Suppr超能文献

警惕罕见情况:自身免疫性溶血性贫血与噬血细胞性淋巴组织细胞增生症合并内脏利什曼病的罕见关联:一例报告及文献复习

Suspect the Unexpected: A Rare Association of Autoimmune Hemolytic Anemia and Hemophagocytic Lymphohistiocytosis with Visceral Leishmaniasis: A Case Report and Review of Literature.

作者信息

Elwadhi Aman, Kc Neha, Joshi Kamal, Charan G Krishna

机构信息

Department of Pediatrics, All India Institute of Medical Sciences, Rishikesh, Uttarakhand, India.

出版信息

EJIFCC. 2023 Dec 21;34(4):330-333. eCollection 2023 Dec.

Abstract

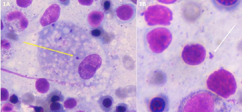
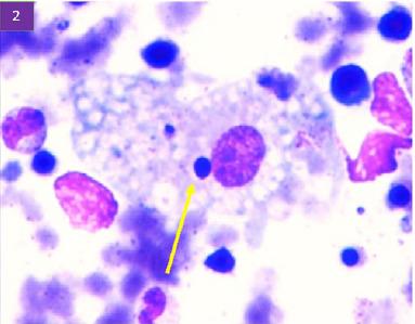
Visceral leishmaniasis is a common tropical infection presenting with a myriad of hematological abnormalities. We report an unusual case of an 11-year-old girl suffering from a febrile illness with hepatosplenomegaly and anemia. Laboratory findings included pancytopenia and hyperbilirubinemia. The leishmania antigen rK39 was positive and bone marrow examination revealed hemophagocytosis and amastigote forms of Leishmania donovani. Direct Coombs' test was positive (warm type, IgG) and LDH was elevated. Tests for other infections were negative. A diagnosis of visceral leishmaniasis with autoimmune hemolytic anemia (warm antibody type, IgG) with hemophagocytic lymphohistiocytosis was made. Patient showed response with anti-leishmanial treatment with improvement in clinical condition.

摘要

内脏利什曼病是一种常见的热带感染病,伴有多种血液学异常表现。我们报告一例罕见病例,一名11岁女孩患有发热性疾病,伴有肝脾肿大和贫血。实验室检查结果包括全血细胞减少和高胆红素血症。利什曼原虫抗原rK39呈阳性,骨髓检查发现噬血细胞现象和杜氏利什曼原虫无鞭毛体形式。直接抗人球蛋白试验呈阳性(温抗体型,IgG),乳酸脱氢酶升高。其他感染检测均为阴性。诊断为内脏利什曼病合并自身免疫性溶血性贫血(温抗体型,IgG)伴噬血细胞性淋巴组织细胞增生症。患者接受抗利什曼原虫治疗后病情好转。

https://cdn.ncbi.nlm.nih.gov/pmc/blobs/e4a6/10828534/1acb17b00b92/ejifcc-34-330-g001.jpg

文献AI研究员

20分钟写一篇综述,助力文献阅读效率提升50倍。

立即体验

用中文搜PubMed

大模型驱动的PubMed中文搜索引擎

马上搜索

文档翻译

学术文献翻译模型,支持多种主流文档格式。

立即体验