Suppr超能文献

TEA结构域转录因子1(TEAD1)通过BRD4/Wnt4途径诱导心脏成纤维细胞重塑。

TEA domain transcription factor 1(TEAD1) induces cardiac fibroblasts cells remodeling through BRD4/Wnt4 pathway.

作者信息

Song Shuai, Zhang Xiaokai, Huang Zihang, Zhao Yongchao, Lu Shuyang, Zeng Linqi, Cai Fengze, Wang Tongyao, Pei Zhiqiang, Weng Xinyu, Luo Wei, Lu Hao, Wei Zilun, Wu Jian, Yu Peng, Shen Li, Zhang Xiaochun, Sun Aijun, Ge Junbo

机构信息

Department of Cardiology, Zhongshan Hospital, Fudan University, Shanghai Institute of Cardiovascular Diseases, Shanghai, China.

State Key Laboratory of Cardiology, Zhongshan Hospital, Fudan University, Shanghai, China.

出版信息

Signal Transduct Target Ther. 2024 Feb 19;9(1):45. doi: 10.1038/s41392-023-01732-w.

Abstract

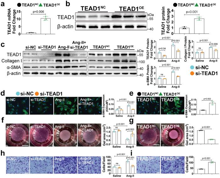
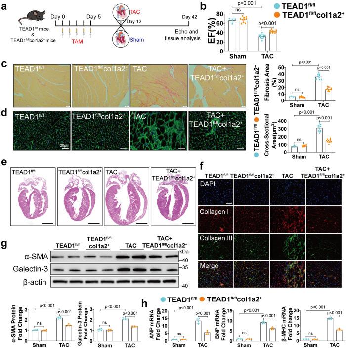
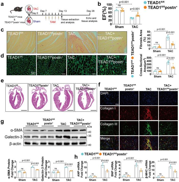
Cardiac fibroblasts (CFs) are the primary cells tasked with depositing and remodeling collagen and significantly associated with heart failure (HF). TEAD1 has been shown to be essential for heart development and homeostasis. However, fibroblast endogenous TEAD1 in cardiac remodeling remains incompletely understood. Transcriptomic analyses revealed consistently upregulated cardiac TEAD1 expression in mice 4 weeks after transverse aortic constriction (TAC) and Ang-II infusion. Further investigation revealed that CFs were the primary cell type expressing elevated TEAD1 levels in response to pressure overload. Conditional TEAD1 knockout was achieved by crossing TEAD1-floxed mice with CFs- and myofibroblasts-specific Cre mice. Echocardiographic and histological analyses demonstrated that CFs- and myofibroblasts-specific TEAD1 deficiency and treatment with TEAD1 inhibitor, VT103, ameliorated TAC-induced cardiac remodeling. Mechanistically, RNA-seq and ChIP-seq analysis identified Wnt4 as a novel TEAD1 target. TEAD1 has been shown to promote the fibroblast-to-myofibroblast transition through the Wnt signalling pathway, and genetic Wnt4 knockdown inhibited the pro-transformation phenotype in CFs with TEAD1 overexpression. Furthermore, co-immunoprecipitation combined with mass spectrometry, chromatin immunoprecipitation, and luciferase assays demonstrated interaction between TEAD1 and BET protein BRD4, leading to the binding and activation of the Wnt4 promoter. In conclusion, TEAD1 is an essential regulator of the pro-fibrotic CFs phenotype associated with pathological cardiac remodeling via the BRD4/Wnt4 signalling pathway.

摘要

心脏成纤维细胞(CFs)是负责胶原蛋白沉积和重塑的主要细胞,与心力衰竭(HF)密切相关。TEAD1已被证明对心脏发育和内环境稳定至关重要。然而,心脏重塑过程中,成纤维细胞内源性TEAD1的作用仍未完全明确。转录组分析显示,在横向主动脉缩窄(TAC)和输注血管紧张素II(Ang-II)4周后的小鼠中,心脏TEAD1表达持续上调。进一步研究发现,CFs是压力过载时表达升高的TEAD1的主要细胞类型。通过将TEAD1基因敲除小鼠与CFs和成肌纤维细胞特异性Cre小鼠杂交,实现了条件性TEAD1基因敲除。超声心动图和组织学分析表明,CFs和成肌纤维细胞特异性TEAD1缺乏以及用TEAD1抑制剂VT103治疗可改善TAC诱导的心脏重塑。机制上,RNA测序和染色质免疫沉淀测序分析确定Wnt4是TEAD1的一个新靶点。已证明TEAD1通过Wnt信号通路促进成纤维细胞向肌成纤维细胞转变,基因敲低Wnt4可抑制TEAD1过表达的CFs中的促转化表型。此外,免疫共沉淀结合质谱、染色质免疫沉淀和荧光素酶测定表明,TEAD1与BET蛋白BRD4相互作用,导致Wnt4启动子的结合和激活。总之,TEAD1是通过BRD4/Wnt4信号通路与病理性心脏重塑相关的促纤维化CFs表型的重要调节因子。

https://cdn.ncbi.nlm.nih.gov/pmc/blobs/49d4/10876703/5b3f9062b4fe/41392_2023_1732_Fig1_HTML.jpg

文献AI研究员

20分钟写一篇综述,助力文献阅读效率提升50倍。

立即体验

用中文搜PubMed

大模型驱动的PubMed中文搜索引擎

马上搜索

文档翻译

学术文献翻译模型,支持多种主流文档格式。

立即体验