Suppr超能文献

脂肪问题:通过计算机断层扫描和内脏脂肪含量探究癌症风险

Fat Matters: Exploring Cancer Risk through the Lens of Computed Tomography and Visceral Adiposity.

作者信息

Greco Federico, Piccolo Claudia Lucia, D'Andrea Valerio, Scardapane Arnaldo, Beomonte Zobel Bruno, Mallio Carlo Augusto

机构信息

Department of Radiology, Cittadella della Salute Azienda Sanitaria Locale di Lecce, Piazza Filippo Bottazzi 2, 73100 Lecce, Italy.

Research Unit of Radiology, Department of Medicine and Surgery, Università Campus Bio-Medico di Roma, Via Alvaro del Portillo 21, 00128 Roma, Italy.

出版信息

J Clin Med. 2024 Jan 14;13(2):453. doi: 10.3390/jcm13020453.

Abstract

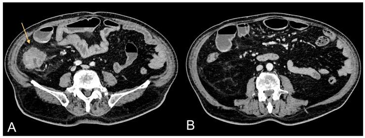
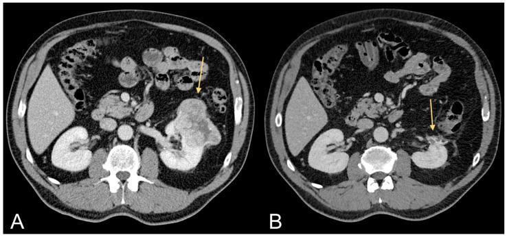
Obesity is an established risk factor for cancer. However, conventional measures like body mass index lack precision in assessing specific tissue quantities, particularly of the two primary abdominal fat compartments, visceral adipose tissue (VAT) and subcutaneous adipose tissue (SAT). Computed tomography (CT) stands as the gold standard for precisely quantifying diverse tissue types. VAT, distinguished by heightened hormonal and metabolic activity, plays a pivotal role in obesity-related tumor development. Excessive VAT is linked to aberrant secretion of adipokines, proinflammatory cytokines, and growth factors, fostering the carcinogenesis of obesity-related tumors. Accurate quantification of abdominal fat compartments is crucial for understanding VAT as an oncological risk factor. The purpose of the present research is to elucidate the role of CT, performed for staging purposes, in assessing VAT (quantity and distribution) as a critical factor in the oncogenesis of obesity-related tumors. In the field of precision medicine, this work takes on considerable importance, as quantifying VAT in oncological patients becomes fundamental in understanding the influence of VAT on cancer development-the potential "phenotypic expression" of excessive VAT accumulation. Previous studies analyzed in this research showed that VAT is a risk factor for clear cell renal cell carcinoma, non-clear cell renal cell carcinoma, prostate cancer, and hepatocarcinoma recurrence. Further studies will need to quantify VAT in other oncological diseases with specific mutations or gene expressions, in order to investigate the relationship of VAT with tumor genomics.

摘要

肥胖是一种公认的癌症风险因素。然而,诸如体重指数等传统测量方法在评估特定组织量时缺乏精确性,尤其是对于两个主要的腹部脂肪腔室,即内脏脂肪组织(VAT)和皮下脂肪组织(SAT)。计算机断层扫描(CT)是精确量化各种组织类型的金标准。VAT以其较高的激素和代谢活性为特征,在肥胖相关肿瘤的发展中起关键作用。过多的VAT与脂肪因子、促炎细胞因子和生长因子的异常分泌有关,促进了肥胖相关肿瘤的致癌作用。准确量化腹部脂肪腔室对于理解VAT作为肿瘤学风险因素至关重要。本研究的目的是阐明用于分期目的的CT在评估VAT(数量和分布)作为肥胖相关肿瘤发生的关键因素方面的作用。在精准医学领域,这项工作具有相当重要的意义,因为在肿瘤患者中量化VAT对于理解VAT对癌症发展的影响——过多VAT积累的潜在“表型表达”变得至关重要。本研究分析的先前研究表明,VAT是透明细胞肾细胞癌、非透明细胞肾细胞癌、前列腺癌和肝癌复发的风险因素。进一步的研究需要在具有特定突变或基因表达的其他肿瘤疾病中量化VAT,以便研究VAT与肿瘤基因组学的关系。

https://cdn.ncbi.nlm.nih.gov/pmc/blobs/e4aa/10817009/a1a105061ad7/jcm-13-00453-g001.jpg

文献AI研究员

20分钟写一篇综述,助力文献阅读效率提升50倍。

立即体验

用中文搜PubMed

大模型驱动的PubMed中文搜索引擎

马上搜索

文档翻译

学术文献翻译模型,支持多种主流文档格式。

立即体验