Suppr超能文献

U 纤维分析:用于自动定量 U 纤维和白质高信号的工具包。

U-fiber analysis: a toolbox for automated quantification of U-fibers and white matter hyperintensities.

作者信息

Zheng Gaoxing, Fei Beini, Ge Anyan, Liu Yuchen, Liu Ying, Yang Zidong, Chen Zhensen, Wang Xin, Wang He, Ding Jing

机构信息

Department of Neurology, Zhongshan Hospital, Fudan University, Shanghai, China.

Institute of Science and Technology for Brain-inspired Intelligence, Fudan University, Shanghai, China.

出版信息

Quant Imaging Med Surg. 2024 Jan 3;14(1):662-683. doi: 10.21037/qims-23-847. Epub 2024 Jan 2.

Abstract

BACKGROUND

Whether white matter hyperintensities (WMHs) involve U-fibers is of great value in understanding the different etiologies of cerebral white matter (WM) lesions. However, clinical practice currently relies only on the naked eye to determine whether WMHs are in the vicinity of U-fibers, and there is a lack of good neuroimaging tools to quantify WMHs and U-fibers.

METHODS

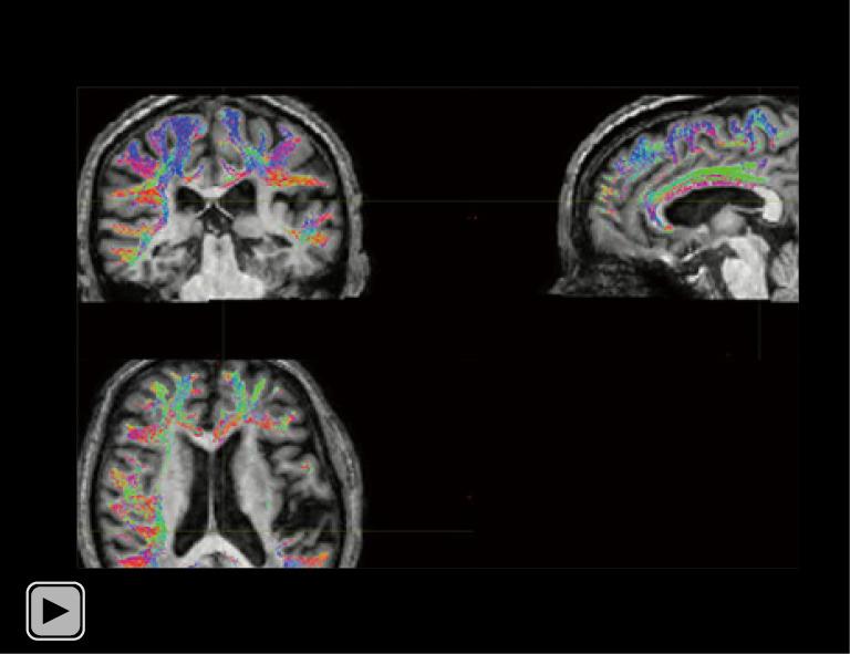
Here, we developed a multimodal neuroimaging toolbox named U-fiber analysis (UFA) that can automatically extract WMHs and quantitatively characterize the volume and number of WMHs in different brain regions. In addition, we proposed an anatomically constrained U-fiber tracking scheme and quantitatively characterized the microstructure diffusion properties, fiber length, and number of U-fibers in different brain regions to help clinicians to quantitatively determine whether WMHs in the proximal cortex disrupt the microstructure of U-fibers. To validate the utility of the UFA toolbox, we analyzed the neuroimaging data from 246 patients with cerebral small vessel disease (cSVD) enrolled at Zhongshan Hospital between March 2018 and November 2019 in a cross-sectional study.

RESULTS

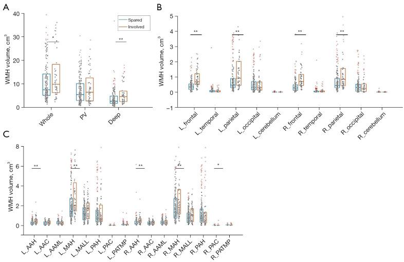
According to the manual judgment of the clinician, the patients with cSVD were divided into a WMHs involved U-fiber group (U-fiber-involved group, 51 cases) and WMHs not involved U-fiber group (U-fiber-spared group, 163 cases). There were no significant differences between the U-fiber-spared group and the U-fiber-involved group in terms of age (P=0.143), gender (P=0.462), education (P=0.151), Mini-Mental State Examination (MMSE) scores (P=0.151), and Montreal Cognitive Assessment (MoCA) scores (P=0.411). However, patients in the U-fiber-involved group had higher Fazekas scores (P<0.001) and significantly higher whole brain WMHs (P=0.046) and deep WMH volumes (P<0.001) compared to patients in the U-fiber-spared group. Moreover, the U-fiber-involved group had higher WMH volumes in the bilateral frontal [P(left) <0.001, P(right) <0.001] and parietal lobes [P(left) <0.001, P(right) <0.001]. On the other hand, patients in the U-fiber-involved group had higher mean diffusivity (MD) and axial diffusivity (AD) in the bilateral parietal [P(left, MD) =0.048, P(right, MD) =0.045, P(left, AD) =0.015, P(right, AD) =0.015] and right frontal-parietal regions [P(MD) =0.048, P(AD) =0.027], and had significantly reduced mean fiber length and number in the right parietal [P(length) =0.013, P(number) =0.028] and right frontal-parietal regions [P(length) =0.048] compared to patients in the U-fiber-spared group.

CONCLUSIONS

Our results suggest that WMHs in the proximal cortex may disrupt the microstructure of U-fibers. Our tool may provide new insights into the understanding of WM lesions of different etiologies in the brain.

摘要

背景

脑白质高信号(WMHs)是否累及U形纤维对于理解脑白质(WM)病变的不同病因具有重要价值。然而,目前临床实践仅依靠肉眼来判断WMHs是否位于U形纤维附近,并且缺乏良好的神经影像学工具来量化WMHs和U形纤维。

方法

在此,我们开发了一种名为U形纤维分析(UFA)的多模态神经影像学工具箱,它可以自动提取WMHs并定量表征不同脑区WMHs的体积和数量。此外,我们提出了一种解剖学约束的U形纤维追踪方案,并定量表征了不同脑区U形纤维的微观结构扩散特性、纤维长度和数量,以帮助临床医生定量确定皮质近端的WMHs是否破坏了U形纤维的微观结构。为了验证UFA工具箱的实用性,我们在一项横断面研究中分析了2018年3月至2019年11月在中山医院招募的246例脑小血管病(cSVD)患者的神经影像学数据。

结果

根据临床医生的人工判断,将cSVD患者分为WMHs累及U形纤维组(U形纤维累及组,51例)和WMHs未累及U形纤维组(U形纤维未累及组,163例)。U形纤维未累及组和U形纤维累及组在年龄(P = 0.143)、性别(P = 0.462)、教育程度(P = 0.151)、简易精神状态检查表(MMSE)评分(P = 0.151)和蒙特利尔认知评估(MoCA)评分(P = 0.411)方面无显著差异。然而,与U形纤维未累及组患者相比,U形纤维累及组患者的 Fazekas评分更高(P < 0.001),全脑WMHs显著更高(P = 0.046),深部WMH体积更大(P < 0.001)。此外,U形纤维累及组在双侧额叶[P(左侧)< 0.001,P(右侧)< 0.001]和顶叶[P(左侧)< 0.001,P(右侧)< 0.001]的WMH体积更高。另一方面,U形纤维累及组患者在双侧顶叶[P(左侧,平均扩散率)= 0.048,P(右侧,平均扩散率)= 0.045,P(左侧,轴向扩散率)= 0.015,P(右侧,轴向扩散率)= 0.015]和右侧额顶叶区域[P(平均扩散率)= 0.048,P(轴向扩散率)= 0.027]的平均扩散率(MD)和轴向扩散率(AD)更高,并且与U形纤维未累及组患者相比,右侧顶叶[P(长度)= 0.013,P(数量)= 0.028]和右侧额顶叶区域[P(长度)= 0.048]的平均纤维长度和数量显著减少。

结论

我们的结果表明,皮质近端的WMHs可能破坏U形纤维的微观结构。我们的工具可能为理解大脑中不同病因的WM病变提供新的见解。

https://cdn.ncbi.nlm.nih.gov/pmc/blobs/5e32/10784071/e5f9a277ef8a/qims-14-01-662-f1.jpg

文献AI研究员

20分钟写一篇综述,助力文献阅读效率提升50倍。

立即体验

用中文搜PubMed

大模型驱动的PubMed中文搜索引擎

马上搜索

文档翻译

学术文献翻译模型,支持多种主流文档格式。

立即体验