DNA methyltransferases (COMT, MGMT, EHMT2, and SIRT1 deacetylase) in saffron-treated prostate cancer cells. In addition, saffron-treated prostate cancer cells displayed a statistically significant dysregulation of DNA repair intermediates (WRN, p53, RECQ5, MST1R, and WDR70) in a time-dependent manner. Furthermore, Western blot analysis demonstrated that saffron treatment induced changes in the expression of other key genes (DNMT1, DNMT3b, MBD2, CD44, HDAC3, c-Myc, NF-kB, TNFα, AR, N-RAS, and PTEN) in prostate cancer cells. Collectively, our findings demonstrate the important mechanisms by which saffron mediates anti-tumor properties in prostate cancer. These findings suggest that the use of saffron supplements alongside standard treatment protocols may yield beneficial effects for individuals with prostate cancer.

摘要

前列腺癌是美国男性中最常见的癌症和第二大癌症死亡原因。多项研究表明,藏红花在包括前列腺癌在内的多种癌症类型中具有抗肿瘤特性。已有报道称,藏红花提取物的口服给药对裸鼠中源自侵袭性前列腺癌细胞系的异种移植物具有抗肿瘤作用。本研究的目的是对藏红花处理的前列腺癌细胞进行体外研究,以确定藏红花对前列腺癌发生过程中关键中间产物的影响。我们的研究表明,藏红花通过细胞凋亡途径显著抑制雄激素敏感的前列腺癌细胞系的细胞增殖。我们还证明,藏红花处理的前列腺癌细胞中的 DNA 甲基转移酶(COMT、MGMT、EHMT2 和 SIRT1 去乙酰化酶)呈统计学显著下调。此外,藏红花处理的前列腺癌细胞显示 DNA 修复中间产物(WRN、p53、RECQ5、MST1R 和 WDR70)在时间依赖性方式下呈现统计学显著失调。此外,Western blot 分析表明,藏红花处理诱导前列腺癌细胞中其他关键基因(DNMT1、DNMT3b、MBD2、CD44、HDAC3、c-Myc、NF-kB、TNFα、AR、N-RAS 和 PTEN)的表达发生变化。总的来说,我们的研究结果表明了藏红花在前列腺癌中发挥抗肿瘤特性的重要机制。这些发现表明,藏红花补充剂与标准治疗方案一起使用可能对前列腺癌患者产生有益的效果。

https://cdn.ncbi.nlm.nih.gov/pmc/blobs/db33/10780623/ce4d7fdf4498/nutrients-16-00114-g001.jpg

文献AI研究员

20分钟写一篇综述,助力文献阅读效率提升50倍。

立即体验

用中文搜PubMed

大模型驱动的PubMed中文搜索引擎

马上搜索

文档翻译

学术文献翻译模型,支持多种主流文档格式。

立即体验