Suppr超能文献

ZnS 和 CdS 量子点在多糖载体(淀粉/壳聚糖)中的体外毒性特征。

The In Vitro Toxicity Profile of ZnS and CdS Quantum Dots in Polysaccharide Carriers (Starch/Chitosan).

机构信息

Faculty of Animal Science, University of Agriculture in Krakow, Al. Mickiewicza 21, 31-120 Krakow, Poland.

Faculty of Biotechnology and Horticulture, University of Agriculture in Krakow, Al. Mickiewicza 21, 31-120 Krakow, Poland.

出版信息

Int J Mol Sci. 2023 Dec 27;25(1):361. doi: 10.3390/ijms25010361.

Abstract

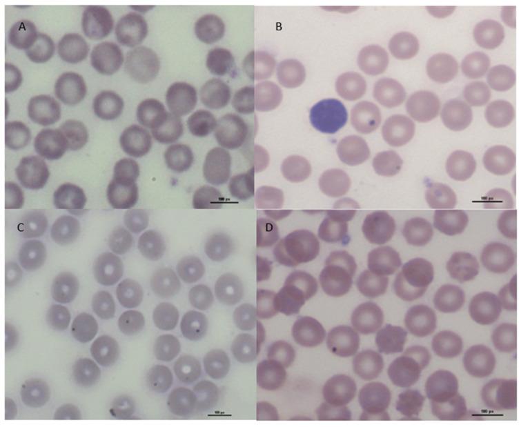
Nanocomposites are an emerging technology for ensuring food safety and quality. Their unique properties, attributed to nanoparticle presence, facilitate the development of sophisticated sensors and biosensors for detecting harmful substances, microbial growth, and environmental changes in food products. Smart and/or active food packaging development also benefits from the use of nanocomposites. This packaging, or portions of it, provide active protection for its contents and serve as sensors to promptly, simply, and safely identify any detrimental changes in stored food, without elaborate techniques or analyses. Films made from potato starch and chitosan were produced and quantum dots of zinc sulfide (ZnS) and cadmium sulfide (CdS)were synthesized in them for this study. The presence and dimensions of the QDs (quantum dots) were examined with scanning electron microscopy (SEM) and ultraviolet-visible (UV-VIS) spectroscopy. The study aimed to establish the toxicity profile of a starch-chitosan bionanocomposite integrated with ZnS and CdS quantum dots. Cytotoxic and genotoxic features were assessed through cytogenetic instability assessments, consisting of the alkaline comet assay, erythrocyte micronucleus assay, and peripheral blood cell viability analysis of a laboratory mouse model.

摘要

纳米复合材料是确保食品安全和质量的新兴技术。其独特的性能归因于纳米颗粒的存在,有助于开发用于检测有害物质、微生物生长和食品产品环境变化的复杂传感器和生物传感器。智能和/或活性食品包装的发展也受益于纳米复合材料的使用。这种包装或其部分为其内容物提供了主动保护,并作为传感器,能够快速、简单、安全地识别储存食品中的任何不利变化,而无需复杂的技术或分析。本研究中,在马铃薯淀粉和壳聚糖制成的薄膜中合成了硫化锌(ZnS)和硫化镉(CdS)量子点,并利用扫描电子显微镜(SEM)和紫外可见(UV-VIS)光谱对 QD(量子点)的存在和尺寸进行了检测。该研究旨在建立与 ZnS 和 CdS 量子点集成的淀粉-壳聚糖生物纳米复合材料的毒性概况。通过细胞遗传不稳定性评估,包括碱性彗星试验、红细胞微核试验和实验小鼠模型外周血细胞活力分析,评估了细胞毒性和遗传毒性特征。

https://cdn.ncbi.nlm.nih.gov/pmc/blobs/d7f4/10778649/5cfa0faa483b/ijms-25-00361-g001.jpg

文献AI研究员

20分钟写一篇综述,助力文献阅读效率提升50倍。

立即体验

用中文搜PubMed

大模型驱动的PubMed中文搜索引擎

马上搜索

文档翻译

学术文献翻译模型,支持多种主流文档格式。

立即体验