Suppr超能文献

基于两家中国医疗中心的数据,针对成人Xp11.2易位/TFE3基因融合肾细胞癌的治疗策略及预测模型

Therapeutic strategies and predictive models for Xp11.2 translocation/TFE3 gene fusion renal cell carcinoma in adults based on data of two Chinese medical centers.

作者信息

Yang Yunkai, Zhao Changfeng, Wang Zhida, Liu Feng, Zhao Ming, Yang Huiwen, Chen Jun, Chen Xuejing, Shi Min, Jiang Dixing, Luo Xiaoting, Duan Yue, Bai Yuchen

机构信息

Department of Urology, Urology and Nephrology Center, Zhejiang Provincial People’s Hospital, Hangzhou Medical College, Hangzhou, Zhejiang 310011, China.

Graduate School of Bengbu Medical College, Bengbu, Anhui 233030, China.

出版信息

Aging (Albany NY). 2024 Jan 22;16(2):1696-1711. doi: 10.18632/aging.205452.

Abstract

OBJECTIVE

This study aims to establish an effective predictive model for predicting Xp11.2 translocation/TFE3 gene fusion renal cell carcinoma (TFE3-RCC) and develop optimal therapeutic strategies.

METHODS

Data from 4961 patients diagnosed with renal cell carcinoma at two medical centers in China were retrospectively analyzed. A cohort of 1571 patients from Zhejiang Provincial People's Hospital (Ra cohort) was selected to construct the model. Another cohort of 1124 patients from the Second Affiliated Hospital of Zhejiang Chinese Medical University was used for external validation (the Ha cohort). All patients with TFE3-RCC in both cohorts were included in the Ta cohort for the prognostic analysis. Univariate and multivariate binary logistic regression analyses were performed to identify independent predictors of the predictive nomogram. The apparent performance of the model was validated. Decision curve analysis was also performed to assess the clinical utility of the developed model. Factors associated with progression and prognosis in the Ta cohort were analyzed using the log-rank method, and Cox regression analysis and Kaplan-Meier survival curves were used to describe the effects of factors on prognosis and progression.

RESULTS

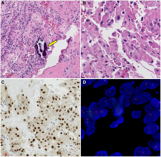
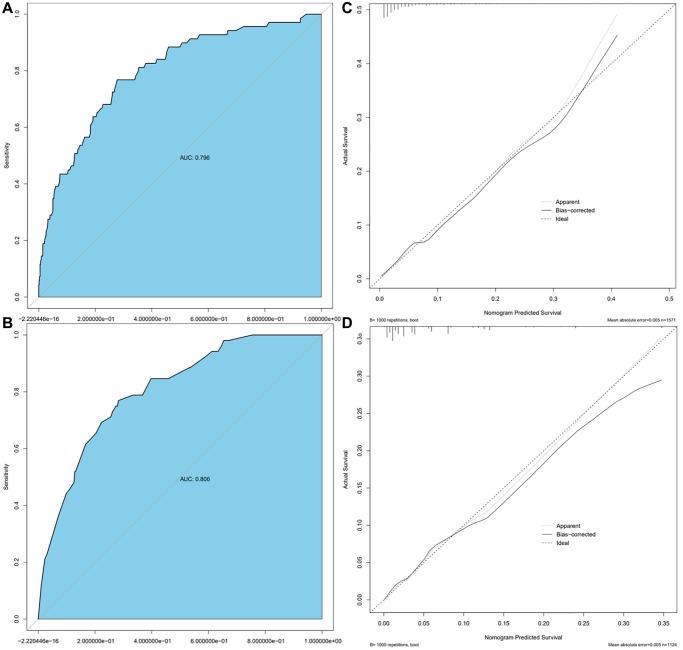
Univariate and multivariate logistic regression analyses demonstrated that age, sex, BMI, smoking, eosinophils, and LDL were independent predictors of TFE3-RCC. Therefore, a predictive nomogram for TFE3-RCC, which had good discriminatory power (AUC = 0.796), was constructed. External validation (AUC = 0.806) also revealed good predictive ability. The calibration curves displayed good consistency between the predicted and observed incidences of TFE3-RCC. Invasion of regional lymph nodes, tyrosine kinase inhibitors, and surgical methods were independent factors associated with progression. Tyrosine kinase inhibitors are independent prognostic factors.

CONCLUSION

This study not only proposed a high-precision clinical prediction model composed of various variables for the early diagnosis of Xp11.2 translocation/TFE3 gene fusion renal cell carcinoma but also optimized therapeutic strategies through prognostic analysis.

摘要

目的

本研究旨在建立一种有效的预测模型,用于预测Xp11.2易位/TFE3基因融合肾细胞癌(TFE3-RCC),并制定最佳治疗策略。

方法

回顾性分析中国两家医疗中心4961例诊断为肾细胞癌患者的数据。选取浙江省人民医院的1571例患者队列(Ra队列)构建模型。另一个队列是来自浙江中医药大学附属第二医院的1124例患者,用于外部验证(Ha队列)。两个队列中所有TFE3-RCC患者均纳入Ta队列进行预后分析。进行单因素和多因素二元逻辑回归分析,以确定预测列线图的独立预测因素。验证模型的表观性能。还进行决策曲线分析,以评估所开发模型的临床实用性。使用对数秩检验分析Ta队列中与进展和预后相关的因素,并使用Cox回归分析和Kaplan-Meier生存曲线描述各因素对预后和进展的影响。

结果

单因素和多因素逻辑回归分析表明,年龄、性别、BMI、吸烟、嗜酸性粒细胞和低密度脂蛋白是TFE3-RCC的独立预测因素。因此,构建了具有良好鉴别能力(AUC = 0.796)的TFE3-RCC预测列线图。外部验证(AUC = 0.806)也显示出良好的预测能力。校准曲线显示TFE3-RCC预测发病率与观察发病率之间具有良好的一致性。区域淋巴结侵犯、酪氨酸激酶抑制剂和手术方式是与进展相关的独立因素。酪氨酸激酶抑制剂是独立的预后因素。

结论

本研究不仅提出了一种由多种变量组成的高精度临床预测模型,用于早期诊断Xp11.2易位/TFE3基因融合肾细胞癌,还通过预后分析优化了治疗策略。

https://cdn.ncbi.nlm.nih.gov/pmc/blobs/d814/10866448/d79c0fe473b4/aging-16-205452-g001.jpg

文献AI研究员

20分钟写一篇综述,助力文献阅读效率提升50倍。

立即体验

用中文搜PubMed

大模型驱动的PubMed中文搜索引擎

马上搜索

文档翻译

学术文献翻译模型,支持多种主流文档格式。

立即体验