Suppr超能文献

小鼠临床前肿瘤微环境的可调谐PhenoCycler成像

Tunable PhenoCycler imaging of the murine pre-clinical tumour microenvironments.

作者信息

Abraham Madelyn J, Goncalves Christophe, McCallum Paige, Gupta Vrinda, Preston Samuel E J, Huang Fan, Chou Hsiang, Gagnon Natascha, Johnson Nathalie A, Miller Wilson H, Mann Koren K, Del Rincon Sonia V

机构信息

Lady Davis Institute, Jewish General Hospital, Montreal, QC, Canada.

Division of Experimental Medicine, McGill University, Montreal, QC, Canada.

出版信息

Cell Biosci. 2024 Feb 4;14(1):19. doi: 10.1186/s13578-024-01199-4.

Abstract

BACKGROUND

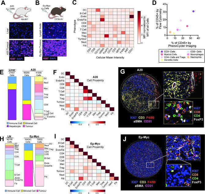
The tumour microenvironment (TME) consists of tumour-supportive immune cells, endothelial cells, and fibroblasts. PhenoCycler, a high-plex single cell spatial biology imaging platform, is used to characterize the complexity of the TME. Researchers worldwide harvest and bank tissues from mouse models which are employed to model a plethora of human disease. With the explosion of interest in spatial biology, these panoplies of archival tissues provide a valuable resource to answer new questions. Here, we describe our protocols for developing tunable PhenoCycler multiplexed imaging panels and describe our open-source data analysis pipeline. Using these protocols, we used PhenoCycler to spatially resolve the TME of 8 routinely employed pre-clinical models of lymphoma, breast cancer, and melanoma preserved as FFPE.

RESULTS

Our data reveal distinct TMEs in the different cancer models that were imaged and show that cell-cell contacts differ depending on the tumour type examined. For instance, we found that the immune infiltration in a murine model of melanoma is altered in cellular organization in melanomas that become resistant to αPD-1 therapy, with depletions in a number of cell-cell interactions.

CONCLUSIONS

This work presents a valuable resource study seamlessly adaptable to any field of research involving murine models. The methodology described allows researchers to address newly formed hypotheses using archival materials, bypassing the new to perform new mouse studies.

摘要

背景

肿瘤微环境(TME)由支持肿瘤的免疫细胞、内皮细胞和成纤维细胞组成。PhenoCycler是一种高多重单细胞空间生物学成像平台,用于表征TME的复杂性。世界各地的研究人员从小鼠模型中获取组织并保存起来,这些模型被用于模拟大量人类疾病。随着对空间生物学兴趣的激增,这些大量的存档组织为回答新问题提供了宝贵资源。在此,我们描述了开发可调谐PhenoCycler多重成像面板的方案,并介绍了我们的开源数据分析流程。使用这些方案,我们利用PhenoCycler在空间上解析了8种常规使用的淋巴瘤、乳腺癌和黑色素瘤临床前模型的TME,这些模型以福尔马林固定石蜡包埋(FFPE)的形式保存。

结果

我们的数据揭示了所成像的不同癌症模型中不同的TME,并表明细胞间接触根据所检查的肿瘤类型而有所不同。例如,我们发现黑色素瘤小鼠模型中的免疫浸润在对αPD-1治疗产生抗性的黑色素瘤细胞组织中发生了改变,许多细胞间相互作用减少。

结论

这项工作提供了一项有价值的资源研究,可无缝适用于任何涉及小鼠模型的研究领域。所描述的方法使研究人员能够利用存档材料解决新形成的假设,而无需进行新的小鼠研究。

https://cdn.ncbi.nlm.nih.gov/pmc/blobs/26f1/10840224/de901f706bc6/13578_2024_1199_Fig1_HTML.jpg

文献AI研究员

20分钟写一篇综述,助力文献阅读效率提升50倍。

立即体验

用中文搜PubMed

大模型驱动的PubMed中文搜索引擎

马上搜索

文档翻译

学术文献翻译模型,支持多种主流文档格式。

立即体验