Suppr超能文献

miR-379/miR-656(C14MC)簇在宫颈癌中的调控和肿瘤抑制功能。

Regulation and tumor-suppressive function of the miR-379/miR-656 (C14MC) cluster in cervical cancer.

机构信息

Department of Cell and Molecular Biology, Manipal School of Life Sciences, Manipal Academy of Higher Education, India.

Department of Bioinformatics, Manipal School of Life Sciences, Manipal Academy of Higher Education, India.

出版信息

Mol Oncol. 2024 Jun;18(6):1608-1630. doi: 10.1002/1878-0261.13611. Epub 2024 Feb 23.

Abstract

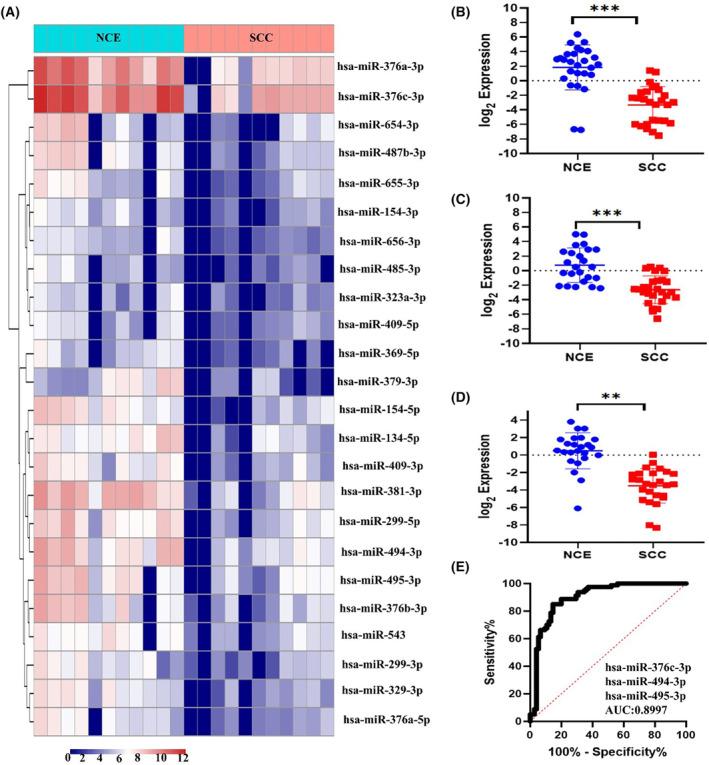
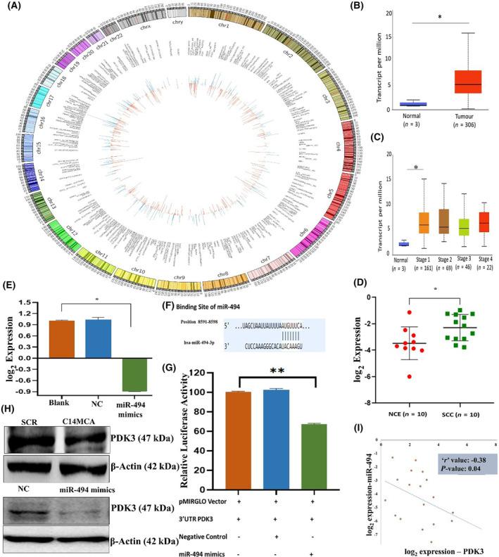
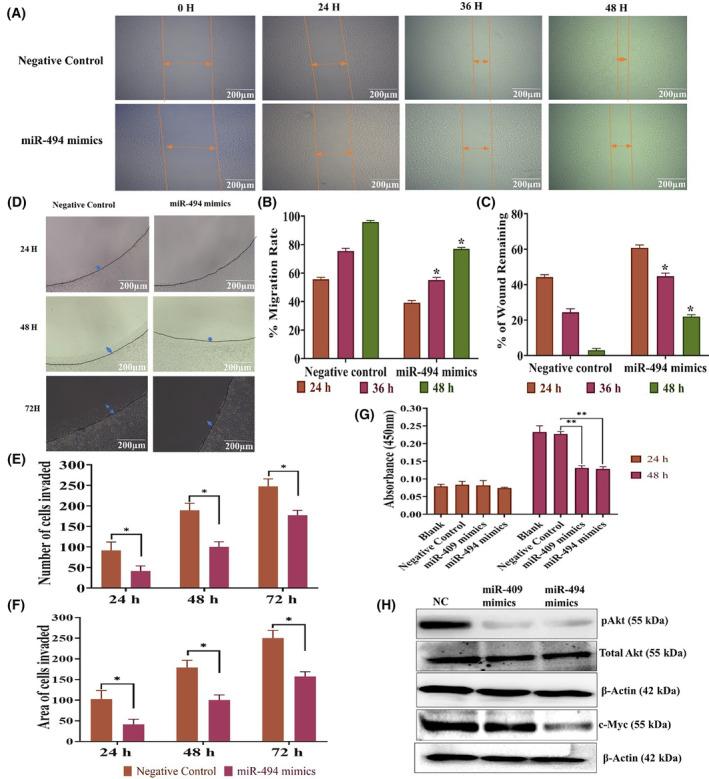
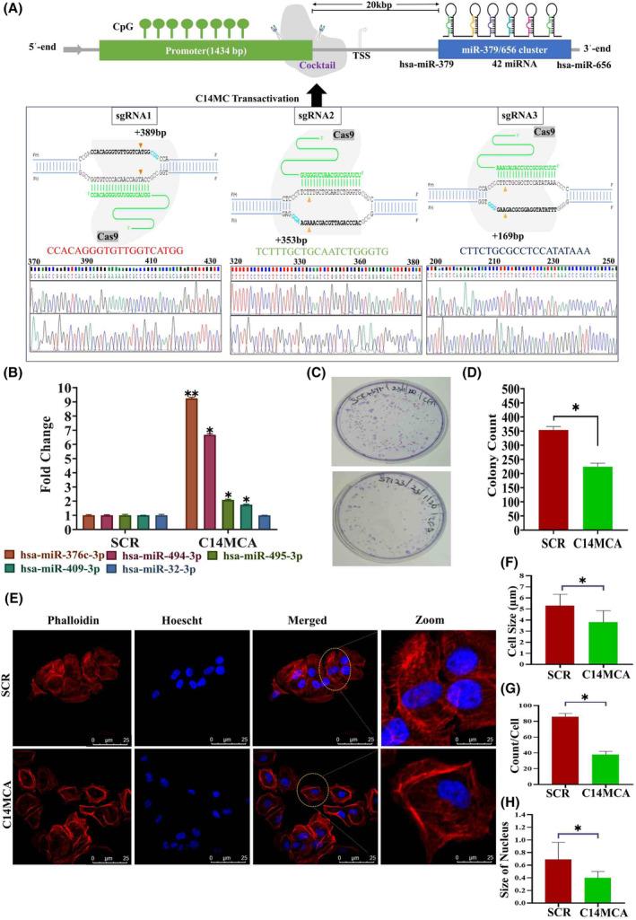
Cervical cancer (CC) is a key contributor to cancer-related mortality in several countries. The identification of molecular markers and the underlying mechanism may help improve CC management. We studied the regulation and biological function of the chromosome 14 microRNA cluster (C14MC; miR-379/miR-656) in CC. Most C14MC members exhibited considerably lower expression in CC tissues and cell lines in The Cancer Genome Atlas (TCGA) cervical squamous cell carcinoma and endocervical adenocarcinoma patient cohorts. Bisulfite Sanger sequencing revealed hypermethylation of the C14MC promoter in CC tissues and cell lines. 5-aza-2 deoxy cytidine treatment reactivated expression of the C14MC members. We demonstrated that C14MC is a methylation-regulated miRNA cluster via artificial methylation and luciferase reporter assays. C14MC downregulation correlated with poor overall survival and may promote metastasis. C14MC activation via the lentiviral-based CRISPRa approach inhibited growth, proliferation, migration, and invasion; enhanced G2/M arrest; and induced senescence. Post-transcriptional regulatory network analysis of C14MC transcriptomic data revealed enrichment of key cancer-related pathways, such as metabolism, the cell cycle, and phosphatidylinositol 3-kinase (PI3K)-AKT signaling. Reduced cell proliferation, growth, migration, invasion, and senescence correlated with the downregulation of active AKT, MYC, and cyclin E1 (CCNE1) and the overexpression of p16, p21, and p27. We showed that C14MC miRNA activation increases reactive oxygen species (ROS) levels, intracellular Ca levels, and lipid peroxidation rates, and inhibits epithelial-mesenchymal transition (EMT). C14MC targets pyruvate dehydrogenase kinase-3 (PDK3) according to the luciferase reporter assay. PDK3 is overexpressed in CC and is inversely correlated with C14MC. Both miR-494-mimic transfection and C14MC activation inhibited PDK3 expression. Reduced glucose uptake and lactate production, and upregulation of PDK3 upon C14MC activation suggest the potential role of these proteins in metabolic reprogramming. Finally, we showed that C14MC activation may inhibit EMT signaling. Thus, C14MC is a tumor-suppressive and methylation-regulated miRNA cluster in CC. Reactivation of C14MC can be useful in the management of CC.

摘要

宫颈癌(CC)是一些国家癌症相关死亡的主要原因。鉴定分子标志物和潜在机制可能有助于改善 CC 的管理。我们研究了染色体 14 微 RNA 簇(C14MC;miR-379/miR-656)在 CC 中的调控和生物学功能。在癌症基因组图谱(TCGA)宫颈鳞癌和子宫内膜腺癌患者队列中,大多数 C14MC 成员在 CC 组织和细胞系中的表达明显降低。亚硫酸氢盐 Sanger 测序显示 CC 组织和细胞系中 C14MC 启动子的高甲基化。5-氮杂-2-脱氧胞苷处理可使 C14MC 成员的表达重新激活。我们通过人工甲基化和荧光素酶报告基因实验证明 C14MC 是一个受甲基化调控的 miRNA 簇。C14MC 的下调与总生存期不良相关,并可能促进转移。通过基于慢病毒的 CRISPRa 方法激活 C14MC 可抑制生长、增殖、迁移和侵袭;增强 G2/M 期阻滞;并诱导衰老。C14MC 转录组数据的转录后调控网络分析显示,代谢、细胞周期和磷脂酰肌醇 3-激酶(PI3K)-AKT 信号等关键癌症相关途径的富集。细胞增殖、生长、迁移、侵袭和衰老减少与 AKT、MYC 和细胞周期蛋白 E1(CCNE1)的活性下调以及 p16、p21 和 p27 的过表达相关。我们表明,C14MC miRNA 的激活增加了活性氧(ROS)水平、细胞内 Ca 水平和脂质过氧化率,并抑制了上皮-间充质转化(EMT)。根据荧光素酶报告基因实验,C14MC 靶向丙酮酸脱氢酶激酶-3(PDK3)。CC 中 PDK3 过表达且与 C14MC 呈负相关。miR-494 模拟转染和 C14MC 激活均可抑制 PDK3 表达。C14MC 激活后葡萄糖摄取和乳酸生成减少,PDK3 上调提示这些蛋白在代谢重编程中的潜在作用。最后,我们表明 C14MC 激活可能抑制 EMT 信号。因此,C14MC 是 CC 中的一种肿瘤抑制和甲基化调控的 miRNA 簇。C14MC 的重新激活可用于 CC 的管理。

https://cdn.ncbi.nlm.nih.gov/pmc/blobs/49ae/11161731/0108a657cf95/MOL2-18-1608-g007.jpg

文献AI研究员

20分钟写一篇综述,助力文献阅读效率提升50倍。

立即体验

用中文搜PubMed

大模型驱动的PubMed中文搜索引擎

马上搜索

文档翻译

学术文献翻译模型,支持多种主流文档格式。

立即体验