Suppr超能文献

GPIbα CAAR T 细胞像特洛伊木马一样发挥作用,以消除自身反应性 B 细胞来治疗免疫性血小板减少症。

GPIbα CAAR T cells function like a Trojan horse to eliminate autoreactive B cells to treat immune thrombocytopenia.

机构信息

Institute of Hematology, Union Hospital, Tongji Medical College, Huazhong University of Science and Technology, No. 1277 Jiefang Avenue, Wuhan 430022, Hubei, China; Hubei Clinical Medical Center of Cell Therapy for Neoplastic Disease, Wuhan,430022.

Department of Biochemistry and Molecular Cell Biology, Shanghai Jiao Tong University School of Medicine, 280 South Chongqing Rd, Shanghai 200025.

出版信息

Haematologica. 2024 Jul 1;109(7):2256-2270. doi: 10.3324/haematol.2023.283874.

Abstract

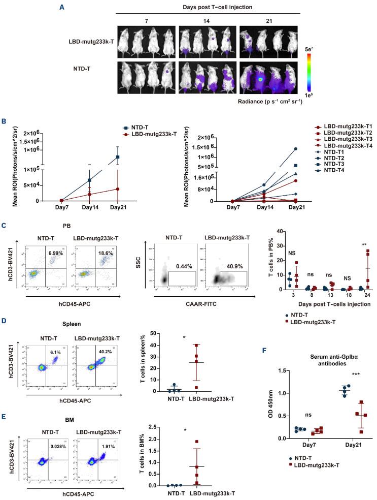
Breakthrough treatment for refractory and relapsed immune thrombocytopenia (ITP) patients is urgently needed. Autoantibody- mediated platelet clearance and megakaryocyte dysfunction are important pathogenic mediators of ITP. Glycoprotein (GP) Ibα is a significant autoantigen found in ITP patients and is associated with poor response to standard immunosuppressive treatments. Here, we engineered human T cells to express a chimeric autoantibody receptor (CAAR) with GPIbα constructed into the ligand-binding domain fused to the CD8 transmembrane domain and CD3ζ-4-1BB signaling domains. We performed cytotoxicity assays to assess GPIbα CAAR T-cell selective cytolysis of cells expressing anti-GPIbα B-cell receptors in vitro. Furthermore, we demonstrated the potential of GPIbα CAAR T cells to persist and precisely eliminate GPIbα-specific B cells in vivo. In summary, we present a proof of concept for CAAR T-cell therapy to eradicate autoimmune B cells while sparing healthy B cells with GPIbα CAAR T cells that function like a Trojan horse. GPIbα CAAR T-cell therapy is a promising treatment for refractory and relapsed ITP patients.

摘要

目前迫切需要为难治性和复发性免疫性血小板减少症 (ITP) 患者提供突破性治疗。自身抗体介导的血小板清除和巨核细胞功能障碍是 ITP 的重要发病机制。糖蛋白 (GP) Ibα 是 ITP 患者中发现的一种重要自身抗原,与对标准免疫抑制治疗的反应不佳有关。在这里,我们设计了人类 T 细胞来表达嵌合自身抗体受体 (CAAR),其中 GPIbα 构建到与 CD8 跨膜结构域和 CD3ζ-4-1BB 信号结构域融合的配体结合结构域中。我们进行了细胞毒性测定,以评估体外表达抗 GPIbα B 细胞受体的细胞中 GPIbα CAAR T 细胞的选择性细胞溶解作用。此外,我们证明了 GPIbα CAAR T 细胞在体内持续存在并精确消除 GPIbα 特异性 B 细胞的潜力。总之,我们提出了一个概念验证,即 CAAR T 细胞疗法可以消除自身免疫性 B 细胞,同时保留 GPIbα CAAR T 细胞,这些细胞像特洛伊木马一样发挥作用,不会损伤健康的 B 细胞。GPIbα CAAR T 细胞疗法是治疗难治性和复发性 ITP 患者的有前途的治疗方法。

https://cdn.ncbi.nlm.nih.gov/pmc/blobs/ba67/11215394/4cf89e0ad9b2/1092256.fig1.jpg

文献AI研究员

20分钟写一篇综述,助力文献阅读效率提升50倍。

立即体验

用中文搜PubMed

大模型驱动的PubMed中文搜索引擎

马上搜索

文档翻译

学术文献翻译模型,支持多种主流文档格式。

立即体验