Suppr超能文献

人参皂苷F2通过改变肝脏X受体共调节因子的结合亲和力来抑制肝脏脂肪变性和炎症。

Ginsenoside F2 Restrains Hepatic Steatosis and Inflammation by Altering the Binding Affinity of Liver X Receptor Coregulators.

作者信息

Kim Kyurae, Kim Myung-Ho, Kang Ji In, Baek Jong-In, Jeon Byeong-Min, Kim Ho Min, Kim Sun-Chang, Jeong Won-Il

机构信息

Laboratory of Liver Research, Graduate School of Medical Science and Engineering, KAIST, Daejeon, Republic of Korea.

Department of Internal Korean Medicine, Woosuk University Medical Center, Jeonju, Republic of Korea.

出版信息

J Ginseng Res. 2024 Jan;48(1):89-97. doi: 10.1016/j.jgr.2023.10.001. Epub 2023 Oct 27.

Abstract

BACKGROUND

Ginsenoside F2 (GF2), the protopanaxadiol-type constituent in , has been reported to attenuate metabolic dysfunction-associated steatotic liver disease (MASLD). However, the mechanism of action is not fully understood. Here, this study investigates the molecular mechanism by which GF2 regulates MASLD progression through liver X receptor (LXR).

METHODS

To demonstrate the effect of GF2 on LXR activity, computational modeling of protein-ligand binding, Time-resolved fluorescence resonance energy transfer (TR-FRET) assay for LXR cofactor recruitment, and luciferase reporter assay were performed. LXR agonist T0901317 was used for LXR activation in hepatocytes and macrophages. MASLD was induced by high-fat diet (HFD) feeding with or without GF2 administration in WT and LXRα mice.

RESULTS

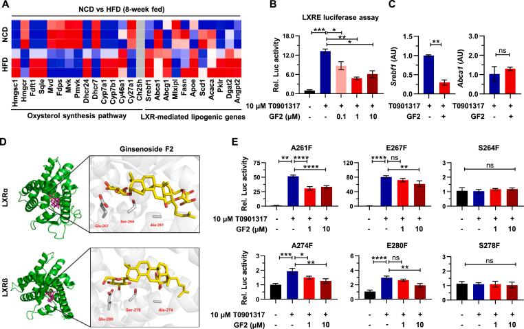
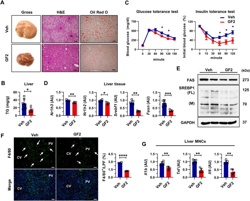
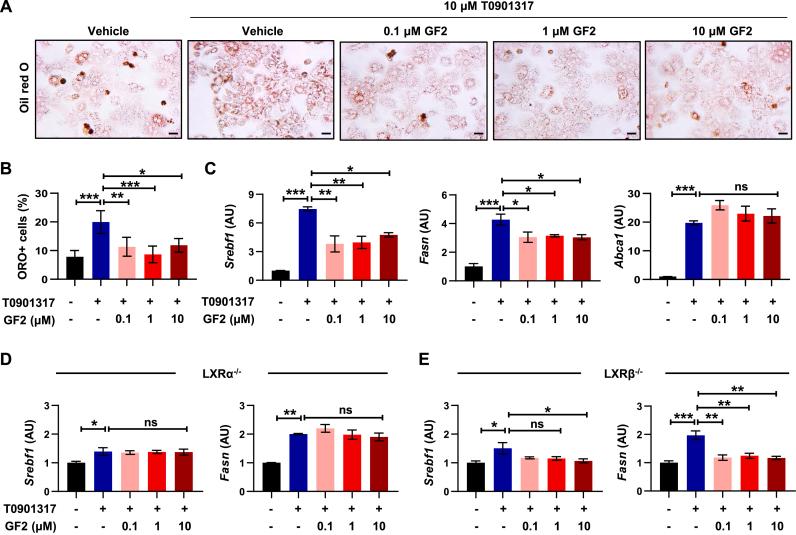
Computational modeling showed that GF2 had a high affinity with LXRα. LXRE-luciferase reporter assay with amino acid substitution at the predicted ligand binding site revealed that the S264 residue of LXRα was the crucial interaction site of GF2. TR-FRET assay demonstrated that GF2 suppressed LXRα activity by favoring the binding of corepressors to LXRα while inhibiting the accessibility of coactivators. , GF2 treatments reduced T0901317-induced fat accumulation and pro-inflammatory cytokine expression in hepatocytes and macrophages, respectively. Consistently, GF2 administration ameliorated hepatic steatohepatitis and improved glucose or insulin tolerance in WT but not in LXRα mice.

CONCLUSION

GF2 alters the binding affinities of LXRα coregulators, thereby interrupting hepatic steatosis and inflammation in macrophages. Therefore, we propose that GF2 might be a potential therapeutic agent for the intervention in patients with MASLD.

摘要

背景

人参皂苷F2(GF2)是人参中的原人参二醇型成分,据报道可减轻代谢功能障碍相关脂肪性肝病(MASLD)。然而,其作用机制尚未完全明确。在此,本研究探讨GF2通过肝脏X受体(LXR)调节MASLD进展的分子机制。

方法

为证明GF2对LXR活性的影响,进行了蛋白质-配体结合的计算建模、用于LXR辅因子募集的时间分辨荧光共振能量转移(TR-FRET)测定以及荧光素酶报告基因测定。LXR激动剂T0901317用于在肝细胞和巨噬细胞中激活LXR。在野生型(WT)和LXRα小鼠中,通过高脂饮食(HFD)喂养并给予或不给予GF2来诱导MASLD。

结果

计算建模表明GF2与LXRα具有高亲和力。在预测的配体结合位点进行氨基酸取代的LXRE-荧光素酶报告基因测定显示,LXRα的S264残基是GF2的关键相互作用位点。TR-FRET测定表明,GF2通过促进共抑制因子与LXRα的结合同时抑制共激活因子的可及性来抑制LXRα活性。此外,GF2处理分别减少了T0901317诱导的肝细胞和巨噬细胞中的脂肪积累和促炎细胞因子表达。一致地,给予GF2改善了野生型小鼠的肝脏脂肪性肝炎并改善了葡萄糖或胰岛素耐受性,但在LXRα小鼠中未观察到。

结论

GF2改变LXRα共调节因子的结合亲和力,从而中断巨噬细胞中的肝脏脂肪变性和炎症。因此,我们提出GF2可能是干预MASLD患者的潜在治疗药物。

https://cdn.ncbi.nlm.nih.gov/pmc/blobs/e3a9/10785242/051026293ec2/ga1.jpg

文献AI研究员

20分钟写一篇综述,助力文献阅读效率提升50倍。

立即体验

用中文搜PubMed

大模型驱动的PubMed中文搜索引擎

马上搜索

文档翻译

学术文献翻译模型,支持多种主流文档格式。

立即体验