Suppr超能文献

在角膜上皮芯片上模拟气液界面的干眼症。

Modeling dry eye with an air-liquid interface in corneal epithelium-on-a-chip.

机构信息

Ritsumeikan Global Innovation Research Organization (R-GIRO), Ritsumeikan University, Shiga, Japan.

Gunma University Initiative for Advanced Research (GIAR), Gunma University, Maebashi, Japan.

出版信息

Sci Rep. 2024 Feb 20;14(1):4185. doi: 10.1038/s41598-024-54736-z.

Abstract

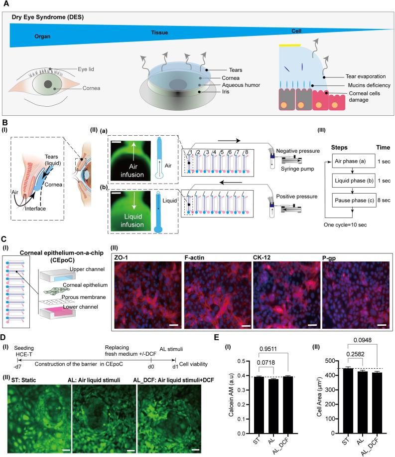
Dry eye syndrome (DES) is a complex ocular condition characterized by an unstable tear film and inadequate tear production, leading to tissue damage. Despite its common occurrence, there is currently no comprehensive in vitro model that accurately reproduce the cellular characteristics of DES. Here we modified a corneal epithelium-on-a-chip (CEpOC) model to recapitulate DES by subjecting HCE-T human corneal epithelial cells to an air-liquid (AL) interface stimulus. We then assessed the effects of AL stimulation both in the presence and absence of diclofenac (DCF), non-steroidal anti-inflammatory drug. Transcriptomic analysis revealed distinct gene expression changes in response to AL and AL_DCF, affecting pathways related to development, epithelial structure, inflammation, and extracellular matrix remodeling. Both treatments upregulated PIEZO2, linked to corneal damage signaling, while downregulating OCLN, involved in cell-cell junctions. They increased the expression of inflammatory genes (e.g., IL-6) and reduced mucin production genes (e.g., MUC16), reflecting dry eye characteristics. Metabolomic analysis showed increased secretion of metabolites associated with cell damage and inflammation (e.g., methyl-2-oxovaleric acid, 3-methyl-2-oxobutanoic acid, lauroyl-carnitine) in response to AL and even more with AL_DCF, indicating a shift in cellular metabolism. This study showcases the potential use of AL stimulus within the CEpOC to induce cellular characteristics relevant to DES.

摘要

干眼症(DES)是一种复杂的眼部疾病,其特征是泪膜不稳定和泪液分泌不足,导致组织损伤。尽管它很常见,但目前还没有一种全面的体外模型能够准确再现 DES 的细胞特征。在这里,我们通过将人角膜上皮细胞(HCE-T)暴露于气液(AL)界面刺激来修改角膜上皮细胞-on-a-chip(CEpOC)模型,以再现 DES。然后,我们评估了在有和没有双氯芬酸(DCF)的情况下 AL 刺激的影响,DCF 是非甾体抗炎药。转录组分析显示,对 AL 和 AL_DCF 的反应存在明显的基因表达变化,影响与发育、上皮结构、炎症和细胞外基质重塑相关的途径。两种处理都上调了与角膜损伤信号相关的 PIEZO2,而下调了参与细胞-细胞连接的 OCLN。它们增加了炎症基因(如 IL-6)的表达,减少了粘蛋白生成基因(如 MUC16)的表达,反映了干眼症的特征。代谢组学分析显示,与细胞损伤和炎症相关的代谢物分泌增加(如甲基-2-氧代戊酸、3-甲基-2-氧代丁酸、月桂酰肉碱),对 AL 的反应甚至更多,这表明细胞代谢发生了转变。本研究展示了在 CEPOC 中使用 AL 刺激来诱导与 DES 相关的细胞特征的潜力。

https://cdn.ncbi.nlm.nih.gov/pmc/blobs/dabd/10879145/d56e9d132435/41598_2024_54736_Fig1_HTML.jpg

文献AI研究员

20分钟写一篇综述,助力文献阅读效率提升50倍。

立即体验

用中文搜PubMed

大模型驱动的PubMed中文搜索引擎

马上搜索

文档翻译

学术文献翻译模型,支持多种主流文档格式。

立即体验