Suppr超能文献

先天性脊柱畸形的分子图谱:最新发现与未来方向。

Molecular landscape of congenital vertebral malformations: recent discoveries and future directions.

机构信息

Department of Medical Genetics, Poznan University of Medical Sciences, Rokietnicka 8, 60-806, Poznan, Poland.

Centers for Medical Genetics GENESIS, Dąbrowskiego 77A, 60-529, Poznan, Poland.

出版信息

Orphanet J Rare Dis. 2024 Jan 30;19(1):32. doi: 10.1186/s13023-024-03040-0.

Abstract

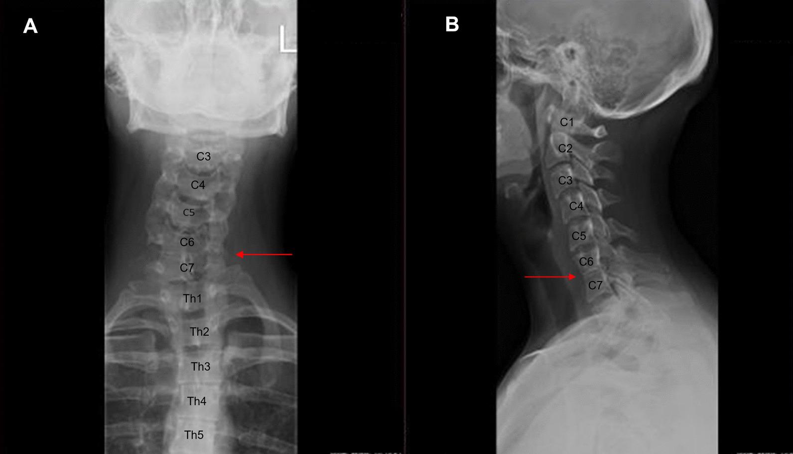
Vertebral malformations (VMs) pose a significant global health problem, causing chronic pain and disability. Vertebral defects occur as isolated conditions or within the spectrum of various congenital disorders, such as Klippel-Feil syndrome, congenital scoliosis, spondylocostal dysostosis, sacral agenesis, and neural tube defects. Although both genetic abnormalities and environmental factors can contribute to abnormal vertebral development, our knowledge on molecular mechanisms of numerous VMs is still limited. Furthermore, there is a lack of resource that consolidates the current knowledge in this field. In this pioneering review, we provide a comprehensive analysis of the latest research on the molecular basis of VMs and the association of the VMs-related causative genes with bone developmental signaling pathways. Our study identifies 118 genes linked to VMs, with 98 genes involved in biological pathways crucial for the formation of the vertebral column. Overall, the review summarizes the current knowledge on VM genetics, and provides new insights into potential involvement of biological pathways in VM pathogenesis. We also present an overview of available data regarding the role of epigenetic and environmental factors in VMs. We identify areas where knowledge is lacking, such as precise molecular mechanisms in which specific genes contribute to the development of VMs. Finally, we propose future research avenues that could address knowledge gaps.

摘要

脊柱畸形(VMs)是一个全球性的健康问题,会导致慢性疼痛和残疾。脊柱缺陷可以是孤立的情况,也可以是各种先天性疾病的谱系中的一部分,如 Klippel-Feil 综合征、先天性脊柱侧凸、脊柱肋骨骺发育不良、骶骨发育不全和神经管缺陷。尽管遗传异常和环境因素都可能导致异常的脊柱发育,但我们对许多 VMs 的分子机制的了解仍然有限。此外,缺乏整合该领域现有知识的资源。在这篇开创性的综述中,我们对 VMs 的分子基础以及与 VMs 相关的致病基因与骨发育信号通路的关联的最新研究进行了全面分析。我们的研究确定了 118 个与 VMs 相关的基因,其中 98 个基因参与了形成脊柱的关键生物途径。总的来说,该综述总结了 VMs 遗传学的现有知识,并为生物途径在 VMs 发病机制中的潜在作用提供了新的见解。我们还概述了关于表观遗传和环境因素在 VMs 中的作用的现有数据。我们确定了知识匮乏的领域,例如特定基因在 VMs 发育中的作用的精确分子机制。最后,我们提出了可能解决知识空白的未来研究方向。

https://cdn.ncbi.nlm.nih.gov/pmc/blobs/1a58/10829358/11b53b67a8b4/13023_2024_3040_Fig1_HTML.jpg

文献AI研究员

20分钟写一篇综述,助力文献阅读效率提升50倍。

立即体验

用中文搜PubMed

大模型驱动的PubMed中文搜索引擎

马上搜索

文档翻译

学术文献翻译模型,支持多种主流文档格式。

立即体验