Suppr超能文献

在雄性大鼠中 Ras 相关 GTP 结合蛋白的组织特异性表达差异。

Tissue-specific expression differences in Ras-related GTP-binding proteins in male rats.

机构信息

Department of Cellular and Molecular Physiology, Penn State College of Medicine, Hershey, Pennsylvania, USA.

出版信息

Physiol Rep. 2024 Feb;12(3):e15928. doi: 10.14814/phy2.15928.

Abstract

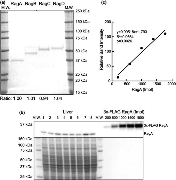
The protein kinase Mechanistic Target of Rapamycin (mTOR) in Complex 1 (mTORC1) is regulated in part by the Ras-related GTP-binding proteins (Rag GTPases). Rag GTPases form a heterodimeric complex consisting of either RagA or RagB associated with either RagC or RagD and act to localize mTORC1 to the lysosomal membrane. Until recently, RagA and RagB were thought to be functionally redundant, as were RagC and RagD. However, recent research suggests that the various isoforms differentially activate mTORC1. Here, the mRNA expression and protein abundance of the Rag GTPases was compared across male rat skeletal muscle, heart, liver, kidney, and brain. Whereas mRNA expression of RagA was higher than RagB in nearly all tissues studied, RagB protein abundance was higher than RagA in all tissues besides skeletal muscle. RagC mRNA expression was more abundant or equal to RagD mRNA, and RagD protein was more abundant than RagC protein in all tissues. Moreover, the proportion of RagB in the short isoform was greater than the long in liver, whereas the opposite was true in brain. These results serve to further elucidate Rag GTPase expression and offer potential explanations for the differential responses to amino acids that are observed in different tissues.

摘要

雷帕霉素靶蛋白(mTOR)激酶复合物 1(mTORC1)的一部分受到 Ras 相关 GTP 结合蛋白(Rag GTPases)的调节。Rag GTPases 形成异二聚体复合物,由 RagA 或 RagB 与 RagC 或 RagD 相关联,作用是将 mTORC1 定位到溶酶体膜上。直到最近,RagA 和 RagB 被认为在功能上是冗余的,RagC 和 RagD 也是如此。然而,最近的研究表明,各种同工型差异激活 mTORC1。在这里,比较了雄性大鼠骨骼肌、心脏、肝脏、肾脏和大脑中 Rag GTPases 的 mRNA 表达和蛋白丰度。尽管 RagA 的 mRNA 表达在几乎所有研究的组织中都高于 RagB,但 RagB 蛋白丰度在除骨骼肌以外的所有组织中都高于 RagA。RagC 的 mRNA 表达比 RagD 丰富或相等,而 RagD 蛋白在所有组织中的丰度都高于 RagC。此外,肝脏中 RagB 的短同工型比例大于长同工型,而在大脑中则相反。这些结果进一步阐明了 Rag GTPase 的表达,并为不同组织中观察到的对氨基酸的不同反应提供了潜在的解释。

https://cdn.ncbi.nlm.nih.gov/pmc/blobs/6289/10830385/612934cbee9f/PHY2-12-e15928-g003.jpg

文献AI研究员

20分钟写一篇综述,助力文献阅读效率提升50倍。

立即体验

用中文搜PubMed

大模型驱动的PubMed中文搜索引擎

马上搜索

文档翻译

学术文献翻译模型,支持多种主流文档格式。

立即体验