Suppr超能文献

越南新冠肺炎患者计算机断层扫描的肺部异常情况及其与医学变量的关联。

Lung abnormalities on computed tomography of Vietnamese patients with COVID-19 and the association with medical variables.

作者信息

Trinh Cong Dien, Le Van Nam, Le Van Nguyen Bang, Pham Ngoc Thach, Le Van Duyet

机构信息

Departments of Infectious Disease, Military Hospital 103, Hanoi, Vietnam.

Luong The Vinh High School, Hanoi, Vietnam.

出版信息

IJID Reg. 2024 Jan 19;10:183-190. doi: 10.1016/j.ijregi.2024.01.006. eCollection 2024 Mar.

Abstract

OBJECTIVES

Patients with COVID-19 may experience a lung injury without presenting clinical symptoms. Early detection of lung injury in patients with COVID-19 is required to enhance prediction and prevent severe progression.

METHODS

Lung lesions in patients with COVID-19 were defined using the Fleischner Society terminology. Chest computed tomography lesions and their correlation with demographic characteristics and medical variables were identified.

RESULTS

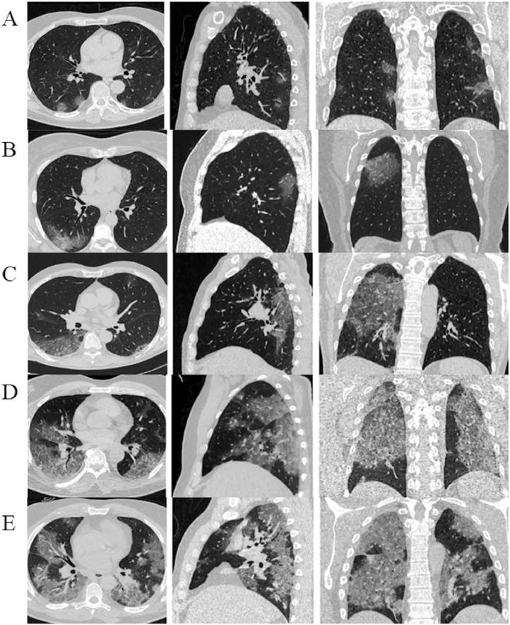
Patients with mild and moderate COVID-19 had up to 45% lung injuries, whereas critical patients had 55%. However, patients with mild and moderate COVID-19 typically had low-level lung injuries. Ground-glass (68.1%), consolidation (48.8%), opacity (36.3%), and nodular (6.9%) lung lesions were the most prevalent in patients with COVID-19. Patients with COVID-19 infected with the Delta variant had worse lung injury than those infected with the Alpha and Omicron. People vaccinated with ≥2 doses showed a lower risk of lung injury than those vaccinated with <1 dose. Patients <18 years old were less likely to have a lung injury than patients >18 years old. The treatment outcomes were unaffected by the severity of the lung injury.

CONCLUSION

Patients with mild COVID-19 had a similar risk of lung injury as patients with severe COVID-19. Thus, using chest computed tomography to detect lung injury can enhance the treatment outcomes and reduce the patient's risk of pulmonary complications.

摘要

目的

新冠病毒病(COVID-19)患者可能在无临床症状的情况下出现肺损伤。需要对COVID-19患者的肺损伤进行早期检测,以加强预测并防止病情严重进展。

方法

采用 Fleischner学会术语定义COVID-19患者的肺部病变。识别胸部计算机断层扫描病变及其与人口统计学特征和医学变量的相关性。

结果

轻度和中度COVID-19患者的肺损伤发生率高达45%,而重症患者为55%。然而,轻度和中度COVID-19患者通常为低水平肺损伤。磨玻璃影(68.1%)、实变(48.8%)、opacity(36.3%)和结节(6.9%)是COVID-19患者中最常见的肺部病变。感染德尔塔变异株的COVID-19患者比感染阿尔法和奥密克戎变异株的患者肺损伤更严重。接种≥2剂疫苗的人比接种<1剂疫苗的人发生肺损伤的风险更低。<18岁的患者比>18岁的患者发生肺损伤的可能性更小。治疗结果不受肺损伤严重程度的影响。

结论

轻度COVID-19患者发生肺损伤的风险与重度COVID-19患者相似。因此,使用胸部计算机断层扫描检测肺损伤可改善治疗结果并降低患者发生肺部并发症的风险。

https://cdn.ncbi.nlm.nih.gov/pmc/blobs/0f3a/10862005/dbc00028e4e9/gr1.jpg

文献AI研究员

20分钟写一篇综述,助力文献阅读效率提升50倍。

立即体验

用中文搜PubMed

大模型驱动的PubMed中文搜索引擎

马上搜索

文档翻译

学术文献翻译模型,支持多种主流文档格式。

立即体验