Suppr超能文献

淋巴节点微环境中 Th2 分化的特异性调节。

Site-specific regulation of Th2 differentiation within lymph node microenvironments.

机构信息

Department of Immunology, School of Medicine, University of Washington, Seattle, WA, USA.

出版信息

J Exp Med. 2024 Apr 1;221(4). doi: 10.1084/jem.20231282. Epub 2024 Mar 4.

Abstract

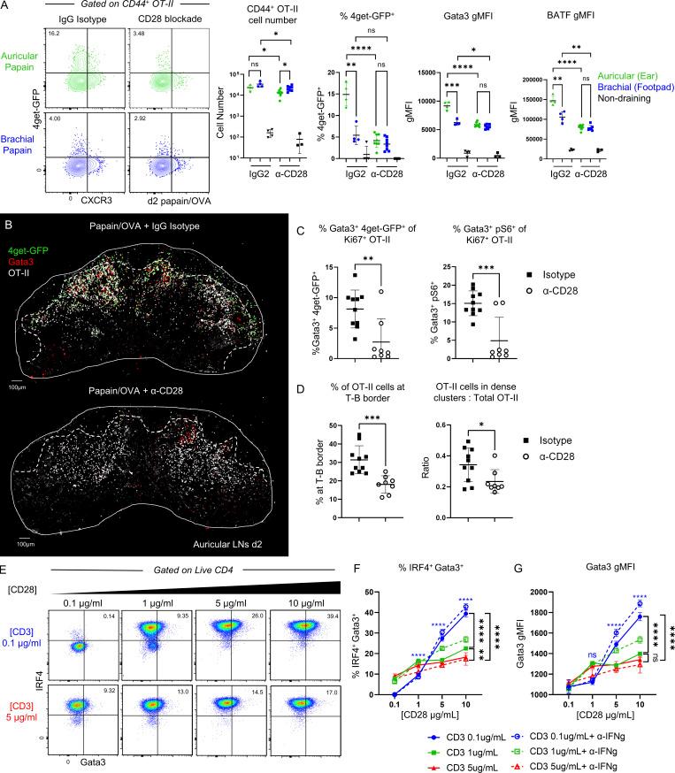
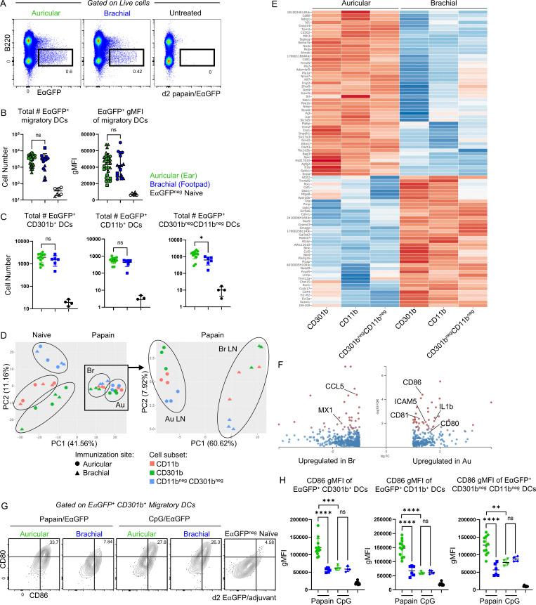
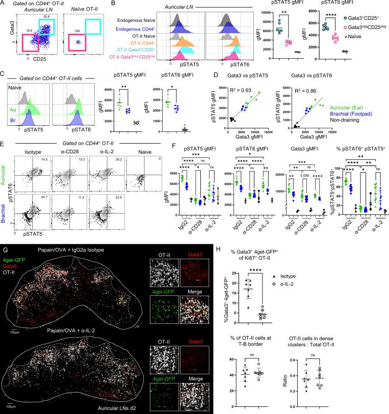
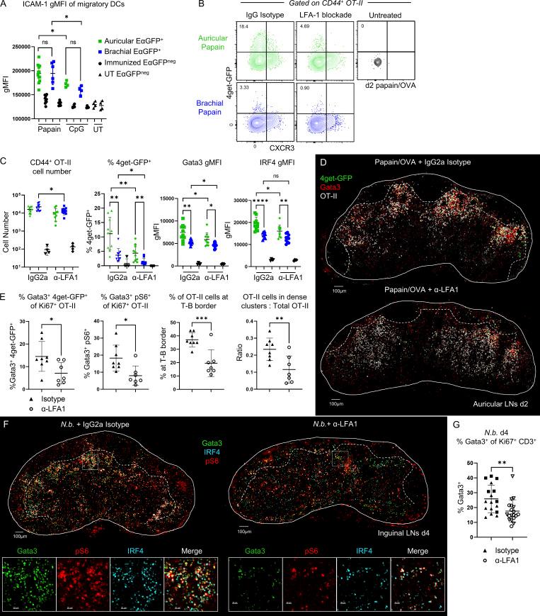
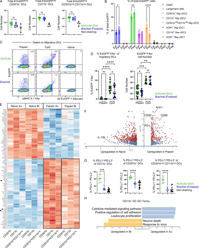
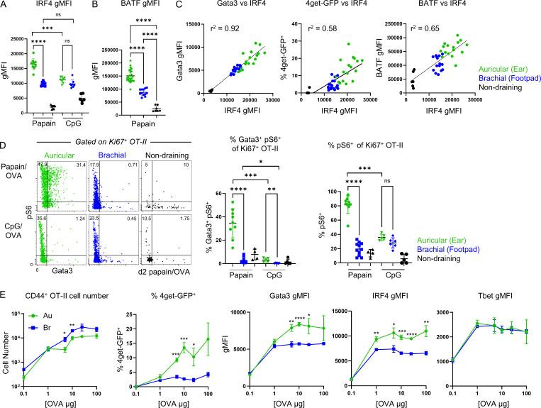
T helper 2 (Th2) responses protect against pathogens while also driving allergic inflammation, yet how large-scale Th2 responses are generated in tissue context remains unclear. Here, we used quantitative imaging to investigate early Th2 differentiation within lymph nodes (LNs) following cutaneous allergen administration. Contrary to current models, we observed extensive activation and "macro-clustering" of early Th2 cells with migratory type-2 dendritic cells (cDC2s), generating specialized Th2-promoting microenvironments. Macro-clustering was integrin-mediated and promoted localized cytokine exchange among T cells to reinforce differentiation, which contrasted the behavior during Th1 responses. Unexpectedly, formation of Th2 macro-clusters was dependent on the site of skin sensitization. Differences between sites were driven by divergent activation states of migratory cDC2 from different dermal tissues, with enhanced costimulatory molecule expression by cDC2 in Th2-generating LNs promoting prolonged T cell activation, macro-clustering, and cytokine sensing. Thus, the generation of dedicated Th2 priming microenvironments through enhanced costimulatory molecule signaling initiates Th2 responses in vivo and occurs in a skin site-specific manner.

摘要

辅助性 T 细胞 2(Th2)应答既能保护机体免受病原体侵害,又能引发过敏炎症,但组织中大规模 Th2 应答的产生机制尚不清楚。在此,我们采用定量成像技术,研究了皮肤过敏原给药后淋巴结(LN)内早期 Th2 分化的情况。与现有模型不同的是,我们观察到早期 Th2 细胞与迁移型 2 型树突状细胞(cDC2)广泛激活和“巨聚簇”,形成特殊的 Th2 促进微环境。巨聚簇是整合素介导的,并促进 T 细胞之间局部细胞因子交换以加强分化,这与 Th1 应答时的行为形成鲜明对比。出乎意料的是,Th2 巨聚簇的形成依赖于皮肤致敏的部位。不同部位的差异是由来自不同真皮组织的迁移性 cDC2 的不同激活状态驱动的,Th2 生成 LN 中的 cDC2 表达增强的共刺激分子促进了 T 细胞的持续激活、巨聚簇形成和细胞因子感应。因此,通过增强共刺激分子信号转导产生专门的 Th2 启动微环境,在体内引发 Th2 应答,并以皮肤部位特异性的方式发生。

https://cdn.ncbi.nlm.nih.gov/pmc/blobs/fad4/10912907/67019560da69/JEM_20231282_Fig1.jpg

文献AI研究员

20分钟写一篇综述,助力文献阅读效率提升50倍。

立即体验

用中文搜PubMed

大模型驱动的PubMed中文搜索引擎

马上搜索

文档翻译

学术文献翻译模型,支持多种主流文档格式。

立即体验