Suppr超能文献

绝经前女性妊娠期糖尿病与椎体骨髓质子密度脂肪分数和椎旁肌肉的相关性。

Associations of gestational diabetes and proton density fat fraction of vertebral bone marrow and paraspinal musculature in premenopausal women.

机构信息

Medizinische Klinik und Poliklinik IV, Diabetes Zentrum - Campus Innenstadt, LMU Klinikum, Ludwig-Maximilians-Universität München, Munich, Germany.

Institute for Medical Information Processing, Biometry and Epidemiology (IBE), Faculty of Medicine, LMU Munich, Pettenkofer School of Public Health, Munich, Germany.

出版信息

Front Endocrinol (Lausanne). 2024 Jan 16;14:1303126. doi: 10.3389/fendo.2023.1303126. eCollection 2023.

Abstract

BACKGROUND AND OBJECTIVE

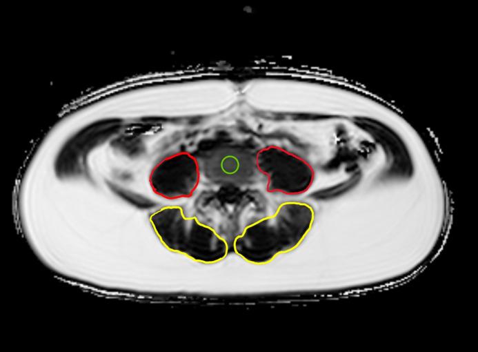
Fat content in bones and muscles, quantified by magnetic resonance imaging (MRI) as a proton density fat fraction (PDFF) value, is an emerging non-invasive biomarker. PDFF has been proposed to indicate bone and metabolic health among postmenopausal women. Premenopausal women with a history of gestational diabetes (GDM) carry an increased risk of developing type 2 diabetes and an increased risk of fractures. However, no studies have investigated the associations between a history of GDM and PDFF of bone or of paraspinal musculature (PSM), composed of autochthonous muscle (AM) and psoas muscle, which are responsible for moving and stabilizing the spine. This study aims to investigate whether PDFF of vertebral bone marrow and of PSM are associated with a history of GDM in premenopausal women.

METHODS

A total of 37 women (mean age 36.3 ± 3.8 years) who were 6 to 15 months postpartum with (n=19) and without (n=18) a history of GDM underwent whole-body 3T MRI, including a chemical shift encoding-based water-fat separation. The PDFF maps were calculated for the vertebral bodies and PSM. The cross-sectional area (CSA) of PSM was obtained. Associations between a history of GDM and PDFF were assessed using multivariable linear and logistic regression models.

RESULTS

The PDFF of the vertebral bodies was significantly higher in women with a history of GDM (GDM group) than in women without (thoracic: median 41.55 (interquartile range 32.21-49.48)% vs. 31.75 (30.03-34.97)%; p=0.02, lumbar: 47.84 (39.19-57.58)% vs. 36.93 (33.36-41.31)%; p=0.02). The results remained significant after adjustment for age and body mass index (BMI) (p=0.01-0.02). The receiver operating characteristic curves showed optimal thoracic and lumbar vertebral PDFF cutoffs at 38.10% and 44.18%, respectively, to differentiate GDM (AUC 0.72 and 0.73, respectively, sensitivity 0.58, specificity 0.89). The PDFF of the AM was significantly higher in the GDM group (12.99 (12.18-15.90)% vs. 10.83 (9.39-14.71)%; p=0.04) without adjustments, while the CSA was similar between the groups (p=0.34).

CONCLUSION

A history of GDM is significantly associated with a higher PDFF of the vertebral bone marrow, independent of age and BMI. This statistical association between GDM and increased PDFF highlights vertebral bone marrow PDFF as a potential biomarker for the assessment of bone health in premenopausal women at risk of diabetes.

摘要

背景与目的

磁共振成像(MRI)定量检测的骨和肌肉脂肪含量(质子密度脂肪分数,PDFF)是一种新兴的非侵入性生物标志物。PDFF 已被提出可用于评估绝经后妇女的骨和代谢健康。患有妊娠期糖尿病(GDM)病史的绝经前妇女发生 2 型糖尿病的风险增加,且发生骨折的风险增加。然而,目前尚没有研究探讨 GDM 病史与骨或脊柱旁肌肉(PSM)的 PDFF 之间的关系,PSM 由源自肌肉(AM)和腰大肌组成,负责脊柱的运动和稳定。本研究旨在探讨 PDFF 与椎体骨髓和 PSM 是否与绝经前妇女的 GDM 病史相关。

方法

共有 37 名产后 6-15 个月的妇女(平均年龄 36.3±3.8 岁)参与了本研究,其中 19 名患有 GDM(GDM 组),18 名无 GDM(对照组)。所有参与者均接受了全身 3T MRI 检查,包括基于化学位移编码的水脂分离。计算椎体和 PSM 的 PDFF 图。获取 PSM 的横截面积(CSA)。使用多变量线性和逻辑回归模型评估 GDM 病史与 PDFF 之间的关系。

结果

与无 GDM 病史的妇女相比,患有 GDM 病史的妇女的椎体 PDFF 明显更高(GDM 组:胸椎:中位数 41.55%(四分位距 32.21-49.48%)vs. 31.75%(30.03-34.97%);p=0.02,腰椎:中位数 47.84%(39.19-57.58%)vs. 36.93%(33.36-41.31%);p=0.02)。校正年龄和体重指数(BMI)后,结果仍然具有统计学意义(p=0.01-0.02)。受试者工作特征曲线显示,区分 GDM 的最佳胸椎和腰椎 PDFF 截断值分别为 38.10%和 44.18%(AUC 分别为 0.72 和 0.73,敏感性分别为 0.58,特异性分别为 0.89)。GDM 组的 AM PDFF 明显高于对照组(12.99%(12.18-15.90%)vs. 10.83%(9.39-14.71%);p=0.04),而两组之间的 CSA 相似(p=0.34)。

结论

GDM 病史与椎体骨髓 PDFF 升高显著相关,独立于年龄和 BMI。GDM 与 PDFF 升高之间的这种统计学关联突出了椎体骨髓 PDFF 作为评估有糖尿病风险的绝经前妇女骨健康的潜在生物标志物的作用。

https://cdn.ncbi.nlm.nih.gov/pmc/blobs/a067/10824991/ec829e42c338/fendo-14-1303126-g001.jpg

文献AI研究员

20分钟写一篇综述,助力文献阅读效率提升50倍。

立即体验

用中文搜PubMed

大模型驱动的PubMed中文搜索引擎

马上搜索

文档翻译

学术文献翻译模型,支持多种主流文档格式。

立即体验