Suppr超能文献

IL-10 限制鞘脂代谢以限制炎症。

IL-10 constrains sphingolipid metabolism to limit inflammation.

机构信息

Department of Immunobiology, Yale University, New Haven, CT, USA.

Howard Hughes Medical Institute, Yale University, New Haven, CT, USA.

出版信息

Nature. 2024 Mar;627(8004):628-635. doi: 10.1038/s41586-024-07098-5. Epub 2024 Feb 21.

Abstract

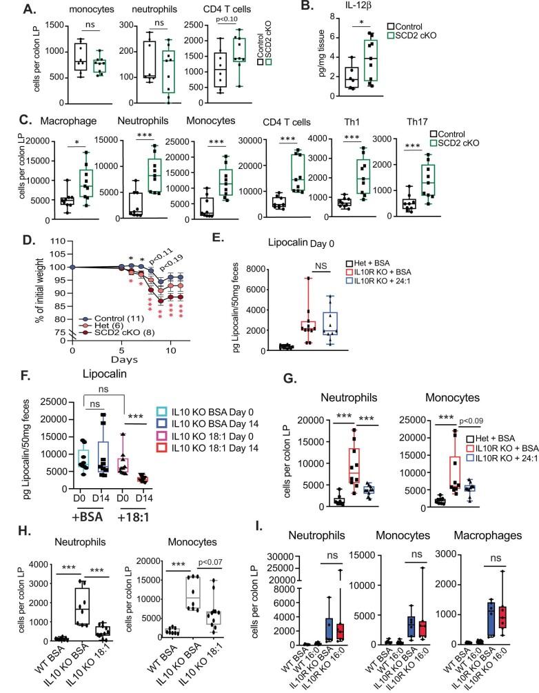
Interleukin-10 (IL-10) is a key anti-inflammatory cytokine that can limit immune cell activation and cytokine production in innate immune cell types. Loss of IL-10 signalling results in life-threatening inflammatory bowel disease in humans and mice-however, the exact mechanism by which IL-10 signalling subdues inflammation remains unclear. Here we find that increased saturated very long chain (VLC) ceramides are critical for the heightened inflammatory gene expression that is a hallmark of IL-10 deficiency. Accordingly, genetic deletion of ceramide synthase 2 (encoded by Cers2), the enzyme responsible for VLC ceramide production, limited the exacerbated inflammatory gene expression programme associated with IL-10 deficiency both in vitro and in vivo. The accumulation of saturated VLC ceramides was regulated by a decrease in metabolic flux through the de novo mono-unsaturated fatty acid synthesis pathway. Restoring mono-unsaturated fatty acid availability to cells deficient in IL-10 signalling limited saturated VLC ceramide production and the associated inflammation. Mechanistically, we find that persistent inflammation mediated by VLC ceramides is largely dependent on sustained activity of REL, an immuno-modulatory transcription factor. Together, these data indicate that an IL-10-driven fatty acid desaturation programme rewires VLC ceramide accumulation and aberrant activation of REL. These studies support the idea that fatty acid homeostasis in innate immune cells serves as a key regulatory node to control pathologic inflammation and suggests that 'metabolic correction' of VLC homeostasis could be an important strategy to normalize dysregulated inflammation caused by the absence of IL-10.

摘要

白细胞介素-10(IL-10)是一种关键的抗炎细胞因子,可限制先天免疫细胞类型中免疫细胞的激活和细胞因子的产生。IL-10 信号的缺失会导致人类和小鼠发生危及生命的炎症性肠病-然而,IL-10 信号抑制炎症的确切机制仍不清楚。在这里,我们发现增加的饱和非常长链(VLC)神经酰胺对于 IL-10 缺乏症的标志性高度炎症基因表达至关重要。因此,负责 VLC 神经酰胺产生的神经酰胺合酶 2(由 Cers2 编码)的基因缺失,在体外和体内都限制了与 IL-10 缺乏症相关的炎症基因表达程序的加剧。饱和 VLC 神经酰胺的积累受到从头单不饱和脂肪酸合成途径代谢通量减少的调节。恢复缺乏 IL-10 信号的细胞中单不饱和脂肪酸的可用性,可限制饱和 VLC 神经酰胺的产生和相关炎症。从机制上讲,我们发现由 VLC 神经酰胺介导的持续炎症在很大程度上依赖于 REL 的持续活性,REL 是一种免疫调节转录因子。总之,这些数据表明,IL-10 驱动的脂肪酸去饱和程序重新连接了 VLC 神经酰胺的积累和 REL 的异常激活。这些研究支持这样一种观点,即先天免疫细胞中的脂肪酸动态平衡是控制病理性炎症的关键调节节点,并表明 VLC 动态平衡的“代谢纠正”可能是纠正由 IL-10 缺乏引起的失调炎症的重要策略。

https://cdn.ncbi.nlm.nih.gov/pmc/blobs/3e2e/10954550/a2454885e3e8/41586_2024_7098_Fig1_HTML.jpg

文献AI研究员

20分钟写一篇综述,助力文献阅读效率提升50倍。

立即体验

用中文搜PubMed

大模型驱动的PubMed中文搜索引擎

马上搜索

文档翻译

学术文献翻译模型,支持多种主流文档格式。

立即体验