Suppr超能文献

一名11岁女孩患III型胸膜肺母细胞瘤并浸润左心的罕见病例。

A rare case of type III pleuropulmonary blastoma infiltrating the left heart in an 11-year-old girl.

作者信息

Ndaumanu Ishak, Rantesalu Anthomina Maya, Laksmono Navy

机构信息

General Surgery Division, Department of Surgery, Faculty of Medicine, Universitas Padjadjaran, Hasan Sadikin General Hospital Bandung, Indonesia.

Cardiothoracic Surgery Division, Department of Surgery, Faculty of Medicine, Universitas Padjadjaran, Hasan Sadikin General Hospital Bandung, Indonesia.

出版信息

Int J Surg Case Rep. 2024 Feb;115:109237. doi: 10.1016/j.ijscr.2024.109237. Epub 2024 Jan 10.

Abstract

INTRODUCTION AND IMPORTANCE

Pleuropulmonary blastoma (PPB) is a rare primary malignant tumor in the chest that mainly occurs in children <6 years of age. Vascular extensions are even rarer, approximately 3 % of types II and III PPB, and have fatal complications. The patients of reported cases who had tumor extension to the heart are younger than three years old, whereas in this case, we reported an 11-year-old girl who was of school age. This case report aims to describe a rare case of a type III Pleuropulmonary Blastoma infiltrating the left heart of a school-age girl.

CASE PRESENTATION

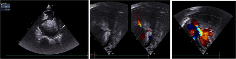
An 11-year-old girl presented at an emergency department with two months of progressive dyspnea with malnutrition. A fused mass was found in LA on an echocardiogram along with moderate MR, severe MS, and mild pericardial effusion. CT scan showed a massive pleural effusion with a solid mass in the left lung obstructing the left bronchial tree, accompanied by the expansion of the tumor mass into the left pulmonary vein and LA.

CLINICAL DISCUSSION

Total removal of the tumor was performed, aided by cardiopulmonary bypass. Type III PPB was confirmed histopathologically.

CONCLUSION

PPB is a rare, aggressive tumor that has three types. Various manifestations can occur in line with the presence of metastases. The treatment consists of aggressive surgery and chemotherapy. Because of its poor prognosis, prompt recognition of the involvement of the cardiac chamber and great vessels in type III PPB should be considered before surgery.

摘要

引言与重要性

胸膜肺母细胞瘤(PPB)是一种罕见的胸部原发性恶性肿瘤,主要发生于6岁以下儿童。血管受累更为罕见,约占II型和III型PPB的3%,并可导致致命并发症。既往报道的肿瘤侵犯心脏的患者年龄均小于3岁,而在本病例中,我们报告了一名11岁的学龄女童。本病例报告旨在描述一例罕见的III型胸膜肺母细胞瘤浸润一名学龄女童左心的病例。

病例介绍

一名11岁女童因进行性呼吸困难2个月伴营养不良就诊于急诊科。超声心动图显示左心房有一个融合性肿块,伴有中度二尖瓣反流、重度二尖瓣狭窄和轻度心包积液。CT扫描显示大量胸腔积液,左肺有一个实性肿块阻塞左支气管树,同时肿瘤肿块延伸至左肺静脉和左心房。

临床讨论

在体外循环辅助下进行了肿瘤全切术。组织病理学确诊为III型PPB。

结论

PPB是一种罕见的侵袭性肿瘤,有三种类型。根据转移情况可出现各种表现。治疗包括积极的手术和化疗。由于其预后较差,术前应考虑及时识别III型PPB中心腔和大血管的受累情况。

https://cdn.ncbi.nlm.nih.gov/pmc/blobs/b9ea/10803937/cf2714b6c5f7/gr1.jpg

文献AI研究员

20分钟写一篇综述,助力文献阅读效率提升50倍。

立即体验

用中文搜PubMed

大模型驱动的PubMed中文搜索引擎

马上搜索

文档翻译

学术文献翻译模型,支持多种主流文档格式。

立即体验