Suppr超能文献

鼻胶质错构瘤:一种新型鼻窦错构瘤。

Nasal Glial Hamartoma: A New Type of Sinonasal Hamartomas.

作者信息

Patel Nian, Server Mehmet, Bayoumi Ahmed, Ezzat Ibrahim Abdelrahman

机构信息

Otolaryngology, United Lincolnshire Hospitals National Health Service (NHS) Trust, Lincoln, GBR.

出版信息

Cureus. 2024 Jan 23;16(1):e52781. doi: 10.7759/cureus.52781. eCollection 2024 Jan.

Abstract

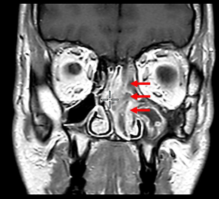
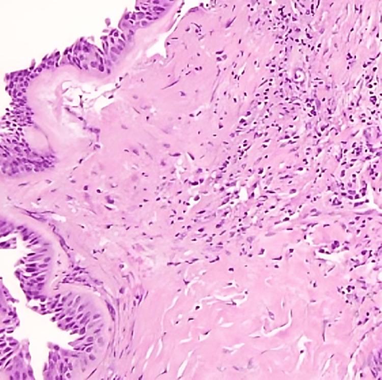
Hamartomas are rare, tumour-forming, benign lesions that have been reported throughout the body that can resemble other malignant entities. Hamartoma subtypes can be distinguished based on their histological features. Sinonasal hamartomas may have presenting symptoms and radiological features that mimic other nasal neoplastic lesions. Therefore, it is essential to diagnose it accurately, as the treatment approaches can range from radical surgeries in malignant cases to a simple excision in hamartoma. In this paper, we report a novel case of sinonasal hamartoma, which demonstrates an unprecedented histological feature of glial tissue with astrocyte-like cells. Furthermore, we present the unconventional presenting symptoms and radiological features seen in this case that mimic the behaviours of nasal inverted papilloma (IP) lesions, thereby highlighting the need for careful investigation of such patients in order to distinguish both glial hamartoma and IP lesions. Concluding that identification of glial hamartoma as a new subtype of sinonasal hamartoma is crucial, as mistaking it for other lesions may subject patients to overly aggressive treatment and potential unnecessary harm.

摘要

错构瘤是一种罕见的、形成肿瘤的良性病变,全身各处均有报道,可类似其他恶性病变。错构瘤亚型可根据其组织学特征进行区分。鼻窦错构瘤可能具有与其他鼻腔肿瘤性病变相似的临床表现和影像学特征。因此,准确诊断至关重要,因为治疗方法从恶性病例的根治性手术到错构瘤的简单切除不等。在本文中,我们报告了一例新型鼻窦错构瘤病例,其显示出具有星形胶质细胞样细胞的神经胶质组织这一前所未有的组织学特征。此外,我们展示了该病例中出现的非传统临床表现和影像学特征,这些特征类似于鼻腔内翻性乳头状瘤(IP)病变的表现,从而强调了对此类患者进行仔细检查以区分神经胶质错构瘤和IP病变的必要性。结论是,将神经胶质错构瘤鉴定为鼻窦错构瘤的一种新亚型至关重要,因为将其误诊为其他病变可能会使患者接受过度激进的治疗并可能遭受不必要的伤害。

https://cdn.ncbi.nlm.nih.gov/pmc/blobs/e67f/10882638/ed2440823e74/cureus-0016-00000052781-i01.jpg

文献AI研究员

20分钟写一篇综述,助力文献阅读效率提升50倍。

立即体验

用中文搜PubMed

大模型驱动的PubMed中文搜索引擎

马上搜索

文档翻译

学术文献翻译模型,支持多种主流文档格式。

立即体验