Suppr超能文献

乳腺癌前哨淋巴结检测方法与病理研究进展

Update on Sentinel Lymph Node Methods and Pathology in Breast Cancer.

作者信息

Zhang-Yin Jules, Mauel Etienne, Talpe Stéphanie

机构信息

Department of Nuclear Medicine, South Luxembourg Clinic, Vivalia, 6700 Arlon, Belgium.

Department of Surgery, South Luxembourg Clinic, Vivalia, 6700 Arlon, Belgium.

出版信息

Diagnostics (Basel). 2024 Jan 24;14(3):252. doi: 10.3390/diagnostics14030252.

Abstract

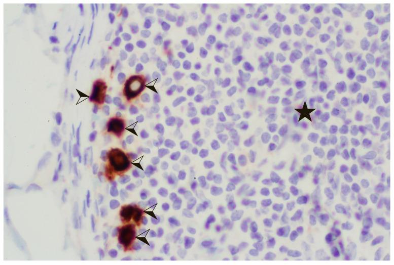
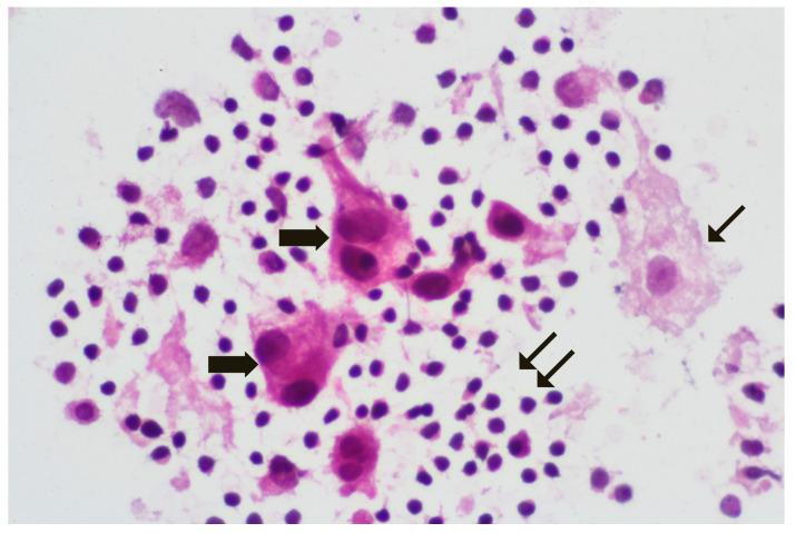
Breast cancer stands out as the most commonly diagnosed cancer among women globally. Precise lymph node staging holds critical significance for both predicting outcomes in early-stage disease and formulating effective treatment strategies to control regional disease progression in breast cancer patients. No imaging technique possesses sufficient accuracy to identify lymph node metastases in the early stages (I or II) of primary breast cancer. However, the sentinel node procedure emerges as a valuable approach for identifying metastatic axillary nodes. The sentinel lymph node is the hypothetical first lymph node or group of nodes draining a cancer. In case of established cancerous dissemination, it is postulated that the sentinel lymph nodes are the target organs primarily reached by metastasizing cancer cells from the tumor. The utilization of the sentinel node technique has brought about changes in the assessment of lymph nodes. It involves evaluating the sentinel node during surgery, enabling prompt lymph node dissection when the sentinel node procedure is positive. Additionally, histological ultra-stratification is employed to uncover occult metastases. This review aims to provide an update of this valuable technique, with focus on the practical aspects of the procedure and the different histological protocols of sentinel node evaluation in breast cancer.

摘要

乳腺癌是全球女性中最常被诊断出的癌症。精确的淋巴结分期对于预测早期疾病的预后以及制定有效的治疗策略以控制乳腺癌患者的区域疾病进展都至关重要。没有任何一种成像技术能够具备足够的准确性来识别原发性乳腺癌早期阶段(I期或II期)的淋巴结转移。然而,前哨淋巴结活检术成为识别腋窝转移性淋巴结的一种有价值的方法。前哨淋巴结是假定的引流癌症的第一个淋巴结或一组淋巴结。在已确定存在癌性播散的情况下,据推测前哨淋巴结是肿瘤转移癌细胞首先到达的靶器官。前哨淋巴结技术的应用给淋巴结评估带来了变化。它包括在手术过程中评估前哨淋巴结,当前哨淋巴结活检术结果为阳性时能够及时进行淋巴结清扫。此外,采用组织学超分层来发现隐匿性转移。本综述旨在提供这一有价值技术的最新情况,重点关注该操作的实际方面以及乳腺癌前哨淋巴结评估的不同组织学方案。

https://cdn.ncbi.nlm.nih.gov/pmc/blobs/3ec2/10855371/801916ae0287/diagnostics-14-00252-g001.jpg

文献AI研究员

20分钟写一篇综述,助力文献阅读效率提升50倍。

立即体验

用中文搜PubMed

大模型驱动的PubMed中文搜索引擎

马上搜索

文档翻译

学术文献翻译模型,支持多种主流文档格式。

立即体验