Suppr超能文献

额颞开颅夹闭手术后颞肌肿胀与开颅术后即刻头痛相关。

Temporal Muscle Swelling after Clipping Surgery with Frontotemporal Craniotomy Is Associated with Immediate Postcraniotomy Headache.

作者信息

Ito Yoshiro, Hosoo Hisayuki, Marushima Aiki, Matsumaru Yuji, Ishikawa Eiichi

机构信息

Department of Neurosurgery, Institute of Medicine, University of Tsukuba.

Division of Stroke Prevention, Institute of Medicine, University of Tsukuba.

出版信息

Neurol Med Chir (Tokyo). 2024 Apr 15;64(4):168-174. doi: 10.2176/jns-nmc.2023-0228. Epub 2024 Feb 15.

Abstract

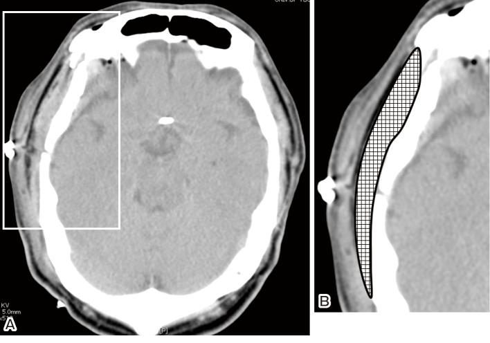
Immediate postcraniotomy headache frequently occurs within the first 48 h after surgery. The mechanisms underlying immediate postcraniotomy headache are not yet fully understood, and effective treatments are not yet established. This study aimed to identify the factors associated with immediate postcraniotomy headache in patients who underwent clipping surgery with frontotemporal craniotomy and to examine the effects of these factors on postcraniotomy headache. A total of 51 patients were included in this study. Immediate postcraniotomy headache was defined as pain with numerical rating scale score ≥4 on postoperative day 7. Sixteen patients (31.4%) had immediate postcraniotomy headache. The headache-positive group had a higher incidence of preoperative analgesic use (50.0% vs. 5.7%, respectively, p < 0.001), increased temporal muscle swelling ratio (137.0%±30.2% vs. 112.5%±30.5%, respectively, p = 0.01), and higher postoperative analgesic use (12.9±5.8 vs. 6.7±5.2, respectively, p < 0.001) than the headache-negative group. The risk factors independently associated with immediate postcraniotomy headache were preoperative analgesic use and temporal muscle swelling by >115.15% compared with the contralateral side in the receiver operating characteristic analysis. Postcraniotomy headache was significantly more common in patients with preoperative analgesic use and temporal muscle swelling than in those without (p < 0.001 and p = 0.002, respectively). Altogether, patients with immediate postcraniotomy headache had greater preoperative analgesic use, greater temporal muscle swelling ratio, and higher postoperative analgesic use than those without. Thus, temporal muscle swelling is a key response to immediate postcraniotomy headache.

摘要

开颅术后即刻头痛常发生在术后48小时内。开颅术后即刻头痛的潜在机制尚未完全明确,有效的治疗方法也尚未确立。本研究旨在确定接受额颞开颅夹闭手术患者开颅术后即刻头痛的相关因素,并研究这些因素对开颅术后头痛的影响。本研究共纳入51例患者。开颅术后即刻头痛定义为术后第7天数字评分量表得分≥4的疼痛。16例患者(31.4%)出现开颅术后即刻头痛。头痛阳性组术前使用镇痛药的发生率更高(分别为50.0%和5.7%,p<0.001),颞肌肿胀率增加(分别为137.0%±30.2%和112.5%±30.5%,p=0.01),术后镇痛药使用量更高(分别为12.9±5.8和6.7±5.2,p<0.001)。在受试者工作特征分析中,与开颅术后即刻头痛独立相关的危险因素是术前使用镇痛药和颞肌肿胀比健侧增加>115.15%。术前使用镇痛药和颞肌肿胀的患者开颅术后头痛明显比未使用镇痛药和颞肌未肿胀的患者更常见(分别为p<0.001和p=0.002)。总的来说,开颅术后即刻头痛的患者术前使用镇痛药更多,颞肌肿胀率更高,术后镇痛药使用量也更高。因此,颞肌肿胀是开颅术后即刻头痛的关键反应。

https://cdn.ncbi.nlm.nih.gov/pmc/blobs/7ef6/11099162/926d9c1e8040/1349-8029-64-0168-g001.jpg

文献AI研究员

20分钟写一篇综述,助力文献阅读效率提升50倍。

立即体验

用中文搜PubMed

大模型驱动的PubMed中文搜索引擎

马上搜索

文档翻译

学术文献翻译模型,支持多种主流文档格式。

立即体验